Skip to main content

Cyclin G Antibody - BSA Free

Novus Biologicals, part of Bio-Techne | Catalog # NBP3-48072

Novus Biologicals, part of Bio-Techne
Catalog #
Availability
Size / Price
Qty
Loading...
NBP3-48072

Key Product Details

Species Reactivity

Human, Mouse, Rat

Applications

Immunohistochemistry, Western Blot, ELISA

Label

Unconjugated

Antibody Source

Polyclonal Rabbit IgG

Format

BSA Free

Concentration

Please see the vial label for concentration. If unlisted please contact technical services.

Product Specifications

Immunogen

cyclin G1. (Uniprot# P51959)

Clonality

Polyclonal

Host

Rabbit

Isotype

IgG

Theoretical MW

34 kDa.
Disclaimer note: The observed molecular weight of the protein may vary from the listed predicted molecular weight due to post translational modifications, post translation cleavages, relative charges, and other experimental factors.

Description

Novus Biologicals Rabbit Cyclin G Antibody - BSA Free (NBP3-48072) is a polyclonal antibody validated for use in IHC, WB and ELISA. All Novus Biologicals antibodies are covered by our 100% guarantee.

Scientific Data Images for Cyclin G Antibody - BSA Free

Cyclin G Antibody - BSA Free

Western Blot: Cyclin G Antibody - BSA Free [NBP3-48072] -

Western Blot: Cyclin G Antibody - BSA Free [NBP3-48072] - Jurkat cells were subjected to SDS PAGE followed by western blot with (Cyclin G antibody) at dilution of 1:1000
Cyclin G Antibody - BSA Free

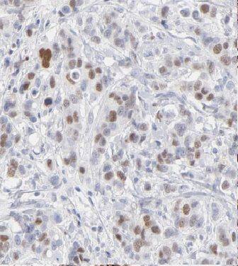
Immunohistochemistry: Cyclin G Antibody - BSA Free [NBP3-48072] -

Immunohistochemistry: Cyclin G Antibody - BSA Free [NBP3-48072] - Immunohistochemistry of paraffin-embedded human breast cancer using (Cyclin G antibody) at dilution of 1:100

Applications for Cyclin G Antibody - BSA Free

Application
Recommended Usage

Immunohistochemistry

1:20-1:200

Western Blot

1:500-1:2000

Formulation, Preparation, and Storage

Purification

Immunogen affinity purified

Formulation

PBS, 50% Glycerol, pH (7.3)

Format

BSA Free

Preservative

0.02% Sodium Azide

Concentration

Please see the vial label for concentration. If unlisted please contact technical services.

Shipping

The product is shipped with polar packs. Upon receipt, store it immediately at the temperature recommended below.

Stability & Storage

Store at -20C. Avoid freeze-thaw cycles.

Background: Cyclin G

Alternate Names

CCNG, CYCG1, cyclin G1, Cyclin-G, cyclin-G1

Gene Symbol

CCNG1

Additional Cyclin G Products

Product Documents for Cyclin G Antibody - BSA Free

Certificate of Analysis

To download a Certificate of Analysis, please enter a lot number in the search box below.

Product Specific Notices for Cyclin G Antibody - BSA Free

This product is for research use only and is not approved for use in humans or in clinical diagnosis. Primary Antibodies are guaranteed for 1 year from date of receipt.

Loading...
Loading...
Loading...
Loading...