DAP1 Antibody - BSA Free
Novus Biologicals, part of Bio-Techne | Catalog # NBP2-87245
Key Product Details
Species Reactivity
Human
Applications
Immunohistochemistry, Immunohistochemistry-Paraffin, Western Blot
Label
Unconjugated
Antibody Source
Polyclonal Rabbit
Format
BSA Free
Concentration
0.5 mg/ml
Product Specifications
Immunogen
The immunogen is a synthetic peptide directed towards the middle region of DAP1. Peptide sequence: PSPPKPTVFISGVIARGDKDFPPAAAQVAHQKPHASMDKHPSPRTQHIQQ The peptide sequence for this immunogen was taken from within the described region.
Clonality
Polyclonal
Host
Rabbit
Description
Novus Biologicals Rabbit DAP1 Antibody - BSA Free (NBP2-87245) is a polyclonal antibody validated for use in IHC and WB. All Novus Biologicals antibodies are covered by our 100% guarantee.
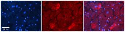
Scientific Data Images for DAP1 Antibody - BSA Free
Western Blot: DAP1 Antibody [NBP2-87245]
Western Blot: DAP1 Antibody [NBP2-87245] - WB Suggested Anti-DAP Antibody. Titration: 1.0 ug/ml. Positive Control: HCT15 Whole CellImmunohistochemistry-Paraffin: DAP1 Antibody [NBP2-87245]
Immunohistochemistry-Paraffin: DAP1 Antibody [NBP2-87245] - Rabbit Anti-DAP Antibody. Formalin Fixed Paraffin Embedded Tissue: Human Heart Tissue. Observed Staining: Cytoplasm in cardiomyocytes and endothelial cells in capillaries. Primary Antibody Concentration: 1:100.Applications for DAP1 Antibody - BSA Free
Application
Recommended Usage
Western Blot
1.0 ug/ml
Formulation, Preparation, and Storage
Purification
Affinity purified
Formulation
PBS, 2% Sucrose
Format
BSA Free
Preservative
0.09% Sodium Azide
Concentration
0.5 mg/ml
Shipping
The product is shipped with polar packs. Upon receipt, store it immediately at the temperature recommended below.
Stability & Storage
Store at 4C short term. Aliquot and store at -20C long term. Avoid freeze-thaw cycles.
Background: DAP1
Alternate Names
DAP1, DAP-1, death-associated protein, death-associated protein 1, MGC99796
Gene Symbol
DAP
Additional DAP1 Products
Product Specific Notices for DAP1 Antibody - BSA Free
This product is for research use only and is not approved for use in humans or in clinical diagnosis. Primary Antibodies are guaranteed for 1 year from date of receipt.
Loading...
Loading...
Loading...
Loading...