Cytokeratin, LMW Antibody (rKRTL/6616)
Novus Biologicals, part of Bio-Techne | Catalog # NBP3-07644
Recombinant Monoclonal Antibody
Conjugate
Catalog #
Forumulation
Catalog #
Key Product Details
Species Reactivity
Human
Applications
Immunohistochemistry-Paraffin
Label
Unconjugated
Antibody Source
Recombinant Monoclonal Mouse IgG1 kappa Clone # rKRTL/6616
Concentration
0.2 mg/ml
Product Specifications
Immunogen
Synthetic peptide corresponding to Cytokeratin, LMW residues within aa100-200 of Cytokeratin, LMW (Uniprot: Q7Z794)
Localization
Cytoplasmic
Specificity
The keratins are the typical intermediate filament proteins of epithelia, showing an outstanding degree of molecular diversity. Heteropolymeric filaments are formed by pairing of type I and type II molecules. In humans 54 functional keratin genes exist. They are expressed in highly specific patterns related to the epithelial type and stage of cellular differentiation. This antibody can detect high molecular weight CK10, CK14, CK15 and CK16 and low molecular weight CK19. It usually used in a cytokeratin cocktail with type II cytokeratin antibody.
Marker
Epithelial Marker
Clonality
Monoclonal
Host
Mouse
Isotype
IgG1 kappa
Description
200ug/ml of antibody purified from Bioreactor Concentrate by Protein A or G. Prepared in 10 mM PBS with 0.05% BSA & 0.05% azide. Also available WITHOUT BSA & azide at 1.0 mg/ml. (NBP3-08674)
Antibody with azide - store at 2 to 8C. Antibody without azide - store at -20 to -80 C.
Antibody with azide - store at 2 to 8C. Antibody without azide - store at -20 to -80 C.
Scientific Data Images for Cytokeratin, LMW Antibody (rKRTL/6616)
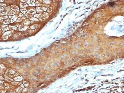
Immunohistochemistry-Paraffin: Cytokeratin, LMW Antibody (rKRTL/6616) [NBP3-07644]
Immunohistochemistry-Paraffin: Cytokeratin, LMW Antibody (rKRTL/6616) [NBP3-07644] - Formalin-fixed, paraffin-embedded human sebaceous gland stained with Cytokeratin, LMW Recombinant Mouse Monoclonal Antibody (rKRTL/6616).Immunohistochemistry-Paraffin: Cytokeratin, LMW Antibody (rKRTL/6616) [NBP3-07644]
Immunohistochemistry-Paraffin: Cytokeratin, LMW Antibody (rKRTL/6616) [NBP3-07644] - Formalin-fixed, paraffin-embedded human skin stained with Cytokeratin, LMW Recombinant Mouse Monoclonal Antibody (rKRTL/6616).Applications for Cytokeratin, LMW Antibody (rKRTL/6616)
Application
Recommended Usage
Immunohistochemistry-Paraffin
1-2 ug/ml
Application Notes
Immunohistochemistry (Formalin-fixed): 1-2ug/ml for 30 minutes at RT. Staining of formalin-fixed tissues requires heating tissue sections in 10mM Tris with 1mM EDTA, pH 9.0, for 45 min at 95C followed by cooling at RT for 20 minutes.
Optimal dilution for a specific application should be determined.
Optimal dilution for a specific application should be determined.
Formulation, Preparation, and Storage
Purification
Protein A or G purified
Formulation
10 mM PBS with 0.05% BSA
Preservative
0.05% Sodium Azide
Concentration
0.2 mg/ml
Shipping
The product is shipped with polar packs. Upon receipt, store it immediately at the temperature recommended below.
Stability & Storage
Store at 4C.
Background: Cytokeratin, LMW
Alternate Names
Cytokeratin LMW, cytokeratin-1B, keratin 77, keratin, type II cytoskeletal 1b, KRT77, type-II keratin Kb39
Gene Symbol
KRT77
UniProt
Additional Cytokeratin, LMW Products
Product Documents for Cytokeratin, LMW Antibody (rKRTL/6616)
Product Specific Notices for Cytokeratin, LMW Antibody (rKRTL/6616)
This product is for research use only and is not approved for use in humans or in clinical diagnosis. Primary Antibodies are guaranteed for 1 year from date of receipt.
Loading...
Loading...
Loading...
Loading...