Skip to main content

Cytokeratin 5/6 Antibody (KRT5.6/2090)

Novus Biologicals, part of Bio-Techne | Catalog # NBP3-43590

Novus Biologicals, part of Bio-Techne
Catalog #
Availability
Size / Price
Qty
Loading...
NBP3-43590SS
NBP3-43590

Key Product Details

Species Reactivity

Human

Applications

Immunohistochemistry, Immunohistochemistry-Paraffin, Protein Array

Label

Unconjugated

Antibody Source

Monoclonal Mouse IgG1 kappa Clone # KRT5.6/2090

Concentration

0.2 mg/ml

Product Specifications

Immunogen

Recombinant full-length human Cytokeratin 5/6 protein

Localization

Cytoplasmic

Specificity

It recognizes polypeptides of 58kDa and 56kDa, identified as cytokeratin 5 and 6 respectively. It shows no reaction with keratin 1, 8, or 19. It stains the basal cells of squamous and glandular epithelia, part of stratum spinosum of squamous epithelium, myoepithelium, and mesothelium. It does not stain adenous epithelium. Therefore, this antibody can be used to distinguish squamous carcinoma from adenocarcinoma, and to differentiate epitheliod mesothelioma from non-epitheliod mesothelioma and adenocarcinoma. It is also a useful antibody in the identification of mesothelioma and lung squamous cell carcinoma.

Marker

Basal, Myoepithelial & Mesothelial Cell Marker

Clonality

Monoclonal

Host

Mouse

Isotype

IgG1 kappa

Description

200ug/ml of antibody purified from Bioreactor Concentrate by Protein A or G. Prepared in 10 mM PBS with 0.05% BSA & 0.05% azide. Also available WITHOUT BSA & azide at 1.0 mg/ml. (NBP3-43589)

Antibody with azide - store at 2 to 8C. Antibody without azide - store at -20 to -80C.

Scientific Data Images for Cytokeratin 5/6 Antibody (KRT5.6/2090)

Cytokeratin 5/6 Antibody (KRT5.6/2090) Immunohistochemistry-Paraffin: Cytokeratin 5/6 Antibody (KRT5.6/2090) [NBP3-43590] -

Immunohistochemistry-Paraffin: Cytokeratin 5/6 Antibody (KRT5.6/2090) [NBP3-43590] -

Formalin-fixed, paraffin-embedded human Basal Cell Carcinoma stained with Cytokeratin 5/6 Antibody (KRT5.6/2090).
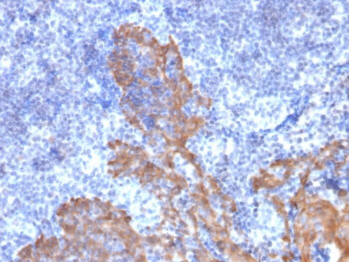
Cytokeratin 5/6 Antibody (KRT5.6/2090) Immunohistochemistry-Paraffin: Cytokeratin 5/6 Antibody (KRT5.6/2090) [NBP3-43590] -

Immunohistochemistry-Paraffin: Cytokeratin 5/6 Antibody (KRT5.6/2090) [NBP3-43590] -

Formalin-fixed, paraffin-embedded human Tonsil stained with Cytokeratin 5/6 Antibody (KRT5.6/2090).

Applications for Cytokeratin 5/6 Antibody (KRT5.6/2090)

Application
Recommended Usage

Immunohistochemistry-Paraffin

1-2 ug/ml
Application Notes
Immunohistochemistry (Formalin-fixed): 1-2ug/ml for 30 min at RT. Staining of formalin-fixed tissues requires boiling tissue sections in 10mM Tris with 1mM EDTA, pH 9.0, for 45 min at 95C followed by cooling at RT for 20 minutes.
Optimal dilution for a specific application should be determined.

Formulation, Preparation, and Storage

Purification

Protein A or G purified

Formulation

10 mM PBS with 0.05% BSA

Preservative

0.05% Sodium Azide

Concentration

0.2 mg/ml

Shipping

The product is shipped with polar packs. Upon receipt, store it immediately at the temperature recommended below.

Stability & Storage

Store at 4°C.

Background: Cytokeratin 5/6

Alternate Names

58 kDa cytokeratin, CK5, CK-5, cytokeratin-5, DDD, EBS2, epidermolysis bullosa simplex 2 Dowling-Meara/Kobner/Weber-Cockayne types, K5, keratin 5, keratin 5 (epidermolysis bullosa simplex, Dowling-Meara/Kobner/Weber-Cockaynetypes), keratin, type II cytoskeletal 5, Keratin-5, KRT5A, Type-II keratin Kb5

Gene Symbol

KRT5

UniProt

Additional Cytokeratin 5/6 Products

Product Documents for Cytokeratin 5/6 Antibody (KRT5.6/2090)

Certificate of Analysis

To download a Certificate of Analysis, please enter a lot number in the search box below.

Product Specific Notices for Cytokeratin 5/6 Antibody (KRT5.6/2090)

This product is for research use only and is not approved for use in humans or in clinical diagnosis. Primary Antibodies are guaranteed for 1 year from date of receipt.

Loading...
Loading...
Loading...
Loading...