Skip to main content

DCI Antibody - BSA Free

Novus Biologicals, part of Bio-Techne | Catalog # NBP1-31549

Novus Biologicals, part of Bio-Techne
Catalog #
Availability
Size / Price
Qty
Loading...
NBP1-31549

Key Product Details

Species Reactivity

Human

Applications

Immunohistochemistry, Immunohistochemistry-Paraffin, Western Blot

Label

Unconjugated

Antibody Source

Polyclonal Rabbit IgG

Format

BSA Free

Concentration

Concentrations vary lot to lot. See vial label for concentration. If unlisted please contact technical services.

Product Specifications

Immunogen

Recombinant protein encompassing a sequence within the center region of human DCI. The exact sequence is proprietary.

Reactivity Notes

Immunogen displays the following percentage of sequence identity for non-tested species: Bovine (80%).

Localization

Mitochondrion matrix

Clonality

Polyclonal

Host

Rabbit

Isotype

IgG

Theoretical MW

33 kDa.
Disclaimer note: The observed molecular weight of the protein may vary from the listed predicted molecular weight due to post translational modifications, post translation cleavages, relative charges, and other experimental factors.

Scientific Data Images for DCI Antibody - BSA Free

Western Blot: DCI Antibody [NBP1-31549]

Western Blot: DCI Antibody [NBP1-31549]

Western Blot: DCI Antibody [NBP1-31549] - Sample(30 ug whole cell lysate) A: 293T B: H1299 12% SDS PAGE diluted at 1:500.
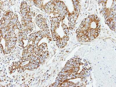
Immunohistochemistry-Paraffin: DCI Antibody [NBP1-31549]

Immunohistochemistry-Paraffin: DCI Antibody [NBP1-31549]

Immunohistochemistry-Paraffin: DCI Antibody [NBP1-31549] - Paraffin-embedded OVCA xenograft, using antibody at 1:100 dilution.

Applications for DCI Antibody - BSA Free

Application
Recommended Usage

Immunohistochemistry

1:100-1:1000

Immunohistochemistry-Paraffin

1:100-1:1000

Western Blot

1:500-1:3000

Formulation, Preparation, and Storage

Purification

Antigen Affinity-purified

Formulation

0.1M Tris, 0.1M Glycine, 10% Glycerol

Format

BSA Free

Preservative

0.01% Thimerosal

Concentration

Concentrations vary lot to lot. See vial label for concentration. If unlisted please contact technical services.

Shipping

The product is shipped with polar packs. Upon receipt, store it immediately at the temperature recommended below.

Stability & Storage

Aliquot and store at -20C or -80C. Avoid freeze-thaw cycles.

Background: DCI

This gene encodes a member of the hydratase/isomerase superfamily. The protein encoded is a key mitochondrial enzyme involved in beta-oxidation of unsaturated fatty acids. It catalyzes the transformation of 3-cis and 3-trans-enoyl-CoA esters arising during the stepwise degradation of cis-, mono-, and polyunsaturated fatty acids to the 2-trans-enoyl-CoA intermediates. Alternatively spliced transcript variants have been described, but their full-length nature has not been determined.

Alternate Names

acetylene-allene isomerase, D2-enoyl-CoA isomerase, D3, DCI3,2-trans-enoyl-CoA isomerase3,2 trans-enoyl-CoA isomerase, Delta(2)-enoyl-CoA isomerase, Delta(3), delta3, delta2-enoyl-CoA isomerase, dodecenoyl-CoA delta isomerase (3,2 trans-enoyl-CoA isomerase), dodecenoyl-CoA isomerase3,2-trans-enoyl-CoA isomerase, mitochondrial, dodecenoyl-Coenzyme A delta isomerase (3,2 trans-enoyl-Coenzyme A isomerase), EC 5.3.3.8, enoyl-CoA delta isomerase 13,2 trans-enoyl-Coenzyme A isomerase

Gene Symbol

ECI1

Additional DCI Products

Product Documents for DCI Antibody - BSA Free

Certificate of Analysis

To download a Certificate of Analysis, please enter a lot number in the search box below.

Product Specific Notices for DCI Antibody - BSA Free

This product is for research use only and is not approved for use in humans or in clinical diagnosis. Primary Antibodies are guaranteed for 1 year from date of receipt.

Loading...
Loading...
Loading...
Loading...

⚠ WARNING: This product can expose you to chemicals including mercury, which is known to the State of California to cause reproductive toxicity with developmental effects.  For more information go to www.P65Warnings.ca.gov.