DAAM2 Antibody - BSA Free
Novus Biologicals, part of Bio-Techne | Catalog # NBP2-47496
Key Product Details
Species Reactivity
Validated:
Human
Cited:
Human
Applications
Validated:
Immunohistochemistry, Immunohistochemistry-Paraffin, Immunocytochemistry/ Immunofluorescence
Cited:
Western Blot, MA, Knockdown Validated
Label
Unconjugated
Antibody Source
Polyclonal Rabbit IgG
Format
BSA Free
Concentration
Concentrations vary lot to lot. See vial label for concentration. If unlisted please contact technical services.
Product Specifications
Immunogen
This antibody was developed against a recombinant protein corresponding to amino acids: NISLLHYLIMILEKHFPDILNMPSELQHLPEAAKVNLAELEKEVGNLRRGLRAVEVELEYQRRQVREPS
Reactivity Notes
Immunogen displays the following percentage of sequence identity for non-tested species: Mouse (88%), Rat (88%)
Clonality
Polyclonal
Host
Rabbit
Isotype
IgG
Scientific Data Images for DAAM2 Antibody - BSA Free
Immunocytochemistry/ Immunofluorescence: DAAM2 Antibody [NBP2-47496]
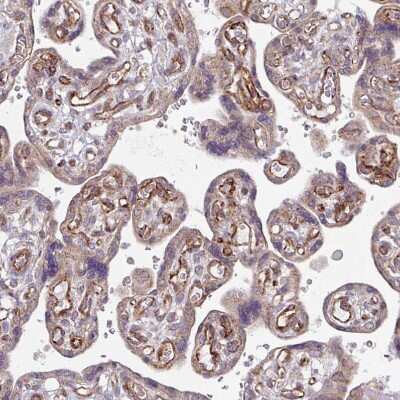
DAAM2-Antibody-Immunocytochemistry-Immunofluorescence-NBP2-47496-img0009.jpgImmunohistochemistry-Paraffin: DAAM2 Antibody [NBP2-47496]
Immunohistochemistry-Paraffin: DAAM2 Antibody [NBP2-47496] - Staining of human placenta shows strong positivity in endothelial cells.Immunocytochemistry/ Immunofluorescence: DAAM2 Antibody [NBP2-47496]
Immunocytochemistry/Immunofluorescence: DAAM2 Antibody [NBP2-47496] - Staining of human cell line HEK 293 shows localization to nucleus & cytosol. Antibody staining is shown in green.Applications for DAAM2 Antibody - BSA Free
Application
Recommended Usage
Immunocytochemistry/ Immunofluorescence
0.25-2 ug/ml
Immunohistochemistry
1:500 - 1:1000
Immunohistochemistry-Paraffin
1:500 - 1:1000
Application Notes
For IHC-Paraffin, HIER pH 6 retrieval is recommended. ICC/IF Fixation Permeabilization: Use PFA/Triton X-100.
Formulation, Preparation, and Storage
Purification
Affinity purified
Formulation
PBS (pH 7.2) and 40% Glycerol
Format
BSA Free
Preservative
0.02% Sodium Azide
Concentration
Concentrations vary lot to lot. See vial label for concentration. If unlisted please contact technical services.
Shipping
The product is shipped with polar packs. Upon receipt, store it immediately at the temperature recommended below.
Stability & Storage
Store at 4C short term. Aliquot and store at -20C long term. Avoid freeze-thaw cycles.
Background: DAAM2
Alternate Names
dishevelled associated activator of morphogenesis 2
Gene Symbol
DAAM2
Additional DAAM2 Products
Product Documents for DAAM2 Antibody - BSA Free
Product Specific Notices for DAAM2 Antibody - BSA Free
This product is for research use only and is not approved for use in humans or in clinical diagnosis. Primary Antibodies are guaranteed for 1 year from date of receipt.
Loading...
Loading...
Loading...
Loading...