Skip to main content

CUTC Antibody - BSA Free

Novus Biologicals, part of Bio-Techne | Catalog # NBP3-48084

Novus Biologicals, part of Bio-Techne
Catalog #
Availability
Size / Price
Qty
Loading...
NBP3-48084

Key Product Details

Species Reactivity

Human, Mouse, Rat

Applications

Immunohistochemistry, Western Blot, ELISA

Label

Unconjugated

Antibody Source

Polyclonal Rabbit IgG

Format

BSA Free

Concentration

Please see the vial label for concentration. If unlisted please contact technical services.

Product Specifications

Immunogen

cutC copper transporter homolog(E. coli). (Uniprot# Q9NTM9)

Clonality

Polyclonal

Host

Rabbit

Isotype

IgG

Theoretical MW

29 kDa.
Disclaimer note: The observed molecular weight of the protein may vary from the listed predicted molecular weight due to post translational modifications, post translation cleavages, relative charges, and other experimental factors.

Description

Novus Biologicals Rabbit CUTC Antibody - BSA Free (NBP3-48084) is a polyclonal antibody validated for use in IHC, WB and ELISA. All Novus Biologicals antibodies are covered by our 100% guarantee.

Scientific Data Images for CUTC Antibody - BSA Free

CUTC Antibody - BSA Free

Western Blot: CUTC Antibody - BSA Free [NBP3-48084] -

Western Blot: CUTC Antibody - BSA Free [NBP3-48084] - HeLa cells were subjected to SDS PAGE followed by western blot with (CUTC antibody) at dilution of 1:500
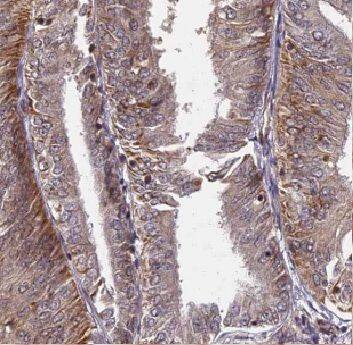
CUTC Antibody - BSA Free

Immunohistochemistry: CUTC Antibody - BSA Free [NBP3-48084] -

Immunohistochemistry: CUTC Antibody - BSA Free [NBP3-48084] - Immunohistochemistry of paraffin-embedded human endometrial cancer using (CUTC antibody) at dilution of 1:100

Applications for CUTC Antibody - BSA Free

Application
Recommended Usage

Immunohistochemistry

1:20-1:200

Western Blot

1:500-1:2000

Formulation, Preparation, and Storage

Purification

Immunogen affinity purified

Formulation

PBS, 50% Glycerol, pH (7.3)

Format

BSA Free

Preservative

0.02% Sodium Azide

Concentration

Please see the vial label for concentration. If unlisted please contact technical services.

Shipping

The product is shipped with polar packs. Upon receipt, store it immediately at the temperature recommended below.

Stability & Storage

Store at -20C. Avoid freeze-thaw cycles.

Background: CUTC

Members of the CUT family of copper transporters are associated with copper homeostasis and are involved in the uptake, storage, delivery, and efflux of copper (Gupta et al., 1995 [PubMed 7635807]; Li et al., 2005 [PubMed 16182249]).[supplied by OMIM]

Alternate Names

CGI-32, copper homeostasis protein cutC homolog, cutC copper transporter homolog (E. coli), RP11-483F11.3

Gene Symbol

CUTC

Additional CUTC Products

Product Documents for CUTC Antibody - BSA Free

Certificate of Analysis

To download a Certificate of Analysis, please enter a lot number in the search box below.

Product Specific Notices for CUTC Antibody - BSA Free

This product is for research use only and is not approved for use in humans or in clinical diagnosis. Primary Antibodies are guaranteed for 1 year from date of receipt.

Loading...
Loading...
Loading...
Loading...