Cytokeratin, Basic (Type II or HMW) Antibody (SPM116) - Azide and BSA Free
Novus Biologicals, part of Bio-Techne | Catalog # NBP2-34395
Conjugate
Catalog #
Forumulation
Catalog #
Key Product Details
Species Reactivity
Human, Mouse, Rat, Bovine, Canine, Chicken, Monkey, Rabbit
Applications
Immunohistochemistry, Immunohistochemistry-Paraffin, Western Blot, Flow Cytometry, Immunocytochemistry/ Immunofluorescence, CyTOF-ready
Label
Unconjugated
Antibody Source
Monoclonal Mouse IgG1 kappa Clone # SPM116
Format
Azide and BSA Free
Concentration
1.0 mg/ml
Product Specifications
Immunogen
Human epidermal keratin (Uniprot: Q01546)
Localization
Cytoplasmic
Specificity
This monoclonal antibody recognizes basic (Type II or HMW) cytokeratins, which include 67kDa (CK1); 64kDa (CK3); 59kDa (CK4); 58kDa (CK5); 56kDa (CK6); 52kDa (CK8). Twenty human keratins are resolved with two-dimensional gel electrophoresis into acidic (pI 6.0) subfamilies. The acidic keratins have molecular weights (MW) of 56.5, 55, 51, 50, 50', 48, 46, 45, and 40kDa. This monoclonal antibody recognizes the 65-67, 64, 59, 58, 56, and 52kDa keratins of basic subfamily. Many studies have shown the usefulness of keratins as markers in cancer research and tumor diagnosis. SPM115/SPM116 is a broad spectrum anti pan-keratin antibody cocktail, which differentiates epithelial tumors from non-epithelial tumors e.g. squamous vs. adenocarcinoma of the lung, liver carcinoma, breast cancer, and esophageal cancer.
Marker
Epithelial Marker
Clonality
Monoclonal
Host
Mouse
Isotype
IgG1 kappa
Theoretical MW
59 kDa.
Disclaimer note: The observed molecular weight of the protein may vary from the listed predicted molecular weight due to post translational modifications, post translation cleavages, relative charges, and other experimental factors.
Disclaimer note: The observed molecular weight of the protein may vary from the listed predicted molecular weight due to post translational modifications, post translation cleavages, relative charges, and other experimental factors.
Description
1.0 mg/ml of antibody purified from Bioreactor Concentrate by Protein A/G. Prepared in 10mM PBS WITHOUT BSA & azide. Also available at 200 ug/ml WITH BSA & azide (NBP2-34348).
Antibody with azide - store at 2 to 8C. Antibody without azide - store at -20 to -80C.
Antibody with azide - store at 2 to 8C. Antibody without azide - store at -20 to -80C.
Scientific Data Images
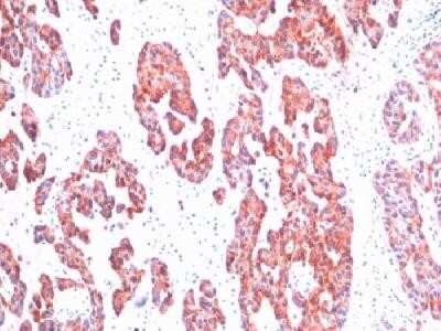
Immunohistochemistry-Paraffin: Cytokeratin, Basic (Type II or HMW) Antibody (SPM116) - Azide and BSA Free [NBP2-34395]
Immunohistochemistry-Paraffin: Cytokeratin, Basic (Type II or HMW) Antibody (SPM116) - Azide and BSA Free [NBP2-34395] - Formalin-fixed, paraffin-embedded human breast carcinoma stained with cytokeratin, HMW Monoclonal Antibody (SPM116)Applications
Application
Recommended Usage
Flow Cytometry
0.5-1ug/million cells
Immunocytochemistry/ Immunofluorescence
1-2ug/ml
Immunohistochemistry-Paraffin
0.5-1ug/ml
Western Blot
0.5-1ug/ml
Application Notes
Immunohistochemistry (Formalin-fixed): 1-2ug/ml for 30 min at RT. Staining of formalin-fixed tissues requires heating tissue sections in 10mM Tris with 1mM EDTA, pH 9.0, for 45 min at 95C followed by cooling at RT for 20 minutes.
Optimal dilution for a specific application should be determined.
Optimal dilution for a specific application should be determined.
Formulation, Preparation, and Storage
Purification
Protein A or G purified
Formulation
10 mM PBS
Format
Azide and BSA Free
Preservative
No Preservative
Concentration
1.0 mg/ml
Shipping
The product is shipped with polar packs. Upon receipt, store it immediately at the temperature recommended below.
Stability & Storage
Store at -20 to -80C. Avoid freeze-thaw cycles.
Background: Cytokeratin, Basic (Type II or HMW)
Alternate Names
CK1, CK10, CK14, CK5, cytokeratin 1, cytokeratin 10, cytokeratin 14, cytokeratin 5
Additional Cytokeratin, Basic (Type II or HMW) Products
Product Specific Notices
This product is for research use only and is not approved for use in humans or in clinical diagnosis. Primary Antibodies are guaranteed for 1 year from date of receipt.
Loading...
Loading...
Loading...
Loading...
Loading...