Skip to main content

Cytokeratin 17/36 Antibody (SR45-06)

Novus Biologicals, part of Bio-Techne | Catalog # NBP2-67318

Recombinant Monoclonal Antibody
Novus Biologicals, part of Bio-Techne
Catalog #
Availability
Size / Price
Qty
Loading...
NBP2-67318

Key Product Details

Validated by

Biological Validation

Species Reactivity

Human, Mouse, Rat

Applications

Immunohistochemistry, Immunohistochemistry-Paraffin, Western Blot, Flow Cytometry, Immunocytochemistry/ Immunofluorescence

Label

Unconjugated

Antibody Source

Recombinant Monoclonal Rabbit IgG Clone # SR45-06 expressed in HEK293

Concentration

1 mg/ml

Product Specifications

Immunogen

Synthetic peptide within Human Cytokeratin 17/36 aa 1-50 / 432. (SwissProt: Q04695 Human; SwissProt: Q9QWL7 Mouse; SwissProt: Q6IFU8 Rat)

Localization

Cytoplasm

Clonality

Monoclonal

Host

Rabbit

Isotype

IgG

Description

Novus Biologicals Rabbit Cytokeratin 17/36 Antibody (SR45-06) (NBP2-67318) is a recombinant monoclonal antibody validated for use in IHC, WB, Flow and ICC/IF. All Novus Biologicals antibodies are covered by our 100% guarantee.

Scientific Data Images for Cytokeratin 17/36 Antibody (SR45-06)

Immunocytochemistry/ Immunofluorescence: Cytokeratin 17/36 Antibody (SR45-06) [NBP2-67318]

Immunocytochemistry/ Immunofluorescence: Cytokeratin 17/36 Antibody (SR45-06) [NBP2-67318]

Immunocytochemistry/Immunofluorescence: Cytokeratin 17/36 Antibody (SR45-06) [NBP2-67318] - Staining Cytokeratin 17 in Hela cells (green). The nuclear counter stain is DAPI (blue). Cells were fixed in paraformaldehyde, permeabilised with 0.25% Triton X100/PBS.
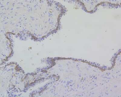
Immunohistochemistry-Paraffin: Cytokeratin 17/36 Antibody (SR45-06) [NBP2-67318]

Immunohistochemistry-Paraffin: Cytokeratin 17/36 Antibody (SR45-06) [NBP2-67318]

Immunohistochemistry-Paraffin: Cytokeratin 17/36 Antibody (SR45-06) [NBP2-67318] - Immunohistochemical analysis of paraffin-embedded human tonsil tissue using anti-Cytokeratin 17/36 antibody. The section was pre-treated using heat mediated antigen retrieval with Tris-EDTA buffer (pH 8.0-8.4) for 20 minutes. The tissues were blocked in 5
Flow Cytometry: Cytokeratin 17/36 Antibody (SR45-06) [NBP2-67318]

Flow Cytometry: Cytokeratin 17/36 Antibody (SR45-06) [NBP2-67318]

Flow Cytometry: Cytokeratin 17/36 Antibody (SR45-06) [NBP2-67318] - Analysis of Hela cells with Cytokeratin 17 antibody at 1/50 dilution (blue) compared with an unlabelled control (cells without incubation with primary antibody; red). Alexa Fluor 488-conjugated goat anti rabbit IgG was used as the secondary antibody.

Applications for Cytokeratin 17/36 Antibody (SR45-06)

Application
Recommended Usage

Flow Cytometry

1:50-1:100

Immunocytochemistry/ Immunofluorescence

1:200

Immunohistochemistry-Paraffin

1:50-1:400

Western Blot

1:500-1:1000

Formulation, Preparation, and Storage

Purification

Protein A purified

Formulation

TBS (pH7.4), 0.05% BSA, 40% Glycerol

Preservative

0.05% Sodium Azide

Concentration

1 mg/ml

Shipping

The product is shipped with polar packs. Upon receipt, store it immediately at the temperature recommended below.

Stability & Storage

Store at 4C short term. Aliquot and store at -20C long term. Avoid freeze-thaw cycles.

Background: Cytokeratin 17/36

Alternate Names

39.1, CK-17, cytokeratin-17, K17, keratin 17, keratin, type I cytoskeletal 17, Keratin-17, PC, PC2, PCHC1

Gene Symbol

KRT17

Additional Cytokeratin 17/36 Products

Product Documents for Cytokeratin 17/36 Antibody (SR45-06)

Certificate of Analysis

To download a Certificate of Analysis, please enter a lot number in the search box below.

Product Specific Notices for Cytokeratin 17/36 Antibody (SR45-06)

This product is for research use only and is not approved for use in humans or in clinical diagnosis. Primary Antibodies are guaranteed for 1 year from date of receipt.

Loading...
Loading...
Loading...
Loading...
Loading...