DCI Antibody
Novus Biologicals, part of Bio-Techne | Catalog # NBP2-16107
Key Product Details
Species Reactivity
Human
Applications
Immunohistochemistry, Immunohistochemistry-Paraffin, Western Blot
Label
Unconjugated
Antibody Source
Polyclonal Rabbit IgG
Concentration
Concentrations vary lot to lot. See vial label for concentration. If unlisted please contact technical services.
Product Specifications
Immunogen
Recombinant protein encompassing a sequence within the center region of human DCI. The exact sequence is proprietary.
Reactivity Notes
Immunogen displays the following percentage of sequence identity for non-tested species: Rat (84%), Bovine (80%).
Localization
Mitochondrion matrix
Clonality
Polyclonal
Host
Rabbit
Isotype
IgG
Theoretical MW
33 kDa.
Disclaimer note: The observed molecular weight of the protein may vary from the listed predicted molecular weight due to post translational modifications, post translation cleavages, relative charges, and other experimental factors.
Disclaimer note: The observed molecular weight of the protein may vary from the listed predicted molecular weight due to post translational modifications, post translation cleavages, relative charges, and other experimental factors.
Description
Novus Biologicals Rabbit DCI Antibody (NBP2-16107) is a polyclonal antibody validated for use in IHC and WB. All Novus Biologicals antibodies are covered by our 100% guarantee.
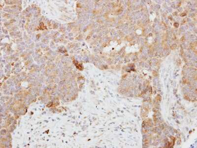
Scientific Data Images for DCI Antibody
Western Blot: DCI Antibody [NBP2-16107]
Western Blot: DCI Antibody [NBP2-16107] - Sample (30 ug of whole cell lysate) A: HepG2 12% SDS PAGE gel, diluted at 1:1000.Immunohistochemistry-Paraffin: DCI Antibody [NBP2-16107]
Immunohistochemistry-Paraffin: DCI Antibody [NBP2-16107] - Immunohistochemical analysis of paraffin-embedded Colon ca, using antibody at 1:250 dilution.Applications for DCI Antibody
Application
Recommended Usage
Immunohistochemistry
1:100-1:1000
Immunohistochemistry-Paraffin
1:100-1:1000
Western Blot
1:500-1:3000
Formulation, Preparation, and Storage
Purification
Antigen Affinity-purified
Formulation
PBS, 1% BSA, 20% Glycerol
Preservative
0.01% Thimerosal
Concentration
Concentrations vary lot to lot. See vial label for concentration. If unlisted please contact technical services.
Shipping
The product is shipped with polar packs. Upon receipt, store it immediately at the temperature recommended below.
Stability & Storage
Aliquot and store at -20C or -80C. Avoid freeze-thaw cycles.
Background: DCI
Alternate Names
acetylene-allene isomerase, D2-enoyl-CoA isomerase, D3, DCI3,2-trans-enoyl-CoA isomerase3,2 trans-enoyl-CoA isomerase, Delta(2)-enoyl-CoA isomerase, Delta(3), delta3, delta2-enoyl-CoA isomerase, dodecenoyl-CoA delta isomerase (3,2 trans-enoyl-CoA isomerase), dodecenoyl-CoA isomerase3,2-trans-enoyl-CoA isomerase, mitochondrial, dodecenoyl-Coenzyme A delta isomerase (3,2 trans-enoyl-Coenzyme A isomerase), EC 5.3.3.8, enoyl-CoA delta isomerase 13,2 trans-enoyl-Coenzyme A isomerase
Gene Symbol
ECI1
UniProt
Additional DCI Products
Product Documents for DCI Antibody
Product Specific Notices for DCI Antibody
This product is for research use only and is not approved for use in humans or in clinical diagnosis. Primary Antibodies are guaranteed for 1 year from date of receipt.
Loading...
Loading...
Loading...
Loading...
⚠ WARNING: This product can expose you to chemicals including mercury, which is known to the State of California to cause reproductive toxicity with developmental effects. For more information go to www.P65Warnings.ca.gov.