Skip to main content

DDB1 Antibody (3A0) - BSA Free

Novus Biologicals, part of Bio-Techne | Catalog # NBP3-42957

Novus Biologicals, part of Bio-Techne
Catalog #
Availability
Size / Price
Qty
Loading...
NBP3-42957

Key Product Details

Species Reactivity

Human, Mouse, Rat

Applications

ELISA, Immunohistochemistry, Western Blot

Label

Unconjugated

Antibody Source

Monoclonal Mouse IgG2A Clone # 3A0

Format

BSA Free

Concentration

Please see the vial label for concentration. If unlisted please contact technical services.

Product Specifications

Immunogen

damage-specific DNA binding protein 1, 127kDa - (Uniprot# Q16531)

Clonality

Monoclonal

Host

Mouse

Isotype

IgG2A

Theoretical MW

127 kDa.
Disclaimer note: The observed molecular weight of the protein may vary from the listed predicted molecular weight due to post translational modifications, post translation cleavages, relative charges, and other experimental factors.

Description

Novus Biologicals Mouse DDB1 Antibody (3A0) - BSA Free (NBP3-42957) is a monoclonal antibody validated for use in IHC, WB and ELISA. All Novus Biologicals antibodies are covered by our 100% guarantee.

Scientific Data Images for DDB1 Antibody (3A0) - BSA Free

DDB1 Antibody (3A0)

Western Blot: DDB1 Antibody (3A0) [NBP3-42957] -

Western Blot: DDB1 Antibody (3A0) [NBP3-42957] - HeLa cells were subjected to SDS PAGE followed by western blot with (DDB1 antibody) at dilution of 1:1000
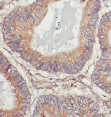
DDB1 Antibody (3A0)

Immunohistochemistry: DDB1 Antibody (3A0) [NBP3-42957] -

Immunohistochemistry: DDB1 Antibody (3A0) [NBP3-42957] - Immunohistochemistry of paraffin-embedded human cervical cancer using (DDB1 antibody) at dilution of 1:200

Applications for DDB1 Antibody (3A0) - BSA Free

Application
Recommended Usage

Immunohistochemistry

1:200 - 1:800

Western Blot

1:500 - 1:2000

Formulation, Preparation, and Storage

Purification

Protein A or G purified

Formulation

PBS (pH 7.3), 50% glycerol

Format

BSA Free

Preservative

0.02% Sodium Azide

Concentration

Please see the vial label for concentration. If unlisted please contact technical services.

Shipping

The product is shipped with polar packs. Upon receipt, store it immediately at the temperature recommended below.

Stability & Storage

Store at -20C. Avoid freeze-thaw cycles.

Background: DDB1

Damage specific DNA binding protein (DDB) functions in nucleotide-excision repair. Its defective activity causes the repair defect in the patients with xeroderma pigmentosum complementation group E (XPE). To test whether the DNA-repair defect in the subset of XPE patients that lack DNA damage-binding activity is caused by a defect in DDB, purified human DDB protein was injected into XPE cells. The injected DDB protein stimulated DNA repair to normal levels in those strains that lacked the DDB activity but did not stimulate repair in cells from XPE patients that contained the activity. These results provided direct evidence that defective DDB activity causes the repair defect in a subset of XPE patients and establishes a role for this activity in nucleotide excision repair in vivo. It remains for mutation analysis to demonstrate whether the defect in XPE patients is in the DDB1 gene or the DDB2 gene.

Long Name

Damage-specific DNA Binding Protein 1

Alternate Names

DDB p127 Subunit, DDBA, UV-DDB 1, XPCE

Gene Symbol

DDB1

Additional DDB1 Products

Product Documents for DDB1 Antibody (3A0) - BSA Free

Certificate of Analysis

To download a Certificate of Analysis, please enter a lot number in the search box below.

Product Specific Notices for DDB1 Antibody (3A0) - BSA Free

This product is for research use only and is not approved for use in humans or in clinical diagnosis. Primary Antibodies are guaranteed for 1 year from date of receipt.

Loading...
Loading...
Loading...
Loading...