DAZL Antibody - BSA Free
Novus Biologicals, part of Bio-Techne | Catalog # NBP3-35406
Key Product Details
Species Reactivity
Mouse, Rat
Applications
Immunohistochemistry, Immunohistochemistry-Paraffin, Western Blot, ELISA, Immunocytochemistry/ Immunofluorescence
Label
Unconjugated
Antibody Source
Polyclonal Rabbit IgG
Format
BSA Free
Concentration
Please see the vial label for concentration. If unlisted please contact technical services.
Product Specifications
Immunogen
Recombinant fusion protein containing a sequence corresponding to amino acids 200-250 of human DAZL (NP_001342.2).
Sequence:
RSYVVPPAYSAVNYHCNEVDPGAEVVPNECSVHEATPPSGNGPQKKSVDR
Sequence:
RSYVVPPAYSAVNYHCNEVDPGAEVVPNECSVHEATPPSGNGPQKKSVDR
Clonality
Polyclonal
Host
Rabbit
Isotype
IgG
Theoretical MW
33 kDa.
Disclaimer note: The observed molecular weight of the protein may vary from the listed predicted molecular weight due to post translational modifications, post translation cleavages, relative charges, and other experimental factors.
Disclaimer note: The observed molecular weight of the protein may vary from the listed predicted molecular weight due to post translational modifications, post translation cleavages, relative charges, and other experimental factors.
Description
Novus Biologicals Rabbit DAZL Antibody - BSA Free (NBP3-35406) is a polyclonal antibody validated for use in IHC, WB, ELISA and ICC/IF. All Novus Biologicals antibodies are covered by our 100% guarantee.
Scientific Data Images for DAZL Antibody - BSA Free
Immunocytochemistry/ Immunofluorescence: DAZL Antibody [NBP3-35406] -
Immunocytochemistry/ Immunofluorescence: DAZL Antibody [NBP3-35406] - Immunofluorescence analysis of paraffin-embedded mouse testis using DAZL Rabbit pAb at dilution of 1:100 (40x lens). Secondary antibody: Cy3-conjugated Goat anti-Rabbit IgG (H+L) at 1:500 dilution. Blue: DAPI for nuclear staining.Immunohistochemistry: DAZL Antibody [NBP3-35406] -
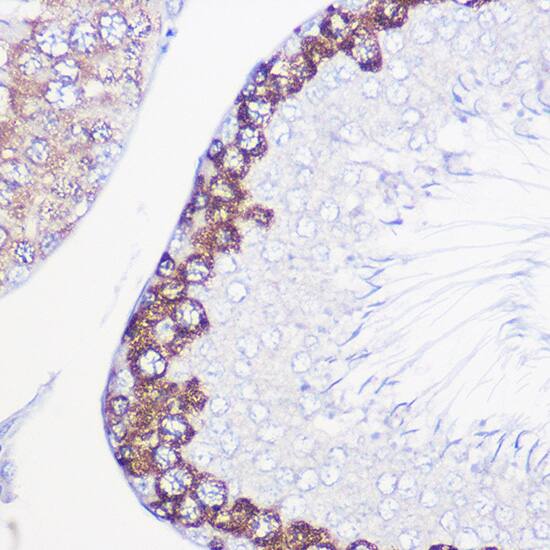
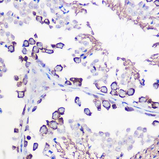
Immunohistochemistry: DAZL Antibody [NBP3-35406] - Immunohistochemistry analysis of paraffin-embedded Mouse testis using DAZL Rabbit pAb at dilution of 1:100 (40x lens). High pressure antigen retrieval performed with 0.01M Citrate Bufferr (pH 6.0) prior to IHC staining.Western Blot: DAZL Antibody [NBP3-35406] -
Western Blot: DAZL Antibody [NBP3-35406] - Western blot analysis of various lysates using DAZL Rabbit pAb at 1:1000 dilution.Secondary antibody: HRP-conjugated Goat anti-Rabbit IgG (H+L) at 1:10000 dilution.
Lysates/proteins: 25ug per lane.
Blocking buffer: 3% nonfat dry milk in TBST.
Detection: ECL Basic Kit.
Exposure time: 10s.
Applications for DAZL Antibody - BSA Free
Application
Recommended Usage
Immunocytochemistry/ Immunofluorescence
1:50 - 1:200
Immunohistochemistry-Paraffin
1:50 - 1:200
Western Blot
1:500 - 1:1000
Formulation, Preparation, and Storage
Purification
Affinity purified
Formulation
PBS (pH 7.3), 50% glycerol
Format
BSA Free
Preservative
0.02% Sodium Azide
Concentration
Please see the vial label for concentration. If unlisted please contact technical services.
Shipping
The product is shipped with polar packs. Upon receipt, store it immediately at the temperature recommended below.
Stability & Storage
Store at -20C. Avoid freeze-thaw cycles.
Background: DAZL
Alternate Names
DAZHSPGY-like-autosomal, DAZL1DAZ-like autosomal, DAZLA, deleted in azoospermia-like, Deleted in azoospermia-like 1, germline specific RNA binding protein, MGC26406, spermatogenesis gene on the Y-like autosomal, SPGYLADAZ homolog
Gene Symbol
DAZL
Additional DAZL Products
Product Documents for DAZL Antibody - BSA Free
Product Specific Notices for DAZL Antibody - BSA Free
This product is for research use only and is not approved for use in humans or in clinical diagnosis. Primary Antibodies are guaranteed for 1 year from date of receipt.
Loading...
Loading...
Loading...
Loading...