Skip to main content

DCXR Antibody

Novus Biologicals, part of Bio-Techne | Catalog # NB100-1068

Novus Biologicals, part of Bio-Techne
Catalog #
Availability
Size / Price
Qty
Loading...
NB100-1068

Key Product Details

Species Reactivity

Human

Applications

Immunohistochemistry, Immunohistochemistry-Paraffin, Western Blot, Peptide ELISA

Label

Unconjugated

Antibody Source

Polyclonal Goat IgG

Concentration

0.5 mg/ml

Product Specifications

Immunogen

Peptide with sequence GSTLPVEGGFWAC corresponding to C-Terminus according to NP_057370.1.

Localization

Secreted

Clonality

Polyclonal

Host

Goat

Isotype

IgG

Description

Novus Biologicals Goat DCXR Antibody (NB100-1068) is a polyclonal antibody validated for use in IHC, WB and ELISA. Anti-DCXR Antibody: Cited in 1 publication. All Novus Biologicals antibodies are covered by our 100% guarantee.

Scientific Data Images for DCXR Antibody

Western Blot: DCXR Antibody [NB100-1068]

Western Blot: DCXR Antibody [NB100-1068]

Western Blot: DCXR Antibody [NB100-1068] - (0.1ug/ml) of human kidney lysate (RIPA buffer, 35ug total protein per lane). Primary incubated for 1 hour. Detected by western blot using chemiluminescence.
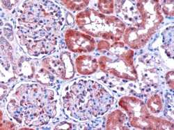
Immunohistochemistry-Paraffin: DCXR Antibody [NB100-1068]

Immunohistochemistry-Paraffin: DCXR Antibody [NB100-1068]

Immunohistochemistry-Paraffin: DCXR Antibody [NB100-1068] - (1ug/ml) staining of paraffin embedded human kidney. Microwaved antigen retrieval with citrate buffer pH 6, HRP-staining.

Applications for DCXR Antibody

Application
Recommended Usage

Immunohistochemistry

1 - 2 ug/ml

Immunohistochemistry-Paraffin

1 - 2 ug/ml

Peptide ELISA

Detection limit 1:32000

Western Blot

0.1 - 0.3 ug/ml
Application Notes
WB: Approx. 26 kDa band observed in human kidney, liver and testis lysates (calculated MW of 25.9 kDa band according to NP_057370.1). IHC-P: Human kidney stains membrane/cytoplasm in epithelial cells of renal glomeruli and tubules.

Formulation, Preparation, and Storage

Purification

Immunogen affinity purified

Formulation

Tris saline (20 mM Tris pH 7.3, 150 mM NaCl), 0.5% BSA

Preservative

0.02% Sodium Azide

Concentration

0.5 mg/ml

Shipping

The product is shipped with polar packs. Upon receipt, store it immediately at the temperature recommended below.

Stability & Storage

Store at -20C. Avoid freeze-thaw cycles.

Background: DCXR

DCXR is an enzyme that has both diacetyl reductase and L-xylulose reductase activities.

Alternate Names

Carbonyl reductase II, DCR, dicarbonyl/L-xylulose reductaseP34H, EC 1.1.1, EC 1.1.1.10, HCR2, HCRII, human carbonyl reductase 2, kiDCR, Kidney dicarbonyl reductase, L-xylulose reductase, SDR20C1, short chain dehydrogenase/reductase family 20C, member 1, Sperm surface protein P34H, XR

Entrez Gene IDs

51181 (Human)

Gene Symbol

DCXR

Additional DCXR Products

Product Documents for DCXR Antibody

Certificate of Analysis

To download a Certificate of Analysis, please enter a lot number in the search box below.

Product Specific Notices for DCXR Antibody

This product is for research use only and is not approved for use in humans or in clinical diagnosis. Primary Antibodies are guaranteed for 1 year from date of receipt.

Loading...
Loading...
Loading...
Loading...