Skip to main content

DDX17 Antibody - BSA Free

Novus Biologicals, part of Bio-Techne | Catalog # NB200-352

Novus Biologicals, part of Bio-Techne

Key Product Details

Species Reactivity

Validated:

Human, Mouse, Rat

Cited:

Human

Applications

Validated:

Immunohistochemistry, Immunohistochemistry-Paraffin, Western Blot

Cited:

Western Blot

Label

Unconjugated

Antibody Source

Polyclonal Rabbit IgG

Format

BSA Free

Concentration

1.0 mg/ml

Product Specifications

Immunogen

The immunogen recognized by this antibody maps to a region between residue 550 and the C-terminus (residue 613) of human DEAD (Asp-Glu-Ala-Asp) box polypeptide 17 using the numbering given in entry AAC50787.1 (GeneID 10521).

Clonality

Polyclonal

Host

Rabbit

Isotype

IgG

Theoretical MW

72 kDa.
Disclaimer note: The observed molecular weight of the protein may vary from the listed predicted molecular weight due to post translational modifications, post translation cleavages, relative charges, and other experimental factors.

Description

Novus Biologicals Rabbit DDX17 Antibody - BSA Free (NB200-352) is a polyclonal antibody validated for use in IHC and WB. Anti-DDX17 Antibody: Cited in 3 publications. All Novus Biologicals antibodies are covered by our 100% guarantee.

Scientific Data Images for DDX17 Antibody - BSA Free

Western Blot: DDX17 Antibody [NB200-352]

Western Blot: DDX17 Antibody [NB200-352]

Western Blot: DDX17 Antibody [NB200-352] - Detection of Human DDX17 by Western Blot. Samples: Whole cell lysate (15 and 50 ug) from HeLa cells. Antibodies: Affinity purified rabbit anti-DDX17 antibody NB200-352 used for WB at 1 ug/ml. Detection: Chemiluminescence with an exposure time of 1 second.
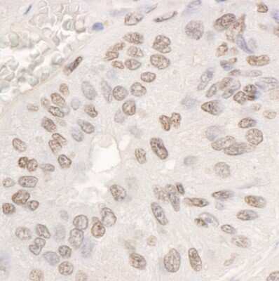
Immunohistochemistry-Paraffin: DDX17 Antibody [NB200-352]

Immunohistochemistry-Paraffin: DDX17 Antibody [NB200-352]

Immunohistochemistry-Paraffin: DDX17 Antibody [NB200-352] - Sample: FFPE section of human ovarian carcinoma. Antibody: Affinity purified rabbit anti- DDX17 used at a dilution of 1:1,000 (1ug/ml). Detection: DAB
Western Blot: DDX17 Antibody [NB200-352]

Western Blot: DDX17 Antibody [NB200-352]

Western Blot: DDX17 Antibody [NB200-352] - Whole cell lysate (50 ug) from NIH3T3, TCMK1,4T1,CT26.WT, and rat C6 cells. Antibodies: Affinity purified rabbit anti-DDX17 antibody

Applications for DDX17 Antibody - BSA Free

Application
Recommended Usage

Immunohistochemistry

1:500 -1:2000

Immunohistochemistry-Paraffin

1:500 -1:2000

Western Blot

1:1000 - 1:15000
Application Notes
Epitope retrieval with citrate buffer pH6.0 is recommended for FFPE tissue sections.

Formulation, Preparation, and Storage

Purification

Immunogen affinity purified

Formulation

Tris-Citrate/Phosphate (pH 7.0 - 8.0)

Format

BSA Free

Preservative

0.09% Sodium Azide

Concentration

1.0 mg/ml

Shipping

The product is shipped with polar packs. Upon receipt, store it immediately at the temperature recommended below.

Stability & Storage

Store at 4C. Do not freeze.

Background: DDX17

DDX17 (p72) is a highly related member of the DEAD box family and is an established RNA helicase. It has been implicated in growth regulation and has been shown to be involved in both pre-mRNA and pre-rRNA processing. This protein has also been reported to act as a transcriptional co-activator for estrogen-receptor alpha (ERa) and shown to interact with co-activators p300/CBP and the RNA polymerase II holoenzyme.

Long Name

DEAD Box Protein 17

Alternate Names

p72, RH70

Entrez Gene IDs

10521 (Human)

Gene Symbol

DDX17

UniProt

Additional DDX17 Products

Product Documents for DDX17 Antibody - BSA Free

Certificate of Analysis

To download a Certificate of Analysis, please enter a lot number in the search box below.

Product Specific Notices for DDX17 Antibody - BSA Free

This product is for research use only and is not approved for use in humans or in clinical diagnosis. Primary Antibodies are guaranteed for 1 year from date of receipt.

Loading...
Loading...
Loading...
Loading...