Skip to main content

Cytochrome P450 1A1 Antibody

Novus Biologicals, part of Bio-Techne | Catalog # NBP1-97762

Novus Biologicals, part of Bio-Techne
Catalog #
Availability
Size / Price
Qty
Loading...
NBP1-97762

Key Product Details

Species Reactivity

Human, Mouse, Rat

Applications

Immunohistochemistry-Paraffin, Western Blot, Peptide ELISA, Immunocytochemistry/ Immunofluorescence

Label

Unconjugated

Antibody Source

Polyclonal Goat IgG

Concentration

0.5 mg/ml

Product Specifications

Immunogen

Peptide with sequence C-QDRKLDENANVQLSD corresponding to internal region according to Uniprot Mouse NP_001129531.1.

Specificity

This antibody is not expected to cross-react with the similar P450 1A2

Clonality

Polyclonal

Host

Goat

Isotype

IgG

Scientific Data Images for Cytochrome P450 1A1 Antibody

Western Blot: Cytochrome P450 1A1 Antibody [NBP1-97762]

Western Blot: Cytochrome P450 1A1 Antibody [NBP1-97762]

Western Blot: Cytochrome P450 1A1 Antibody [NBP1-97762] - Staining of Human Lung lysate (35 ug protein in RIPA buffer). Antibody at 0.1 ug/mL. Detected by chemiluminescence.
Immunocytochemistry/ Immunofluorescence: Cytochrome P450 1A1 Antibody [NBP1-97762]

Immunocytochemistry/ Immunofluorescence: Cytochrome P450 1A1 Antibody [NBP1-97762]

Immunocytochemistry/Immunofluorescence: Cytochrome P450 1A1 Antibody [NBP1-97762] - Immunofluorescence analysis of paraformaldehyde fixed NIH3T3 cells, permeabilized with 0.15% Triton. Primary incubation 1hr (10 ug/mL) followed by Alexa Fluor 488 secondary antibody (2 ug/mL), showing endoplasmic reticulum and cytoplasmic staining. The nuclear stain is DAPI (blue). Negative control: Unimmunized goat IgG (10 ug/mL) followed by Alexa Fluor 488 secondary antibody (2 ug/mL).
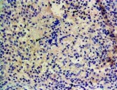
Immunohistochemistry-Paraffin: Cytochrome P450 1A1 Antibody [NBP1-97762]

Immunohistochemistry-Paraffin: Cytochrome P450 1A1 Antibody [NBP1-97762]

Immunohistochemistry-Paraffin: Cytochrome P450 1A1 Antibody [NBP1-97762] - Negative Control showing staining of paraffin embedded Human Tonsil, with no primary antibody.

Applications for Cytochrome P450 1A1 Antibody

Application
Recommended Usage

Immunocytochemistry/ Immunofluorescence

10 ug/mL

Immunohistochemistry-Paraffin

10 ug/mL

Peptide ELISA

Detection limit 1:64000

Western Blot

0.1 - 0.3 ug/mL
Application Notes
WB: Approx. 55 kDa band observed in human and rat lung lysates (calculated MW of 59.2 kDa band according to mouse NP_001129531.1 and 59.4 kDa band according to rat NP_036672.).

Formulation, Preparation, and Storage

Purification

Immunogen affinity purified

Formulation

Tris saline (20 mM Tris pH 7.3, 150 mM NaCl), 0.5% BSA

Preservative

0.02% Sodium Azide

Concentration

0.5 mg/ml

Shipping

The product is shipped with polar packs. Upon receipt, store it immediately at the temperature recommended below.

Stability & Storage

Store at -20C. Avoid freeze-thaw cycles.

Background: Cytochrome P450 1A1

This gene, CYP1A1, encodes a member of the cytochrome P450 superfamily of enzymes. The cytochrome P450 proteins are monooxygenases which catalyze many reactions involved in drug metabolism and synthesis of cholesterol, steroids and other lipids. This protein localizes to the endoplasmic reticulum and its expression is induced by some polycyclic aromatic hydrocarbons (PAHs), some of which are found in cigarette smoke. The enzyme's endogenous substrate is unknown; however, it is able to metabolize some PAHs to carcinogenic intermediates. The gene has been associated with lung cancer risk. A related family member, CYP1A2, is located approximately 25 kb away from CYP1A1 on chromosome 15. [provided by RefSeq]

Long Name

Cytochrome P450 1A1

Alternate Names

CYP1A1, CYPIA1, Cytochrome P450-C, Cytochrome P450-P1

Entrez Gene IDs

1543 (Human); 13076 (Mouse); 24296 (Rat)

Gene Symbol

CYP1A1

Additional Cytochrome P450 1A1 Products

Product Documents for Cytochrome P450 1A1 Antibody

Certificate of Analysis

To download a Certificate of Analysis, please enter a lot number in the search box below.

Product Specific Notices for Cytochrome P450 1A1 Antibody

This product is for research use only and is not approved for use in humans or in clinical diagnosis. Primary Antibodies are guaranteed for 1 year from date of receipt.

Loading...
Loading...
Loading...
Loading...