Cytokeratin 14 Antibody (KRT14/4131)
Novus Biologicals, part of Bio-Techne | Catalog # NBP3-20245
Conjugate
Catalog #
Forumulation
Catalog #
Key Product Details
Species Reactivity
Human
Applications
Immunohistochemistry-Paraffin
Label
Unconjugated
Antibody Source
Monoclonal Mouse IgG1 kappa Clone # KRT14/4131
Concentration
0.2 mg/ml
Product Specifications
Immunogen
Recombinant fragment (around aa351-472) of human Cytokeratin 14 protein (exact sequence is proprietary)
Localization
Cytoplasm.
Specificity
Anti-CK14 is useful in differentiating squamous cell carcinomas from poorly differentiated epithelial tumors Anti-CK14 is one of the specific basal markers for distinguishing between basal and non-basal subtypes of breast carcinomas Anti-CK14 is also a good marker for differentiation of intraductal from invasive salivary duct carcinoma by the positive staining of basal cells surrounding the in-situ neoplasm as well as for differentiation of benign prostate from prostate carcinoma Furthermore, this antibody has been useful in separating oncocytic tumors of the kidney from its renal mimics, and in identifying metaplastic carcinomas of the breast
Clonality
Monoclonal
Host
Mouse
Isotype
IgG1 kappa
Description
Positive Controls: Human skin or squamous cell carcinoma tissue.
Antibody with azide - store at 2 to 8 C. Antibody without azide - store at -20 to -80 C. Non-hazardous. No MSDS required.
Antibody with azide - store at 2 to 8 C. Antibody without azide - store at -20 to -80 C. Non-hazardous. No MSDS required.
Scientific Data Images for Cytokeratin 14 Antibody (KRT14/4131)
Cytokeratin 14 Antibody (KRT14/4131)
Analysis of Protein Array containing more than 19,000 full-length human proteins using Cytokeratin 14 (KRT14)-Monospecific Mouse Monoclonal Antibody (KRT14/4131).Cytokeratin 14 Antibody (KRT14/4131)
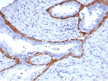
Formalin-fixed, paraffin-embedded human prostate stained with Cytokeratin 14 antibody (KRT14/4131). HIER: Tris/EDTA, pH9.0, 45min. Secondary: HRP-polymer, 30min. DAB, 5min.Applications for Cytokeratin 14 Antibody (KRT14/4131)
Application
Recommended Usage
Immunohistochemistry-Paraffin
1-2 ug/ml
Application Notes
Immunohistochemistry (Formalin-fixed): 1-2ug/ml for 30 minutes. at RT. Staining of formalin-fixed tissues requires heating tissue sections in 10mM Tris with 1mM EDTA, pH 9.0, for 45 min at 95C followed by cooling at RT for 20 minutes.
Optimal dilution for a specific application should be determined.
Optimal dilution for a specific application should be determined.
Formulation, Preparation, and Storage
Purification
Protein A or G purified
Formulation
10mM PBS with 0.05% BSA
Preservative
0.05% Sodium Azide
Concentration
0.2 mg/ml
Shipping
The product is shipped with polar packs. Upon receipt, store it immediately at the temperature recommended below.
Stability & Storage
Store at 4C. Do not freeze.
Background: Cytokeratin 14
Additional Cytokeratin 14 Products
Product Documents for Cytokeratin 14 Antibody (KRT14/4131)
Product Specific Notices for Cytokeratin 14 Antibody (KRT14/4131)
This product is for research use only and is not approved for use in humans or in clinical diagnosis. Primary Antibodies are guaranteed for 1 year from date of receipt.
Loading...
Loading...
Loading...
Loading...