CYP26C1 Antibody (T6P1C7*E7) - BSA Free
Novus Biologicals, part of Bio-Techne | Catalog # NBP2-50196
Conjugate
Catalog #
Key Product Details
Species Reactivity
Human, Mouse, Rat
Applications
Immunohistochemistry, Western Blot
Label
Unconjugated
Antibody Source
Monoclonal Mouse IgG1 kappa Clone # T6P1C7*E7
Format
BSA Free
Concentration
1 mg/ml
Product Specifications
Immunogen
Ovalbumin-conjugated synthetic peptide RWELATPAFP (C-terminal sequence)
Clonality
Monoclonal
Host
Mouse
Isotype
IgG1 kappa
Description
The clone number is listed as T6P1C7*E7 in the scientific literature.
Scientific Data Images for CYP26C1 Antibody (T6P1C7*E7) - BSA Free
Western Blot: CYP26C1 Antibody (T6P1C7/E7) [NBP2-50196]
Immunohistochemistry: CYP26C1 Antibody (T6P1C7*E7) - BSA Free [NBP2-50196]
Immunohistochemistry: CYP26C1 Antibody (T6P1C7-E7) [NBP2-50196] - CYP26 IHCsImmunohistochemistry: CYP26C1 Antibody (T6P1C7*E7) - BSA Free [NBP2-50196]
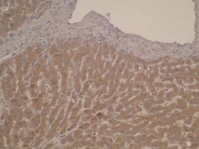
Immunohistochemistry: CYP26C1 Antibody (T6P1C7-E7) [NBP2-50196] - Anaylsis of CYP26C1 in normal liver tissue.Applications for CYP26C1 Antibody (T6P1C7*E7) - BSA Free
Application
Recommended Usage
Immunohistochemistry
1:10 - 1:500
Western Blot
1:100 - 1:2000
Application Notes
Positive control(s): IHC: formalin-fixed, paraffin-embedded human liver sections. Western blot: overexpression lysates. The clone number is listed as T6P1C7*E7 in the scientific literature.
Formulation, Preparation, and Storage
Purification
Protein A purified
Formulation
PBS
Format
BSA Free
Preservative
0.02% Sodium Azide
Concentration
1 mg/ml
Shipping
The product is shipped with polar packs. Upon receipt, store it immediately at the temperature recommended below.
Stability & Storage
Store at 4C short term. Aliquot and store at -20C long term. Avoid freeze-thaw cycles.
Background: CYP26C1
Alternate Names
cytochrome P450 26C1, cytochrome P450, family 26, subfamily C, polypeptide 1, EC 1.14, FLJ45301
Gene Symbol
CYP26C1
Additional CYP26C1 Products
Product Documents for CYP26C1 Antibody (T6P1C7*E7) - BSA Free
Product Specific Notices for CYP26C1 Antibody (T6P1C7*E7) - BSA Free
This product is for research use only and is not approved for use in humans or in clinical diagnosis. Primary Antibodies are guaranteed for 1 year from date of receipt.
Loading...
Loading...
Loading...
Loading...