CYP51A1 Antibody - BSA Free
Novus Biologicals, part of Bio-Techne | Catalog # NBP3-35348
Key Product Details
Species Reactivity
Human, Mouse, Rat
Applications
Immunohistochemistry, Immunohistochemistry-Paraffin, Western Blot, ELISA, Immunocytochemistry/ Immunofluorescence
Label
Unconjugated
Antibody Source
Polyclonal Rabbit IgG
Format
BSA Free
Concentration
Please see the vial label for concentration. If unlisted please contact technical services.
Product Specifications
Immunogen
Recombinant fusion protein containing a sequence corresponding to amino acids 245-420 of CYP51A1 (NP_000777.1).
Sequence:
WLLPGWLPLPSFRRRDRAHREIKDIFYKAIQKRRQSQEKIDDILQTLLDATYKDGRPLTDDEVAGMLIGLLLAGQHTSSTTSAWMGFFLARDKTLQKKCYLEQKTVCGENLPPLTYDQLKDLNLLDRCIKETLRLRPPIMIMMRMARTPQTVAGYTIPPGHQVCVSPTVNQRLKDS
Sequence:
WLLPGWLPLPSFRRRDRAHREIKDIFYKAIQKRRQSQEKIDDILQTLLDATYKDGRPLTDDEVAGMLIGLLLAGQHTSSTTSAWMGFFLARDKTLQKKCYLEQKTVCGENLPPLTYDQLKDLNLLDRCIKETLRLRPPIMIMMRMARTPQTVAGYTIPPGHQVCVSPTVNQRLKDS
Clonality
Polyclonal
Host
Rabbit
Isotype
IgG
Theoretical MW
57 kDa.
Disclaimer note: The observed molecular weight of the protein may vary from the listed predicted molecular weight due to post translational modifications, post translation cleavages, relative charges, and other experimental factors.
Disclaimer note: The observed molecular weight of the protein may vary from the listed predicted molecular weight due to post translational modifications, post translation cleavages, relative charges, and other experimental factors.
Description
Novus Biologicals Rabbit CYP51A1 Antibody - BSA Free (NBP3-35348) is a polyclonal antibody validated for use in IHC, WB, ELISA and ICC/IF. All Novus Biologicals antibodies are covered by our 100% guarantee.
Scientific Data Images for CYP51A1 Antibody - BSA Free
Immunocytochemistry/ Immunofluorescence: CYP51A1 Antibody [NBP3-35348] -
Immunocytochemistry/ Immunofluorescence: CYP51A1 Antibody [NBP3-35348] - Immunofluorescence analysis of L929 cells using CYP51A1 Rabbit pAb at dilution of 100 (40x lens). Secondary antibody: Cy3-conjugated Goat anti-Rabbit IgG (H+L) at 1:500 dilution. Blue: DAPI for nuclear staining.Immunohistochemistry: CYP51A1 Antibody [NBP3-35348] -
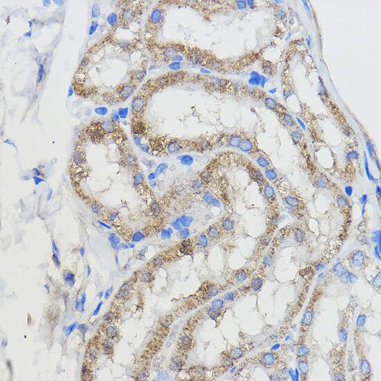
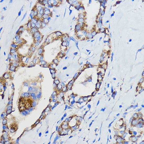
Immunohistochemistry: CYP51A1 Antibody [NBP3-35348] - Immunohistochemistry analysis of paraffin-embedded Mouse kidney using CYP51A1 Rabbit pAb at dilution of 1:50 (40x lens). Microwave antigen retrieval performed with 0.01M PBS Buffer (pH 7.2) prior to IHC staining.Immunohistochemistry: CYP51A1 Antibody [NBP3-35348] -
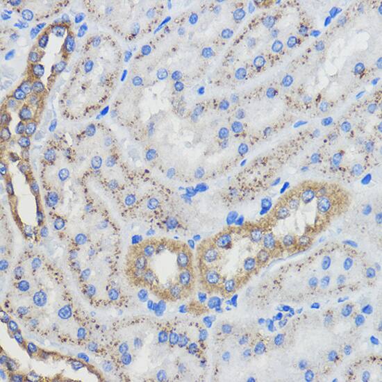
Immunohistochemistry: CYP51A1 Antibody [NBP3-35348] - Immunohistochemistry analysis of paraffin-embedded Rat kidney using CYP51A1 Rabbit pAb at dilution of 1:50 (40x lens). Microwave antigen retrieval performed with 0.01M PBS Buffer (pH 7.2) prior to IHC staining.Applications for CYP51A1 Antibody - BSA Free
Application
Recommended Usage
Immunocytochemistry/ Immunofluorescence
1:50 - 1:200
Immunohistochemistry-Paraffin
1:50 - 1:200
Western Blot
1:500 - 1:2000
Formulation, Preparation, and Storage
Purification
Affinity purified
Formulation
PBS (pH 7.3), 50% glycerol
Format
BSA Free
Preservative
0.02% Sodium Azide
Concentration
Please see the vial label for concentration. If unlisted please contact technical services.
Shipping
The product is shipped with polar packs. Upon receipt, store it immediately at the temperature recommended below.
Stability & Storage
Store at -20C. Avoid freeze-thaw cycles.
Background: CYP51A1
Long Name
Lanosterol 14-alpha demethylase
Alternate Names
CYP51, CYPLI, Cytochrome P45014DM, Cytochrome P450LI, EC 1.14.14.154, LDM
Gene Symbol
CYP51A1
Additional CYP51A1 Products
Product Documents for CYP51A1 Antibody - BSA Free
Product Specific Notices for CYP51A1 Antibody - BSA Free
This product is for research use only and is not approved for use in humans or in clinical diagnosis. Primary Antibodies are guaranteed for 1 year from date of receipt.
Loading...
Loading...
Loading...
Loading...