Skip to main content

CYB561 Antibody - BSA Free

Novus Biologicals, part of Bio-Techne | Catalog # NBP1-83422

Novus Biologicals, part of Bio-Techne
Catalog #
Availability
Size / Price
Qty
Loading...
NBP1-83422
NBP1-83422-25ul

Key Product Details

Species Reactivity

Validated:

Human

Predicted:

Mouse (96%), Rat (93%). Backed by our 100% Guarantee.

Applications

Immunohistochemistry, Immunohistochemistry-Paraffin

Label

Unconjugated

Antibody Source

Polyclonal Rabbit IgG

Format

BSA Free

Concentration

Concentrations vary lot to lot. See vial label for concentration. If unlisted please contact technical services.

Product Specifications

Immunogen

This antibody was developed against Recombinant Protein corresponding to amino acids: RADWKRPSQAEEQALSMDFKTLTEGDS

Clonality

Polyclonal

Host

Rabbit

Isotype

IgG

Scientific Data Images for CYB561 Antibody - BSA Free

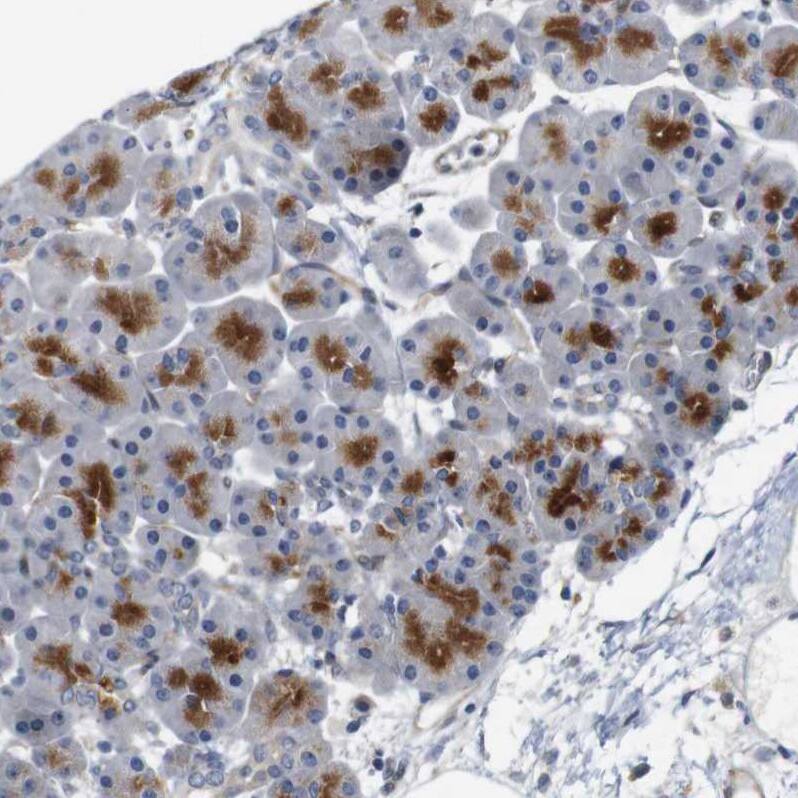
CYB561 Antibody - BSA Free Immunohistochemistry-Paraffin: CYB561 Antibody - BSA Free [NBP1-83422]

Immunohistochemistry-Paraffin: CYB561 Antibody - BSA Free [NBP1-83422]

Staining of human pancreas shows moderate cytoplasmic positivity in exocrine glandular cells.
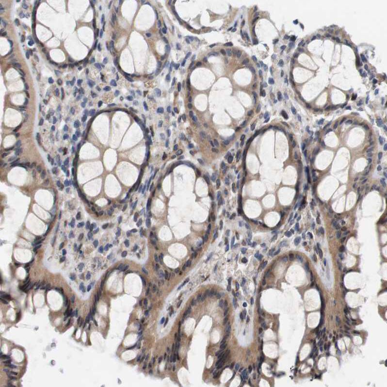
CYB561 Antibody - BSA Free Immunohistochemistry-Paraffin: CYB561 Antibody - BSA Free [NBP1-83422]

Immunohistochemistry-Paraffin: CYB561 Antibody - BSA Free [NBP1-83422]

Staining of human colon shows weak cytoplasmic positivity in glandular cells.
CYB561 Antibody - BSA Free Immunohistochemistry-Paraffin: CYB561 Antibody - BSA Free [NBP1-83422]

Immunohistochemistry-Paraffin: CYB561 Antibody - BSA Free [NBP1-83422]

Staining of human prostate shows moderate cytoplasmic positivity in glandular cells.

Applications for CYB561 Antibody - BSA Free

Application
Recommended Usage

Immunohistochemistry

1:50 - 1:200

Immunohistochemistry-Paraffin

1:50 - 1:200
Application Notes
For IHC-Paraffin, HIER pH 6 retrieval is recommended.

Formulation, Preparation, and Storage

Purification

Affinity purified

Formulation

PBS (pH 7.2) and 40% Glycerol

Format

BSA Free

Preservative

0.02% Sodium Azide

Concentration

Concentrations vary lot to lot. See vial label for concentration. If unlisted please contact technical services.

Shipping

The product is shipped with polar packs. Upon receipt, store it immediately at the temperature recommended below.

Stability & Storage

Store at 4C short term. Aliquot and store at -20C long term. Avoid freeze-thaw cycles.

Background: CYB561

Secretory vesicle-specific electron transport protein

Alternate Names

cytochrome b561, cytochrome b-561FRRS2, ferric-chelate reductase 2

Gene Symbol

CYB561

Additional CYB561 Products

Product Documents for CYB561 Antibody - BSA Free

Certificate of Analysis

To download a Certificate of Analysis, please enter a lot number in the search box below.

Product Specific Notices for CYB561 Antibody - BSA Free

This product is for research use only and is not approved for use in humans or in clinical diagnosis. Primary Antibodies are guaranteed for 1 year from date of receipt.

Loading...
Loading...
Loading...
Loading...