Skip to main content

DECR2 Antibody - BSA Free

Novus Biologicals, part of Bio-Techne | Catalog # NBP2-16145

Novus Biologicals, part of Bio-Techne
Catalog #
Availability
Size / Price
Qty
Loading...
NBP2-16145

Key Product Details

Species Reactivity

Validated:

Human

Predicted:

Rhesus Macaque (97%). Backed by our 100% Guarantee.

Applications

Immunohistochemistry, Immunohistochemistry-Paraffin, Western Blot, Immunocytochemistry/ Immunofluorescence

Label

Unconjugated

Antibody Source

Polyclonal Rabbit IgG

Format

BSA Free

Concentration

Concentrations vary lot to lot. See vial label for concentration. If unlisted please contact technical services.

Product Specifications

Immunogen

Recombinant protein encompassing a sequence within the center region of human DECR2. The exact sequence is proprietary.

Reactivity Notes

Rat (80%).

Localization

Peroxisome

Clonality

Polyclonal

Host

Rabbit

Isotype

IgG

Theoretical MW

31 kDa.
Disclaimer note: The observed molecular weight of the protein may vary from the listed predicted molecular weight due to post translational modifications, post translation cleavages, relative charges, and other experimental factors.

Description

Novus Biologicals Rabbit DECR2 Antibody - BSA Free (NBP2-16145) is a polyclonal antibody validated for use in IHC, WB and ICC/IF. All Novus Biologicals antibodies are covered by our 100% guarantee.

Scientific Data Images for DECR2 Antibody - BSA Free

Western Blot: DECR2 Antibody [NBP2-16145]

Western Blot: DECR2 Antibody [NBP2-16145]

Western Blot: DECR2 Antibody [NBP2-16145] - Sample (30 ug of whole cell lysate) A: A549 12% SDS PAGE gel, diluted at 1:1000.
Immunocytochemistry/ Immunofluorescence: DECR2 Antibody [NBP2-16145]

Immunocytochemistry/ Immunofluorescence: DECR2 Antibody [NBP2-16145]

Immunocytochemistry/Immunofluorescence: DECR2 Antibody [NBP2-16145] - A549 cells were fixed in 4% paraformaldehyde at RT for 15 min. Green: DECR2 protein stained by DECR2 antibody diluted at 1:500. Blue: Hoechst 33342 staining.Scale bar = 10 um
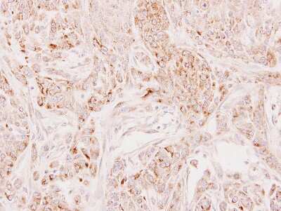
Immunohistochemistry-Paraffin: DECR2 Antibody [NBP2-16145]

Immunohistochemistry-Paraffin: DECR2 Antibody [NBP2-16145]

Immunohistochemistry-Paraffin: DECR2 Antibody [NBP2-16145] - Immunohistochemical analysis of paraffin-embedded A549 xenograft, using antibody at 1:100 dilution.

Applications for DECR2 Antibody - BSA Free

Application
Recommended Usage

Immunocytochemistry/ Immunofluorescence

1:100-1:1000

Immunohistochemistry

1:100-1:1000

Immunohistochemistry-Paraffin

1:100-1:1000

Western Blot

1:500-1:3000

Formulation, Preparation, and Storage

Purification

Antigen Affinity-purified

Formulation

0.1M Tris, 0.1M Glycine, 20% Glycerol

Format

BSA Free

Preservative

0.01% Thimerosal

Concentration

Concentrations vary lot to lot. See vial label for concentration. If unlisted please contact technical services.

Shipping

The product is shipped with polar packs. Upon receipt, store it immediately at the temperature recommended below.

Stability & Storage

Aliquot and store at -20C or -80C. Avoid freeze-thaw cycles.

Background: DECR2

Auxiliary enzyme of beta-oxidation. Participates in the degradation of unsaturated fatty enoyl-CoA esters having double bonds in both even- and odd-numbered positions in peroxisome. Catalyzes the NADP-dependent reduction of 2,4-dienoyl-CoA to yield trans-3-enoyl-CoA. Has activity towards short and medium chain 2,4-dienoyl-CoAs, but also towards 2,4,7,10,13,16,19-docosaheptaenoyl-CoA, suggesting that it does not constitute a rate limiting step in the peroxisomal degradation of docosahexaenoic acid.

Alternate Names

2,4-dienoyl CoA reductase 2, peroxisomal, EC 1.3.1, EC 1.3.1.34, pDCR2,4-dienoyl-CoA reductase 2, PDCRshort chain dehydrogenase/reductase family 17C, member 1, peroxisomal 2,4-dienoyl-CoA reductase, SDR17C1

Gene Symbol

DECR2

UniProt

Additional DECR2 Products

Product Documents for DECR2 Antibody - BSA Free

Certificate of Analysis

To download a Certificate of Analysis, please enter a lot number in the search box below.

Product Specific Notices for DECR2 Antibody - BSA Free

This product is for research use only and is not approved for use in humans or in clinical diagnosis. Primary Antibodies are guaranteed for 1 year from date of receipt.

Loading...
Loading...
Loading...
Loading...

⚠ WARNING: This product can expose you to chemicals including mercury, which is known to the State of California to cause reproductive toxicity with developmental effects.  For more information go to www.P65Warnings.ca.gov.