Cytokeratin 5/6 Antibody (A2B2-R)
Novus Biologicals, part of Bio-Techne | Catalog # NBP3-32250
Recombinant Monoclonal Antibody
Key Product Details
Species Reactivity
Human, Rat
Applications
Immunohistochemistry, Immunohistochemistry-Paraffin, Western Blot
Label
Unconjugated
Antibody Source
Recombinant Monoclonal Mouse IgG1 Clone # A2B2-R expressed in HEK293
Concentration
1 mg/ml
Product Specifications
Immunogen
Synthetic peptide within Human Cytokeratin 5 aa 340-380. (Uniprot: P02538)
Localization
Cytoskeleton.
Clonality
Monoclonal
Host
Mouse
Isotype
IgG1
Description
Novus Biologicals Mouse Cytokeratin 5/6 Antibody (A2B2-R) (NBP3-32250) is a recombinant monoclonal antibody validated for use in IHC and WB. All Novus Biologicals antibodies are covered by our 100% guarantee.
Scientific Data Images for Cytokeratin 5/6 Antibody (A2B2-R)
Western Blot: Cytokeratin 5/6 Antibody (A2B2-R) [NBP3-32250]
Western Blot: Cytokeratin 5/6 Antibody (A2B2-R) [NBP3-32250] - Western blot analysis of Cytokeratin 5/6 on different lysates with Mouse anti-Cytokeratin 5/6 antibody (NBP3-32250) at 1/1,000 dilution.Lane 1: HT-29 cell lysate
Lane 2: A549 cell lysate
Lane 3: MCF7 cell lysate
Lysates/proteins at 20 ug/Lane.
Predicted band size: 60/62 kDa
Observed band size: 50 kDa
Exposure time: 3 minutes;
4-20% SDS-PAGE gel.
Proteins were transferred to a PVDF membrane and blocked with 5% NFDM/TBST for 1 hour at room temperature. The primary antibody (NBP3-32250) at 1/1,000 dilution was used in 5% NFDM/TBST at 4C overnight. Goat Anti-Mouse IgG - HRP Secondary Antibody at 1/50,000 dilution was used for 1 hour at room temperature.
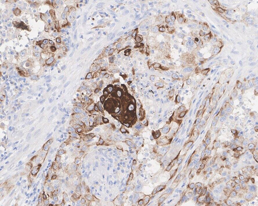
Immunohistochemistry: Cytokeratin 5/6 Antibody (A2B2-R) [NBP3-32250]
Immunohistochemistry: Cytokeratin 5/6 Antibody (A2B2-R) [NBP3-32250] - Immunohistochemical analysis of paraffin-embedded human lung adenocarcinoma tissue with Mouse anti-Cytokeratin 5/6 antibody (NBP3-32250) at 1/200 dilution.The section was pre-treated using heat mediated antigen retrieval with Tris-EDTA buffer (pH 9.0) for 20 minutes. The tissues were blocked in 1% BSA for 20 minutes at room temperature, washed with ddH2O and PBS, and then probed with the primary antibody (NBP3-32250) at 1/200 dilution for 1 hour at room temperature. The detection was performed using an HRP conjugated compact polymer system. DAB was used as the chromogen. Tissues were counterstained with hematoxylin and mounted with DPX.
Applications for Cytokeratin 5/6 Antibody (A2B2-R)
Application
Recommended Usage
Immunohistochemistry-Paraffin
1:200-1:1000
Western Blot
1:1000
Formulation, Preparation, and Storage
Purification
Protein A purified
Formulation
PBS (pH7.4), 0.1% BSA and 40% Glycerol
Preservative
0.05% Sodium Azide
Concentration
1 mg/ml
Shipping
The product is shipped with polar packs. Upon receipt, store it immediately at the temperature recommended below.
Stability & Storage
Store at 4C short term. Aliquot and store at -20C long term. Avoid freeze-thaw cycles.
Background: Cytokeratin 5/6
Alternate Names
58 kDa cytokeratin, CK5, CK-5, cytokeratin-5, DDD, EBS2, epidermolysis bullosa simplex 2 Dowling-Meara/Kobner/Weber-Cockayne types, K5, keratin 5, keratin 5 (epidermolysis bullosa simplex, Dowling-Meara/Kobner/Weber-Cockaynetypes), keratin, type II cytoskeletal 5, Keratin-5, KRT5A, Type-II keratin Kb5
Gene Symbol
KRT5
Additional Cytokeratin 5/6 Products
Product Documents for Cytokeratin 5/6 Antibody (A2B2-R)
Product Specific Notices for Cytokeratin 5/6 Antibody (A2B2-R)
This product is for research use only and is not approved for use in humans or in clinical diagnosis. Primary Antibodies are guaranteed for 1 year from date of receipt.
Loading...
Loading...
Loading...
Loading...