Skip to main content

Cytokeratin 18 Antibody (Cocktail) - IHC-Prediluted

Novus Biologicals, part of Bio-Techne | Catalog # NBP2-48076

Novus Biologicals, part of Bio-Techne
Catalog #
Availability
Size / Price
Qty
Loading...
NBP2-48076

Key Product Details

Species Reactivity

Human

Applications

Immunohistochemistry, Immunohistochemistry-Paraffin

Label

Unconjugated

Antibody Source

Monoclonal Mouse IgG1 Kappa/IgG1 Kappa/IgG1 Kappa Clone # Cocktail

Format

IHC-Prediluted

Concentration

Please see the vial label for concentration. If unlisted please contact technical services.

Product Specifications

Immunogen

Recombinant full-length human Cytokeratin 18 protein (Uniprot: P05783)

Localization

Cytoplasmic

Specificity

This monoclonal antibody reacts with a wide variety of simple epithelia. It does not react with stratified squamous epithelia. It reacts with epithelial tumors of the gastrointestinal tract, lung, breast, pancreas, ovary, and thyroid. Cytokeratin 18, which belongs to the type A (acidic) subfamily of low molecular weight keratins, exists in combination with cytokeratin 8. It is reported that tissues from gastrointestinal tract are positive for both cytokeratin 8 and 18 but do not contain cytokeratin 14. Tissues from gastrointestinal tract, respiratory tract and urogenital tract, as well as endocrine and exocrine tissues and mesothelial cells are positive for cytokeratin 18.

Clonality

Monoclonal

Host

Mouse

Isotype

IgG1 Kappa/IgG1 Kappa/IgG1 Kappa

Theoretical MW

45 kDa.
Disclaimer note: The observed molecular weight of the protein may vary from the listed predicted molecular weight due to post translational modifications, post translation cleavages, relative charges, and other experimental factors.

Description

The prediluted antibody does not require any mixing, dilution, reconstitution, or titration; the antibody is ready-to-use and optimized for staining.

Scientific Data Images for Cytokeratin 18 Antibody (Cocktail) - IHC-Prediluted

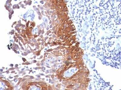
Immunohistochemistry-Paraffin: Cytokeratin 18 Antibody (Cocktail) - IHC-Prediluted [NBP2-48076]

Immunohistochemistry-Paraffin: Cytokeratin 18 Antibody (Cocktail) - IHC-Prediluted [NBP2-48076]

Immunohistochemistry-Paraffin: Cytokeratin 18 Antibody (Cocktail) - IHC-Prediluted [NBP2-48076] - Human Lung Carcinoma stained with Cytokeratin 18 Monoclonal Antibody (Cocktail).
Immunohistochemistry-Paraffin: Cytokeratin 18 Antibody (Cocktail) - IHC-Prediluted [NBP2-48076]

Immunohistochemistry-Paraffin: Cytokeratin 18 Antibody (Cocktail) - IHC-Prediluted [NBP2-48076]

Immunohistochemistry-Paraffin: Cytokeratin 18 Antibody (Cocktail) - IHC-Prediluted [NBP2-48076] - Human Cervical Carcinoma stained with Cytokeratin 18 Monoclonal Antibody (Cocktail).
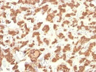
Immunohistochemistry-Paraffin: Cytokeratin 18 Antibody (Cocktail) - IHC-Prediluted [NBP2-48076]

Immunohistochemistry-Paraffin: Cytokeratin 18 Antibody (Cocktail) - IHC-Prediluted [NBP2-48076]

Immunohistochemistry-Paraffin: Cytokeratin 18 Antibody (Cocktail) - IHC-Prediluted [NBP2-48076] - Human Thyroid Carcinoma stained with Cytokeratin 18 Monoclonal Antibody (Cocktail).

Applications for Cytokeratin 18 Antibody (Cocktail) - IHC-Prediluted

Application
Recommended Usage

Immunohistochemistry

Optimal dilutions of this antibody should be experimentally determined.

Immunohistochemistry-Paraffin

Optimal dilutions of this antibody should be experimentally determined.
Application Notes
Immunohistochemistry (Formalin-fixed): 1-2ug/ml for 30 min at RT. Staining of formalin-fixed tissues requires heating tissue sections in 10mM Tris with 1mM EDTA, pH 9.0, for 45 min at 95C followed by cooling at RT for 20 minutes.
Optimal dilution for a specific application should be determined.

Formulation, Preparation, and Storage

Purification

Protein A or G purified

Formulation

10 mM PBS with 0.05% BSA

Format

IHC-Prediluted

Preservative

0.05% Sodium Azide

Concentration

Please see the vial label for concentration. If unlisted please contact technical services.

Shipping

The product is shipped with polar packs. Upon receipt, store it immediately at the temperature recommended below.

Stability & Storage

Store at 4C.

Background: Cytokeratin 18

Cytokeratins are cytoskeletal intermediate filament proteins that are classified as type I (acidic) and type II (neutral to basic) and associate into heterotetramers.

Alternate Names

CK-18, CYK18, Keratin 18, KRT18

Gene Symbol

KRT18

Additional Cytokeratin 18 Products

Product Documents for Cytokeratin 18 Antibody (Cocktail) - IHC-Prediluted

Certificate of Analysis

To download a Certificate of Analysis, please enter a lot number in the search box below.

Product Specific Notices for Cytokeratin 18 Antibody (Cocktail) - IHC-Prediluted

This product is for research use only and is not approved for use in humans or in clinical diagnosis. Primary Antibodies are guaranteed for 1 year from date of receipt.

Loading...
Loading...
Loading...
Loading...