Skip to main content

DDX17 Antibody - BSA Free

Novus Biologicals, part of Bio-Techne | Catalog # NBP2-87262

Novus Biologicals, part of Bio-Techne
Catalog #
Availability
Size / Price
Qty
Loading...
NBP2-87262

Key Product Details

Species Reactivity

Human

Applications

Immunohistochemistry, Immunohistochemistry-Paraffin, Western Blot

Label

Unconjugated

Antibody Source

Polyclonal Rabbit

Format

BSA Free

Concentration

1 mg/ml

Product Specifications

Immunogen

The immunogen is a synthetic peptide directed towards the N-terminal region of human DDX17. Peptide sequence: TSSANNPNLMYQDECDRRLRGVKDGGRRDSASYRDRSETDRAGYANGSGY The peptide sequence for this immunogen was taken from within the described region.

Clonality

Polyclonal

Host

Rabbit

Description

Novus Biologicals Rabbit DDX17 Antibody - BSA Free (NBP2-87262) is a polyclonal antibody validated for use in IHC and WB. All Novus Biologicals antibodies are covered by our 100% guarantee.

Scientific Data Images for DDX17 Antibody - BSA Free

Western Blot: DDX17 Antibody [NBP2-87262]

Western Blot: DDX17 Antibody [NBP2-87262]

Western Blot: DDX17 Antibody [NBP2-87262] - WB Suggested Anti-DDX17 Antibody Titration: 1.25ug/ml. Positive Control: Jurkat cell lysateDDX17 is supported by BioGPS gene expression data to be expressed in Jurkat
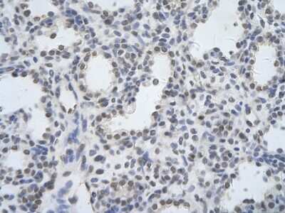
Immunohistochemistry-Paraffin: DDX17 Antibody [NBP2-87262]

Immunohistochemistry-Paraffin: DDX17 Antibody [NBP2-87262]

Immunohistochemistry-Paraffin: DDX17 Antibody [NBP2-87262] - Paraffin Embedded Tissue: Human alveolar cell. Cellular Data: Epithelial cells of renal tubule. Antibody Concentration: 4.0-8.0 ug/ml. Magnification: 400X
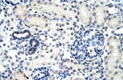
Immunohistochemistry-Paraffin: DDX17 Antibody [NBP2-87262]

Immunohistochemistry-Paraffin: DDX17 Antibody [NBP2-87262]

Immunohistochemistry-Paraffin: DDX17 Antibody [NBP2-87262] - Paraffin Embedded Tissue: Human Kidney. Cellular Data: Epithelial cells of renal tubule. Antibody Concentration: 4.0-8.0 ug/ml. Magnification: 400X

Applications for DDX17 Antibody - BSA Free

Application
Recommended Usage

Western Blot

1.0 ug/ml

Formulation, Preparation, and Storage

Purification

Protein A purified

Formulation

PBS, 2% Sucrose

Format

BSA Free

Preservative

0.09% Sodium Azide

Concentration

1 mg/ml

Shipping

The product is shipped with polar packs. Upon receipt, store it immediately at the temperature recommended below.

Stability & Storage

Store at 4C short term. Aliquot and store at -20C long term. Avoid freeze-thaw cycles.

Background: DDX17

DDX17 (p72) is a highly related member of the DEAD box family and is an established RNA helicase. It has been implicated in growth regulation and has been shown to be involved in both pre-mRNA and pre-rRNA processing. This protein has also been reported to act as a transcriptional co-activator for estrogen-receptor alpha (ER ) and shown to interact with co-activators p300/CBP and the RNA polymerase II holoenzyme.

Long Name

DEAD Box Protein 17

Alternate Names

p72, RH70

Gene Symbol

DDX17

Additional DDX17 Products

Product Documents for DDX17 Antibody - BSA Free

Certificate of Analysis

To download a Certificate of Analysis, please enter a lot number in the search box below.

Product Specific Notices for DDX17 Antibody - BSA Free

This product is for research use only and is not approved for use in humans or in clinical diagnosis. Primary Antibodies are guaranteed for 1 year from date of receipt.

Loading...
Loading...
Loading...
Loading...