Skip to main content

DCUN1D1 Antibody - BSA Free

Novus Biologicals, part of Bio-Techne | Catalog # NBP1-85275

Novus Biologicals, part of Bio-Techne
Catalog #
Availability
Size / Price
Qty
Loading...
NBP1-85275

Key Product Details

Species Reactivity

Validated:

Human

Cited:

Human

Predicted:

Mouse (98%), Rat (100%). Backed by our 100% Guarantee.

Applications

Validated:

Immunohistochemistry, Immunohistochemistry-Paraffin, Western Blot, Immunocytochemistry/ Immunofluorescence

Cited:

Western Blot

Label

Unconjugated

Antibody Source

Polyclonal Rabbit IgG

Format

BSA Free

Concentration

Concentrations vary lot to lot. See vial label for concentration. If unlisted please contact technical services.

Product Specifications

Immunogen

This antibody was developed against Recombinant Protein corresponding to amino acids: RQFMIFTQSSEKTAVSCLSQNDWKLDVATDNFFQNPELYIRESVKGSLDRKKLEQLYNR

Reactivity Notes

Human reactivity reported in scientific literature (PMID: 24874471).

Clonality

Polyclonal

Host

Rabbit

Isotype

IgG

Description

Novus Biologicals Rabbit DCUN1D1 Antibody - BSA Free (NBP1-85275) is a polyclonal antibody validated for use in IHC, WB and ICC/IF. Anti-DCUN1D1 Antibody: Cited in 1 publication. All Novus Biologicals antibodies are covered by our 100% guarantee.

Scientific Data Images for DCUN1D1 Antibody - BSA Free

Western Blot: DCUN1D1 Antibody [NBP1-85275]

Western Blot: DCUN1D1 Antibody [NBP1-85275]

Western Blot: DCUN1D1 Antibody [NBP1-85275] - Analysis in control (vector only transfected HEK293T lysate) and DCUN1D1 over-expression lysate (Co-expressed with a C-terminal myc-DDK tag (3.1 kDa) in mammalian HEK293T cells).
Immunocytochemistry/ Immunofluorescence: DCUN1D1 Antibody [NBP1-85275]

Immunocytochemistry/ Immunofluorescence: DCUN1D1 Antibody [NBP1-85275]

Immunocytochemistry/Immunofluorescence: DCUN1D1 Antibody [NBP1-85275] - Immunofluorescent staining of human cell line U-2 OS shows localization to nucleoplasm & cytosol.
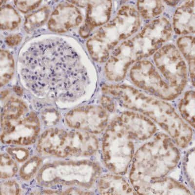
Immunohistochemistry-Paraffin: DCUN1D1 Antibody [NBP1-85275]

Immunohistochemistry-Paraffin: DCUN1D1 Antibody [NBP1-85275]

Immunohistochemistry-Paraffin: DCUN1D1 Antibody [NBP1-85275] - Staining of human kidney shows moderate cytoplasmic positivity in tubule cells.

Applications for DCUN1D1 Antibody - BSA Free

Application
Recommended Usage

Immunocytochemistry/ Immunofluorescence

0.25-2 ug/ml

Immunohistochemistry

1:20 - 1:50

Immunohistochemistry-Paraffin

1:20 - 1:50

Western Blot

0.04-0.4 ug/ml
Application Notes
For IHC-Paraffin, HIER pH 6 retrieval is recommended. ICC/IF, Fixation Permeabilization: Use PFA/Triton X-100.

Formulation, Preparation, and Storage

Purification

Affinity purified

Formulation

PBS (pH 7.2) and 40% Glycerol

Format

BSA Free

Preservative

0.02% Sodium Azide

Concentration

Concentrations vary lot to lot. See vial label for concentration. If unlisted please contact technical services.

Shipping

The product is shipped with polar packs. Upon receipt, store it immediately at the temperature recommended below.

Stability & Storage

Store at 4C short term. Aliquot and store at -20C long term. Avoid freeze-thaw cycles.

Background: DCUN1D1

DCUN1D1 may contribute to neddylation of cullin components of SCF-type E3 ubiquitin ligase complexes. Neddylation of cullins play an essential role in the regulation of SCF-typecomplexes activity

Long Name

DCN1-like protein 1

Alternate Names

DCN1, DCNL1, DCUN1L1, RP42, SCCRO

Gene Symbol

DCUN1D1

Additional DCUN1D1 Products

Product Documents for DCUN1D1 Antibody - BSA Free

Certificate of Analysis

To download a Certificate of Analysis, please enter a lot number in the search box below.

Product Specific Notices for DCUN1D1 Antibody - BSA Free

This product is for research use only and is not approved for use in humans or in clinical diagnosis. Primary Antibodies are guaranteed for 1 year from date of receipt.

Loading...
Loading...
Loading...
Loading...