Cytokeratin 8 Antibody (KRT8/803) - Azide and BSA Free
Novus Biologicals, part of Bio-Techne | Catalog # NBP3-11422
Conjugate
Catalog #
Forumulation
Catalog #
Key Product Details
Species Reactivity
Human
Applications
Immunohistochemistry, Immunohistochemistry-Paraffin, Western Blot
Label
Unconjugated
Antibody Source
Monoclonal Mouse IgG1 kappa Clone # KRT8/803
Format
Azide and BSA Free
Concentration
1 mg/ml
Product Specifications
Immunogen
Recombinant full-length human Cytokeratin 8 protein (Uniprot: P05787)
Localization
Cytoplasmic
Specificity
Cytokeratin 8 (CK8) belongs to the type II (or B or basic) subfamily of high molecular weight cytokeratins and exists in combination with cytokeratin 18 (CK18). CK8 is primarily found in the non-squamous epithelia and is present in majority of adenocarcinomas and ductal carcinomas. It is absent in squamous cell carcinomas. Hepatocellular carcinomas are defined by the use of antibodies that recognize only cytokeratin 8 and 18. CK8 exists on several types of normal and neoplastic epithelia, including many ductal and glandular epithelia such as colon, stomach, small intestine, trachea, and esophagus as well as in transitional epithelium. Anti-CK8 does not react with skeletal muscle or nerve cells. Epithelioid sarcoma, chordoma, and adamantinoma show strong positivity corresponding to that of simple epithelia (with antibodies against CK8, CK18 and CK19). Anti-CK8 is useful for the differentiation of lobular ('ring-like, perinuclear') from ductal ('peripheral-predominant') carcinoma of the breast.
Clonality
Monoclonal
Host
Mouse
Isotype
IgG1 kappa
Theoretical MW
52.5 kDa.
Disclaimer note: The observed molecular weight of the protein may vary from the listed predicted molecular weight due to post translational modifications, post translation cleavages, relative charges, and other experimental factors.
Disclaimer note: The observed molecular weight of the protein may vary from the listed predicted molecular weight due to post translational modifications, post translation cleavages, relative charges, and other experimental factors.
Description
1.0 mg/ml of antibody purified from Bioreactor Concentrate by Protein A/G. Prepared in 10mM PBS WITHOUT BSA & azide. Also available at 200 ug/ml WITH BSA & azide (NBP2-44940).
Antibody with azide - store at 2 to 8C. Antibody without azide - store at -20 to -80C.
Antibody with azide - store at 2 to 8C. Antibody without azide - store at -20 to -80C.
Scientific Data Images for Cytokeratin 8 Antibody (KRT8/803) - Azide and BSA Free
Western Blot: Cytokeratin 8 Antibody (KRT8/803) - Azide and BSA Free [NBP3-11422] -
Western Blot: Cytokeratin 8 Antibody (KRT8/803) - Azide and BSA Free [NBP3-11422] - Western Blot Analysis of HCT116 cell lysate using CK8 with Cytokeratin 8 Mouse Monoclonal Antibody (KRT8/803).Immunohistochemistry-Paraffin: Cytokeratin 8 Antibody (KRT8/803) - Azide and BSA Free [NBP3-11422] -
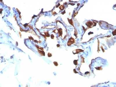
Immunohistochemistry-Paraffin: Cytokeratin 8 Antibody (KRT8/803) - Azide and BSA Free [NBP3-11422] - Human Lung Carcinoma stained with Cytokeratin 8 Monoclonal Antibody (KRT8/803).Applications for Cytokeratin 8 Antibody (KRT8/803) - Azide and BSA Free
Application
Recommended Usage
Immunohistochemistry-Paraffin
0.5 - 1.0 ug/ml
Western Blot
1-2 ug/ml
Application Notes
Immunohistochemistry (Formalin-fixed): 1-2ug/ml for 30 min at RT. Staining of formalin-fixed tissues requires heating tissue sections in 10mM Tris with 1mM EDTA, pH 9.0, for 45 min at 95C followed by cooling at RT for 20 minutes.
Optimal dilution for a specific application should be determined.
Optimal dilution for a specific application should be determined.
Formulation, Preparation, and Storage
Purification
Protein A or G purified
Formulation
10 mM PBS
Format
Azide and BSA Free
Preservative
No Preservative
Concentration
1 mg/ml
Shipping
The product is shipped with polar packs. Upon receipt, store it immediately at the temperature recommended below.
Stability & Storage
Store at -20 to -80C. Avoid freeze-thaw cycles.
Background: Cytokeratin 8
Alternate Names
CARD2, CK8, EndoA, KRT8
Gene Symbol
KRT8
Additional Cytokeratin 8 Products
Product Documents for Cytokeratin 8 Antibody (KRT8/803) - Azide and BSA Free
Product Specific Notices for Cytokeratin 8 Antibody (KRT8/803) - Azide and BSA Free
This product is for research use only and is not approved for use in humans or in clinical diagnosis. Primary Antibodies are guaranteed for 1 year from date of receipt.
Loading...
Loading...
Loading...
Loading...