Skip to main content

DDAH2 Antibody - BSA Free

Novus Biologicals, part of Bio-Techne | Catalog # NBP1-86092

Novus Biologicals, part of Bio-Techne
Catalog #
Availability
Size / Price
Qty
Loading...
NBP1-86092

Key Product Details

Species Reactivity

Human

Applications

Immunohistochemistry, Immunohistochemistry-Paraffin, Western Blot, Immunocytochemistry/ Immunofluorescence

Label

Unconjugated

Antibody Source

Polyclonal Rabbit IgG

Format

BSA Free

Concentration

Concentrations vary lot to lot. See vial label for concentration. If unlisted please contact technical services.

Product Specifications

Immunogen

This antibody was developed against Recombinant Protein corresponding to amino acids: ESLASGEGAGAGLPALDLAKAQREHGVLGGKLRQRLGLQLLELPPEESLPLGPLLGDTAVIQGDTALITRPWSPARRPEVDGVRKALQDLGLRIVEI

Clonality

Polyclonal

Host

Rabbit

Isotype

IgG

Scientific Data Images for DDAH2 Antibody - BSA Free

DDAH2 Antibody - BSA Free Immunocytochemistry/ Immunofluorescence: DDAH2 Antibody - BSA Free [NBP1-86092]

Immunocytochemistry/ Immunofluorescence: DDAH2 Antibody - BSA Free [NBP1-86092]

Staining of human cell line A-431 shows localization to cytosol.
Immunohistochemistry-Paraffin: DDAH2 Antibody [NBP1-86092]

Immunohistochemistry-Paraffin: DDAH2 Antibody [NBP1-86092]

Immunohistochemistry-Paraffin: DDAH2 Antibody [NBP1-86092] - Staining of human lung shows moderate cytoplasmic positivity in macrophages.
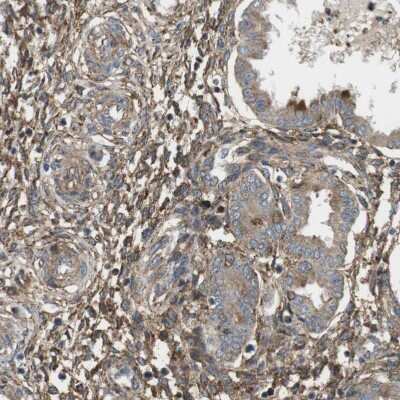
Immunohistochemistry-Paraffin: DDAH2 Antibody [NBP1-86092]

Immunohistochemistry-Paraffin: DDAH2 Antibody [NBP1-86092]

Immunohistochemistry-Paraffin: DDAH2 Antibody [NBP1-86092] - Staining of human endometrium shows moderate cytoplasmic positivity in stromal cells.

Applications for DDAH2 Antibody - BSA Free

Application
Recommended Usage

Immunocytochemistry/ Immunofluorescence

0.25-2 ug/ml

Immunohistochemistry

1:200 - 1:500

Immunohistochemistry-Paraffin

1:200 - 1:500

Western Blot

0.04-0.4 ug/ml
Application Notes
For IHC-Paraffin, HIER pH 6 retrieval is recommended. Immunocytochemistry/Immunofluorescence Fixation Permeabilization: Use PFA/Triton X-100.

Formulation, Preparation, and Storage

Purification

Affinity purified

Formulation

PBS (pH 7.2) and 40% Glycerol

Format

BSA Free

Preservative

0.02% Sodium Azide

Concentration

Concentrations vary lot to lot. See vial label for concentration. If unlisted please contact technical services.

Shipping

The product is shipped with polar packs. Upon receipt, store it immediately at the temperature recommended below.

Stability & Storage

Store at 4C short term. Aliquot and store at -20C long term. Avoid freeze-thaw cycles.

Background: DDAH2

DDAH2 plays a role in nitric oxide generation by regulating cellular concentrations of methylarginines, which in turn inhibit nitric oxide synthase activity. Overexpression of DDAH2 has also been linked to increased VEGF mRNA expression and enhanced tube formation by cells grown in a 3-dimensional medium.

Alternate Names

DDAHII, dimethylargininase-2, dimethylarginine dimethylaminohydrolase 2G6a, dimethylarginine dimethylaminohydrolase II, EC 3.5.3.18, G6A, N(G), N(G)-dimethylarginine dimethylaminohydrolase 2, NG30, NG-dimethylarginine dimethylamino hydrolase homolog, S-phase protein

Gene Symbol

DDAH2

Additional DDAH2 Products

Product Documents for DDAH2 Antibody - BSA Free

Certificate of Analysis

To download a Certificate of Analysis, please enter a lot number in the search box below.

Product Specific Notices for DDAH2 Antibody - BSA Free

This product is for research use only and is not approved for use in humans or in clinical diagnosis. Primary Antibodies are guaranteed for 1 year from date of receipt.

Loading...
Loading...
Loading...
Loading...