Skip to main content

Cytochrome P450 1A1 Antibody (6G5) - BSA Free

Novus Biologicals, part of Bio-Techne | Catalog # NBP2-37526

Novus Biologicals, part of Bio-Techne
Catalog #
Availability
Size / Price
Qty
Loading...
NBP2-37526SS
NBP2-37526

Key Product Details

Species Reactivity

Validated:

Human

Cited:

Human

Applications

Validated:

Immunohistochemistry, Immunohistochemistry-Paraffin, Western Blot, ELISA, Simple Western

Cited:

Western Blot

Label

Unconjugated

Antibody Source

Monoclonal Mouse IgG1 Clone # 6G5

Format

BSA Free

Concentration

1 mg/ml

Product Specifications

Immunogen

Purified recombinant fragment of human Cytochrome P450 1A1 expressed in E. Coli.

Clonality

Monoclonal

Host

Mouse

Isotype

IgG1

Theoretical MW

58 kDa.
Disclaimer note: The observed molecular weight of the protein may vary from the listed predicted molecular weight due to post translational modifications, post translation cleavages, relative charges, and other experimental factors.

Scientific Data Images for Cytochrome P450 1A1 Antibody (6G5) - BSA Free

Western Blot: Cytochrome P450 1A1 Antibody (6G5)BSA Free [NBP2-37526]

Western Blot: Cytochrome P450 1A1 Antibody (6G5)BSA Free [NBP2-37526]

Western Blot: Cytochrome P450 1A1 Antibody (6G5) [NBP2-37526] - Analysis using CYP1A1 mAb against human CYP1A1 (AA: 203-461) recombinant protein. (Expected MW is 60 kDa)
Immunohistochemistry-Paraffin: Cytochrome P450 1A1 Antibody (6G5) - BSA Free [NBP2-37526]

Immunohistochemistry-Paraffin: Cytochrome P450 1A1 Antibody (6G5) - BSA Free [NBP2-37526]

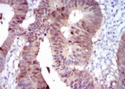
Immunohistochemistry-Paraffin: Cytochrome P450 1A1 Antibody (6G5) [NBP2-37526] - Analysis of rectum cancer tissues using CYP1A1 mouse mAb with DAB staining.
Immunohistochemistry-Paraffin: Cytochrome P450 1A1 Antibody (6G5) - BSA Free [NBP2-37526]

Immunohistochemistry-Paraffin: Cytochrome P450 1A1 Antibody (6G5) - BSA Free [NBP2-37526]

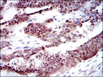
Immunohistochemistry-Paraffin: Cytochrome P450 1A1 Antibody (6G5) [NBP2-37526] - Analysis of ovarian cancer tissues using CYP1A1 mouse mAb with DAB staining.

Applications for Cytochrome P450 1A1 Antibody (6G5) - BSA Free

Application
Recommended Usage

ELISA

1:10000

Immunohistochemistry

1:200 - 1:1000

Simple Western

1:20

Western Blot

1:500 - 1:2000
Application Notes
Use in Simple Western reported by customer review.
See Simple Western Antibody Database for Simple Western validation: Tested in Human foreskin cell lysates, separated by Size, antibody dilution of 1:20

Reviewed Applications

Read 1 review rated 3 using NBP2-37526 in the following applications:

Formulation, Preparation, and Storage

Purification

Protein G purified

Formulation

PBS

Format

BSA Free

Preservative

0.05% Sodium Azide

Concentration

1 mg/ml

Shipping

The product is shipped with polar packs. Upon receipt, store it immediately at the temperature recommended below.

Stability & Storage

Store at 4C short term. Aliquot and store at -20C long term. Avoid freeze-thaw cycles.

Background: Cytochrome P450 1A1

The Cytochrome P450 (P450) superfamily of enzymes is one of three enzyme systems which metabolize the fatty acid arachadonic acid (AA) to regulators of vascular tone. P450 enzymes are monooxygenase enzymes which require several co-factors such as nicotinamide adenine dinucleotide phosphate (NADPH) and P450 reductase. There are over 200 known genes which encode P450s. Epoxygenases are those P450s which metabolize AA to epoxyeicosatrienoic acid (EETs) and omega-hydroxylases are those P450s which produce 19- and 20-hydroxyeicosatetraenoic acids (19- and 20-HETE). As well as fatty acid metabolism, P450s also metabolize many drugs and toxins. Cytochrome P450 3A4 is abundantly expressed in liver and small intestine and is inducible by barbiturates, glucocorticoids and rifampicin.

Long Name

Cytochrome P450 1A1

Alternate Names

CYP1A1, CYPIA1, Cytochrome P450-C, Cytochrome P450-P1

Gene Symbol

CYP1A1

Additional Cytochrome P450 1A1 Products

Product Documents for Cytochrome P450 1A1 Antibody (6G5) - BSA Free

Certificate of Analysis

To download a Certificate of Analysis, please enter a lot number in the search box below.

Product Specific Notices for Cytochrome P450 1A1 Antibody (6G5) - BSA Free

This product is for research use only and is not approved for use in humans or in clinical diagnosis. Primary Antibodies are guaranteed for 1 year from date of receipt.

Loading...
Loading...
Loading...
Loading...