Skip to main content

Cyclin G Antibody - BSA Free

Novus Biologicals, part of Bio-Techne | Catalog # NBP2-92649

Novus Biologicals, part of Bio-Techne
Catalog #
Availability
Size / Price
Qty
Loading...
NBP2-92649-0.02ml
NBP2-92649-0.1ml

Key Product Details

Species Reactivity

Human, Mouse, Rat

Applications

Immunohistochemistry, Immunohistochemistry-Paraffin, Western Blot

Label

Unconjugated

Antibody Source

Polyclonal Rabbit IgG

Format

BSA Free

Concentration

Please see the vial label for concentration. If unlisted please contact technical services.

Product Specifications

Immunogen

A synthetic peptide corresponding to a sequence within amino acids 200-295 of human Cyclin G (NP_004051.1). PSVLALSIIALEIQAQKCVELTEGIECLQKHSKINGRDLTFWQELVSKCLTEYSSNKCSKPNVQKLKWIVSGRTARQLKHSYYRITHLPTIPEMVP

Clonality

Polyclonal

Host

Rabbit

Isotype

IgG

Description

Novus Biologicals Rabbit Cyclin G Antibody - BSA Free (NBP2-92649) is a polyclonal antibody validated for use in IHC and WB. All Novus Biologicals antibodies are covered by our 100% guarantee.

Scientific Data Images for Cyclin G Antibody - BSA Free

Western Blot: Cyclin G AntibodyBSA Free [NBP2-92649]

Western Blot: Cyclin G AntibodyBSA Free [NBP2-92649]

Western Blot: Cyclin G Antibody [NBP2-92649] - Analysis of extracts of various cell lines, using Cyclin G1 antibody at 1:1000 dilution.Secondary antibody: HRP Goat Anti-Rabbit IgG (H+L) at 1:10000 dilution.Lysates/proteins: 25ug per lane. Blocking buffer: 3% nonfat dry milk in TBST.Detection: ECL Basic Kit. Exposure time: 180s.
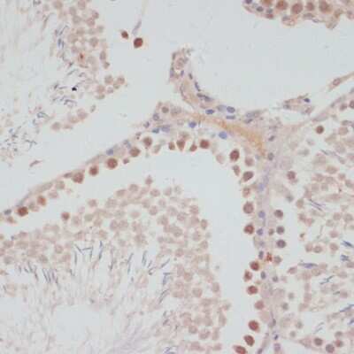
Immunohistochemistry-Paraffin: Cyclin G Antibody - BSA Free [NBP2-92649]

Immunohistochemistry-Paraffin: Cyclin G Antibody - BSA Free [NBP2-92649]

Immunohistochemistry-Paraffin: Cyclin G Antibody [NBP2-92649] - Rat testis using Cyclin G1 antibody at dilution of 1:100 (40x lens).
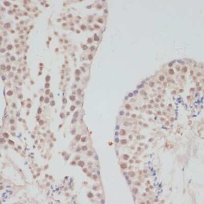
Immunohistochemistry-Paraffin: Cyclin G Antibody - BSA Free [NBP2-92649]

Immunohistochemistry-Paraffin: Cyclin G Antibody - BSA Free [NBP2-92649]

Immunohistochemistry-Paraffin: Cyclin G Antibody [NBP2-92649] - Mouse testis using Cyclin G .mouse testis using Cyclin G1 antibody at dilution of 1:100 (40x lens).

Applications for Cyclin G Antibody - BSA Free

Application
Recommended Usage

Immunohistochemistry

1:50 - 1:200

Western Blot

1:500 - 1:1000

Formulation, Preparation, and Storage

Purification

Affinity purified

Formulation

PBS (pH 7.3), 50% glycerol

Format

BSA Free

Preservative

0.02% Sodium Azide

Concentration

Please see the vial label for concentration. If unlisted please contact technical services.

Shipping

The product is shipped with polar packs. Upon receipt, store it immediately at the temperature recommended below.

Stability & Storage

Store at -20C. Avoid freeze-thaw cycles.

Background: Cyclin G

Alternate Names

CCNG, CYCG1, cyclin G1, Cyclin-G, cyclin-G1

Gene Symbol

CCNG1

Additional Cyclin G Products

Product Documents for Cyclin G Antibody - BSA Free

Certificate of Analysis

To download a Certificate of Analysis, please enter a lot number in the search box below.

Product Specific Notices for Cyclin G Antibody - BSA Free

This product is for research use only and is not approved for use in humans or in clinical diagnosis. Primary Antibodies are guaranteed for 1 year from date of receipt.

Loading...
Loading...
Loading...
Loading...