DDX59 Antibody
Novus Biologicals, part of Bio-Techne | Catalog # NBP2-16143
Key Product Details
Species Reactivity
Human, Mouse
Applications
Immunohistochemistry, Immunohistochemistry-Paraffin, Western Blot
Label
Unconjugated
Antibody Source
Polyclonal Rabbit IgG
Concentration
Concentrations vary lot to lot. See vial label for concentration. If unlisted please contact technical services.
Product Specifications
Immunogen
Recombinant protein encompassing a sequence within the center region of human DDX59. The exact sequence is proprietary.
Clonality
Polyclonal
Host
Rabbit
Isotype
IgG
Theoretical MW
69 kDa.
Disclaimer note: The observed molecular weight of the protein may vary from the listed predicted molecular weight due to post translational modifications, post translation cleavages, relative charges, and other experimental factors.
Disclaimer note: The observed molecular weight of the protein may vary from the listed predicted molecular weight due to post translational modifications, post translation cleavages, relative charges, and other experimental factors.
Description
Novus Biologicals Rabbit DDX59 Antibody (NBP2-16143) is a polyclonal antibody validated for use in IHC and WB. All Novus Biologicals antibodies are covered by our 100% guarantee.
Scientific Data Images for DDX59 Antibody
Western Blot: DDX59 Antibody [NBP2-16143]
Western Blot: DDX59 Antibody [NBP2-16143] - DDX59 antibody [N3C2], Internal detects DDX59 protein by Western blot analysis.A. 30 ug Neuro2A whole cell lysate/extract. B. 30 ug GL261 whole cell lysate/extract. C. 30 ug C8D30 whole cell lysate/extract. 7.5 % SDS-PAGE. DDX59 antibody, dilution: 1:1000Immunohistochemistry-Paraffin: DDX59 Antibody [NBP2-16143]
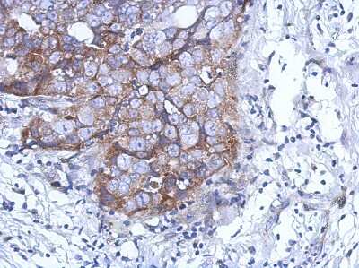
Immunohistochemistry-Paraffin: DDX59 Antibody [NBP2-16143] - Immunohistochemical analysis of paraffin-embedded Breast ca, using antibody at 1:500 dilution.Western Blot: DDX59 Antibody [NBP2-16143]
Western Blot: DDX59 Antibody [NBP2-16143] - Sample (30 ug of whole cell lysate) A: A549 7. 5% SDS PAGE gel, diluted at 1:1000.Applications for DDX59 Antibody
Application
Recommended Usage
Immunohistochemistry
10 - 1:500
Immunohistochemistry-Paraffin
1:100-1:1000
Western Blot
1:500-1:3000
Formulation, Preparation, and Storage
Purification
Antigen Affinity-purified
Formulation
PBS, 1% BSA, 20% Glycerol
Preservative
0.01% Thimerosal
Concentration
Concentrations vary lot to lot. See vial label for concentration. If unlisted please contact technical services.
Shipping
The product is shipped with polar packs. Upon receipt, store it immediately at the temperature recommended below.
Stability & Storage
Aliquot and store at -20C or -80C. Avoid freeze-thaw cycles.
Background: DDX59
Alternate Names
DEAD (Asp-Glu-Ala-Asp) box polypeptide 59, DEAD box protein 59, DKFZp564B1023, EC 3.6.1, EC 3.6.4.13, Zinc finger HIT domain-containing protein 5, ZNHIT5probable ATP-dependent RNA helicase DDX59
Gene Symbol
DDX59
UniProt
Additional DDX59 Products
Product Documents for DDX59 Antibody
Product Specific Notices for DDX59 Antibody
This product is for research use only and is not approved for use in humans or in clinical diagnosis. Primary Antibodies are guaranteed for 1 year from date of receipt.
Loading...
Loading...
Loading...
Loading...
⚠ WARNING: This product can expose you to chemicals including mercury, which is known to the State of California to cause reproductive toxicity with developmental effects. For more information go to www.P65Warnings.ca.gov.