Cytokeratin 18 Antibody (rKRT18/7299)
Novus Biologicals, part of Bio-Techne | Catalog # NBP3-20333
Recombinant Monoclonal Antibody
Conjugate
Catalog #
Forumulation
Catalog #
Key Product Details
Species Reactivity
Human
Applications
Flow Cytometry, Immunocytochemistry/ Immunofluorescence, Immunohistochemistry-Paraffin, Western Blot
Label
Unconjugated
Antibody Source
Recombinant Monoclonal Mouse IgG1 kappa Clone # rKRT18/7299
Concentration
0.2 mg/ml
Product Specifications
Immunogen
Recombinant full-length human Cytokeratin 18 protein
Localization
Cytoplasm.
Specificity
This monoclonal antibody reacts with a wide variety of simple epithelia It does not react with stratified squamous epithelia It reacts with epithelial tumors of the gastrointestinal tract, lung, breast, pancreas, ovary, and thyroid
Clonality
Monoclonal
Host
Mouse
Isotype
IgG1 kappa
Description
Positive Controls: A549, HEP-2, MCF-7 or HeLa cells. Human breast or prostate cancer.
Antibody with azide - store at 2 to 8C. Antibody without azide - store at -20 to -80C. Non-hazardous. No MSDS required.
Antibody with azide - store at 2 to 8C. Antibody without azide - store at -20 to -80C. Non-hazardous. No MSDS required.
Scientific Data Images for Cytokeratin 18 Antibody (rKRT18/7299)
Cytokeratin 18 Antibody (rKRT18/7299)
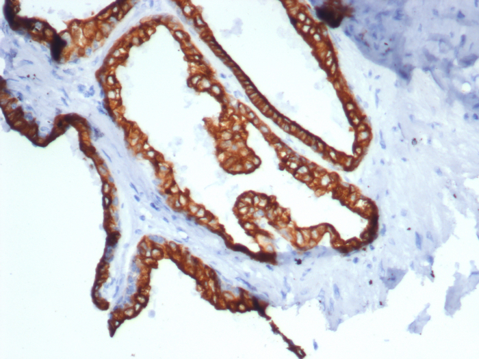
Formalin-fixed, paraffin-embedded human prostate carcinoma stained with Cytokeratin 18 antibody (rKRT18/7299). HIER: Tris/EDTA, pH9.0, 45min. Secondary: HRP-polymer, 30min. DAB, 5min.Cytokeratin 18 Antibody (rKRT18/7299)
Formalin-fixed, paraffin-embedded human prostate carcinoma stained with Cytokeratin 18 antibody (rKRT18/7299). HIER: Tris/EDTA, pH9.0, 45min. Secondary: HRP-polymer, 30min. DAB, 5minApplications for Cytokeratin 18 Antibody (rKRT18/7299)
Application
Recommended Usage
Flow Cytometry
1-2 ug/million cells
Immunocytochemistry/ Immunofluorescence
1-2 ug/ml
Immunohistochemistry-Paraffin
1-2 ug/ml
Western Blot
1-2 ug/ml
Application Notes
Immunohistochemistry (Formalin-fixed): 1-2ug/ml for 30 minutes. at RT. Staining of formalin-fixed tissues requires heating tissue sections in 10mM Tris with 1mM EDTA, pH 9.0, for 45 min at 95C followed by cooling at RT for 20 minutes.
Optimal dilution for a specific application should be determined.
Optimal dilution for a specific application should be determined.
Formulation, Preparation, and Storage
Purification
Protein A or G purified
Formulation
10mM PBS with 0.05% BSA
Preservative
0.05% Sodium Azide
Concentration
0.2 mg/ml
Shipping
The product is shipped with polar packs. Upon receipt, store it immediately at the temperature recommended below.
Stability & Storage
Store at 4C. Do not freeze.
Background: Cytokeratin 18
Alternate Names
CK-18, CYK18, Keratin 18, KRT18
Gene Symbol
KRT18
Additional Cytokeratin 18 Products
Product Documents for Cytokeratin 18 Antibody (rKRT18/7299)
Product Specific Notices for Cytokeratin 18 Antibody (rKRT18/7299)
This product is for research use only and is not approved for use in humans or in clinical diagnosis. Primary Antibodies are guaranteed for 1 year from date of receipt.
Loading...
Loading...
Loading...
Loading...
Loading...