Skip to main content

Cysteine Dioxygenase Type 1 Antibody - BSA Free

Novus Biologicals, part of Bio-Techne | Catalog # NBP3-48055

Novus Biologicals, part of Bio-Techne
Catalog #
Availability
Size / Price
Qty
Loading...
NBP3-48055

Key Product Details

Species Reactivity

Human, Mouse, Rat

Applications

Immunohistochemistry, Western Blot, ELISA, Immunoprecipitation

Label

Unconjugated

Antibody Source

Polyclonal Rabbit IgG

Format

BSA Free

Concentration

Please see the vial label for concentration. If unlisted please contact technical services.

Product Specifications

Immunogen

cysteine dioxygenase, type I. (Uniprot# Q16878)

Clonality

Polyclonal

Host

Rabbit

Isotype

IgG

Theoretical MW

23 kDa.
Disclaimer note: The observed molecular weight of the protein may vary from the listed predicted molecular weight due to post translational modifications, post translation cleavages, relative charges, and other experimental factors.

Description

Novus Biologicals Rabbit Cysteine Dioxygenase Type 1 Antibody - BSA Free (NBP3-48055) is a polyclonal antibody validated for use in IHC, WB, ELISA and IP. All Novus Biologicals antibodies are covered by our 100% guarantee.

Scientific Data Images for Cysteine Dioxygenase Type 1 Antibody - BSA Free

Cysteine Dioxygenase Type 1 Antibody - BSA Free

Immunoprecipitation: Cysteine Dioxygenase Type 1 Antibody - BSA Free [NBP3-48055] -

Immunoprecipitation: Cysteine Dioxygenase Type 1 Antibody - BSA Free [NBP3-48055] - IP Result of anti-Cysteine Dioxygenase Type 1 (IP:, 3ug; Detection: 1:600) with mouse liver tissue lysate 4000ug.
Cysteine Dioxygenase Type 1 Antibody - BSA Free

Western Blot: Cysteine Dioxygenase Type 1 Antibody - BSA Free [NBP3-48055] -

Western Blot: Cysteine Dioxygenase Type 1 Antibody - BSA Free [NBP3-48055] - Mouse liver tissue were subjected to SDS PAGE followed by western blot with (Cysteine Dioxygenase Type 1 antibody) at dilution of 1:600
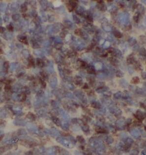
Cysteine Dioxygenase Type 1 Antibody - BSA Free

Immunohistochemistry: Cysteine Dioxygenase Type 1 Antibody - BSA Free [NBP3-48055] -

Immunohistochemistry: Cysteine Dioxygenase Type 1 Antibody - BSA Free [NBP3-48055] - Immunohistochemistry of paraffin-embedded human liver cancer tissue slide using (Cysteine Dioxygenase Type 1 antibody) at dilution of 1:100

Applications for Cysteine Dioxygenase Type 1 Antibody - BSA Free

Application
Recommended Usage

Immunohistochemistry

1:20-1:200

Immunoprecipitation

1:200-1:2000

Western Blot

1:200-1:2000

Formulation, Preparation, and Storage

Purification

Immunogen affinity purified

Formulation

PBS, 50% Glycerol, pH (7.3)

Format

BSA Free

Preservative

0.02% Sodium Azide

Concentration

Please see the vial label for concentration. If unlisted please contact technical services.

Shipping

The product is shipped with polar packs. Upon receipt, store it immediately at the temperature recommended below.

Stability & Storage

Store at -20C. Avoid freeze-thaw cycles.

Background: Cysteine Dioxygenase Type 1

Cysteine Dioxygenase Type 1 is a 23 kDa 200 amino acid protein which has a role in initiating metabolic pathways as well as altering intracellular cysteine and glutathione levels. Cysteine Dioxygenase Type 1 is known to interact with VHL, MAPK14, SPAG9, CSAD and CTH. Cysteine Dioxygenase Type 1 has been studied in relation to breast cancer, cutaneous t cell lymphoma, hepatoblastoma and hepatitis.

Alternate Names

CDO, CDO-I, cysteine dioxygenase type 1, Cysteine dioxygenase type I, cysteine dioxygenase, type I, EC 1.13.11.20

Gene Symbol

CDO1

Additional Cysteine Dioxygenase Type 1 Products

Product Documents for Cysteine Dioxygenase Type 1 Antibody - BSA Free

Certificate of Analysis

To download a Certificate of Analysis, please enter a lot number in the search box below.

Product Specific Notices for Cysteine Dioxygenase Type 1 Antibody - BSA Free

This product is for research use only and is not approved for use in humans or in clinical diagnosis. Primary Antibodies are guaranteed for 1 year from date of receipt.

Loading...
Loading...
Loading...
Loading...