Skip to main content

DCIR/CLEC4A Antibody - BSA Free

Novus Biologicals, part of Bio-Techne | Catalog # NBP1-84446

Novus Biologicals, part of Bio-Techne
Catalog #
Availability
Size / Price
Qty
Loading...
NBP1-84446
NBP1-84446-25ul

Key Product Details

Species Reactivity

Human

Applications

Immunohistochemistry, Immunohistochemistry-Paraffin

Label

Unconjugated

Antibody Source

Polyclonal Rabbit IgG

Format

BSA Free

Concentration

Concentrations vary lot to lot. See vial label for concentration. If unlisted please contact technical services.

Product Specifications

Immunogen

This antibody was developed against Recombinant Protein corresponding to amino acids: KNWKSFSSNCYFISTESASWQDSEKDCARMEAHLLVINTQEEQDFIFQNLQEESAYFVGLSDPEGQRHWQWVDQTPYNESSTFWHPREPSDPNERCVVLNFRKSPKRWGWNDVNCLGPQRSVCEMMKIHL

Clonality

Polyclonal

Host

Rabbit

Isotype

IgG

Description

Novus Biologicals Rabbit DCIR/CLEC4A Antibody - BSA Free (NBP1-84446) is a polyclonal antibody validated for use in IHC. All Novus Biologicals antibodies are covered by our 100% guarantee.

Scientific Data Images for DCIR/CLEC4A Antibody - BSA Free

Immunohistochemistry-Paraffin: DCIR/CLEC4A Antibody [NBP1-84446]

Immunohistochemistry-Paraffin: DCIR/CLEC4A Antibody [NBP1-84446]

Immunohistochemistry-Paraffin: DCIR/CLEC4A Antibody [NBP1-84446] - Staining of human bone marrow shows membranous positivity in hematopoietic cells.
Immunohistochemistry-Paraffin: DCIR/CLEC4A Antibody [NBP1-84446]

Immunohistochemistry-Paraffin: DCIR/CLEC4A Antibody [NBP1-84446]

Immunohistochemistry-Paraffin: DCIR/CLEC4A Antibody [NBP1-84446] - Staining of human skeletal muscle shows no positivity in myocytes as expected.
Immunohistochemistry-Paraffin: DCIR/CLEC4A Antibody [NBP1-84446]

Immunohistochemistry-Paraffin: DCIR/CLEC4A Antibody [NBP1-84446]

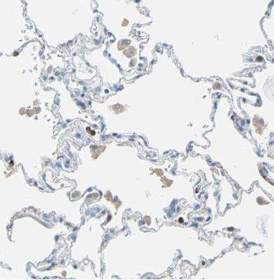
Immunohistochemistry-Paraffin: DCIR/CLEC4A Antibody [NBP1-84446] - Staining of human lung shows weak to moderate positivity in macrophages.

Applications for DCIR/CLEC4A Antibody - BSA Free

Application
Recommended Usage

Immunohistochemistry

1:200 - 1:500

Immunohistochemistry-Paraffin

1:200 - 1:500
Application Notes
For IHC-Paraffin, HIER pH 6 retrieval is recommended.

Formulation, Preparation, and Storage

Purification

Immunogen affinity purified

Formulation

PBS (pH 7.2) and 40% Glycerol

Format

BSA Free

Preservative

0.02% Sodium Azide

Concentration

Concentrations vary lot to lot. See vial label for concentration. If unlisted please contact technical services.

Shipping

The product is shipped with polar packs. Upon receipt, store it immediately at the temperature recommended below.

Stability & Storage

Store at 4C short term. Aliquot and store at -20C long term. Avoid freeze-thaw cycles.

Background: DCIR/CLEC4A

CLEC4A, also known as DCIR, is a member of the C-type lectin/C-type lectin-like (CTL/CTLD) domain superfamily. Members of the CTL/CTLD family have a variety of functions including cell adhesion, glycoprotein turnover and cell-cell signaling. CLEC4A may play a role in regulating immune reactivity. This protein is currently being studied for research on the following diseases and disorders: rheumatoid arthritis, osteoarthritis, pneumonia, influenza, eclampsia and melanoma. CLEC4A is known to have interactions with PTPN6.

Long Name

Dendritic Cell Immunoreceptor

Alternate Names

CD367, CLEC4A, CLECSF6, DDB27, LLIR

Gene Symbol

CLEC4A

Additional DCIR/CLEC4A Products

Product Documents for DCIR/CLEC4A Antibody - BSA Free

Certificate of Analysis

To download a Certificate of Analysis, please enter a lot number in the search box below.

Product Specific Notices for DCIR/CLEC4A Antibody - BSA Free

This product is for research use only and is not approved for use in humans or in clinical diagnosis. Primary Antibodies are guaranteed for 1 year from date of receipt.

Loading...
Loading...
Loading...
Loading...