Skip to main content

DARS2 Antibody - BSA Free

Novus Biologicals, part of Bio-Techne | Catalog # NBP3-38469

Novus Biologicals, part of Bio-Techne
Catalog #
Availability
Size / Price
Qty
Loading...
NBP3-38469-20ul
NBP3-38469-100ul

Key Product Details

Species Reactivity

Human, Mouse

Applications

Immunohistochemistry, Immunohistochemistry-Paraffin, Western Blot, ELISA

Label

Unconjugated

Antibody Source

Polyclonal Rabbit IgG

Format

BSA Free

Concentration

Please see the vial label for concentration. If unlisted please contact technical services.

Product Specifications

Immunogen

Recombinant fusion protein containing a sequence corresponding to amino acids 406-645 of human DARS2 (NP_060592.2).

Sequence:
ANRNWNSPVANFIMESQRLELIRLMETQEEDVVLLTAGEHNKACSLLGKLRLECADLLETRGVVLRDPTLFSFLWVVDFPLFLPKEENPRELESAHHPFTAPHPSDIHLLYTEPKKARSQHYDLVLNGNEIGGGSIRIHNAELQRYILATLLKEDVKMLSHLLQALDYGAPPHGGIALGLDRLICLVTGSPSIRDVIAFPKSFRGHDLMSNTPDSVPPEELKPYHIRVSKPTDSKAERAH

Clonality

Polyclonal

Host

Rabbit

Isotype

IgG

Theoretical MW

74 kDa.
Disclaimer note: The observed molecular weight of the protein may vary from the listed predicted molecular weight due to post translational modifications, post translation cleavages, relative charges, and other experimental factors.

Description

Novus Biologicals Rabbit DARS2 Antibody - BSA Free (NBP3-38469) is a polyclonal antibody validated for use in IHC, WB and ELISA. All Novus Biologicals antibodies are covered by our 100% guarantee.

Scientific Data Images for DARS2 Antibody - BSA Free

DARS2 Antibody

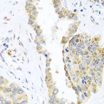
Immunohistochemistry: DARS2 Antibody [NBP3-38469] -

Immunohistochemistry: DARS2 Antibody [NBP3-38469] - Immunohistochemistry analysis of paraffin-embedded Human stomach using DARS2 Rabbit pAb at dilution of 1:100 (40x lens). Microwave antigen retrieval performed with 0.01M PBS Buffer (pH 7.2) prior to IHC staining.
DARS2 Antibody

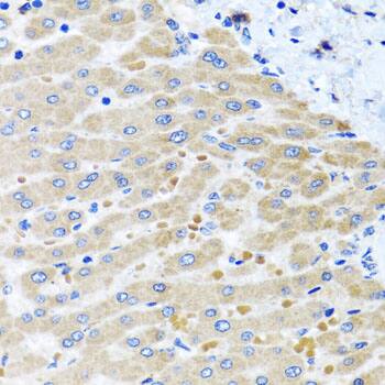
Immunohistochemistry: DARS2 Antibody [NBP3-38469] -

Immunohistochemistry: DARS2 Antibody [NBP3-38469] - Immunohistochemistry analysis of paraffin-embedded Human liver damage using DARS2 Rabbit pAb at dilution of 1:100 (40x lens). Microwave antigen retrieval performed with 0.01M PBS Buffer (pH 7.2) prior to IHC staining.
DARS2 Antibody

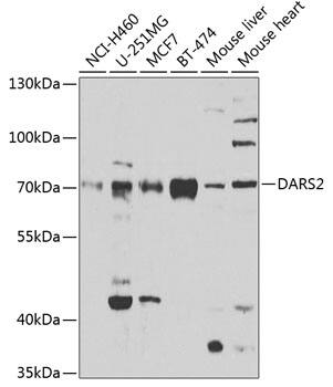
Western Blot: DARS2 Antibody [NBP3-38469] -

Western Blot: DARS2 Antibody [NBP3-38469] - Western blot analysis of various lysates using DARS2 Rabbit pAb at 1:1000 dilution.
Secondary antibody: HRP-conjugated Goat anti-Rabbit IgG (H+L) at 1:10000 dilution.
Lysates/proteins: 25ug per lane.
Blocking buffer: 3% nonfat dry milk in TBST.
Detection: ECL Enhanced Kit.
Exposure time: 90s.

Applications for DARS2 Antibody - BSA Free

Application
Recommended Usage

Immunohistochemistry-Paraffin

1:50 - 1:200

Western Blot

1:500 - 1:2000

Formulation, Preparation, and Storage

Purification

Affinity purified

Formulation

PBS (pH 7.3), 50% glycerol

Format

BSA Free

Preservative

0.02% Sodium Azide

Concentration

Please see the vial label for concentration. If unlisted please contact technical services.

Shipping

The product is shipped with polar packs. Upon receipt, store it immediately at the temperature recommended below.

Stability & Storage

Store at -20C. Avoid freeze-thaw cycles.

Background: DARS2

The protein encoded by the DARS2 gene belongs to the class-II aminoacyl-tRNA synthetase family. It is a mitochondrial enzyme that specifically aminoacylates aspartyl-tRNA. Mutations in this gene are associated with leukoencephalopathy with brainstem and spinal cord involvement and lactate elevation (LBSL). (provided by RefSeq)

Alternate Names

aspartate tRNA ligase 2, mitochondrial, Aspartate--tRNA ligase, aspartyl-tRNA synthetase 2, mitochondrial, aspartyl-tRNA synthetase, mitochondrial, ASPRS, ASPRS. LBSL, EC 6.1.1, EC 6.1.1.12, FLJ10514, LBSL, MT-ASPRS, RP3-383J4.2

Gene Symbol

DARS2

Additional DARS2 Products

Product Documents for DARS2 Antibody - BSA Free

Certificate of Analysis

To download a Certificate of Analysis, please enter a lot number in the search box below.

Product Specific Notices for DARS2 Antibody - BSA Free

This product is for research use only and is not approved for use in humans or in clinical diagnosis. Primary Antibodies are guaranteed for 1 year from date of receipt.

Loading...
Loading...
Loading...
Loading...