CSMD3 Antibody - BSA Free
Novus Biologicals, part of Bio-Techne | Catalog # NBP1-86371
Key Product Details
Species Reactivity
Validated:
Human
Predicted:
Mouse (94%). Backed by our 100% Guarantee.
Applications
Immunohistochemistry, Immunohistochemistry-Paraffin
Label
Unconjugated
Antibody Source
Polyclonal Rabbit IgG
Format
BSA Free
Concentration
Concentrations vary lot to lot. See vial label for concentration. If unlisted please contact technical services.
Product Specifications
Immunogen
This antibody was developed against Recombinant Protein corresponding to amino acids: IPANGLRYGDDYVVGQNVSYMCQPGYTMELNGSRIRTCTINGTWSGVMPTCRAVTCPTPPQISNGRLEGTNFDWGFSISYICSPGYELSFPAVLTCVGN
Clonality
Polyclonal
Host
Rabbit
Isotype
IgG
Scientific Data Images for CSMD3 Antibody - BSA Free
Immunohistochemistry-Paraffin: CSMD3 Antibody [NBP1-86371]
Immunohistochemistry-Paraffin: CSMD3 Antibody [NBP1-86371] - Staining of human testis shows moderate membranous positivity in cells in seminiferous ducts.Immunohistochemistry-Paraffin: CSMD3 Antibody [NBP1-86371]
Immunohistochemistry-Paraffin: CSMD3 Antibody [NBP1-86371] - Staining of human prostate shows moderate membranous positivity in glandular cells.Immunohistochemistry-Paraffin: CSMD3 Antibody [NBP1-86371]
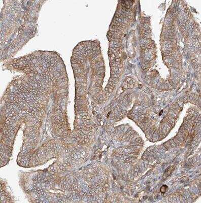
Immunohistochemistry-Paraffin: CSMD3 Antibody [NBP1-86371] - Staining of human Fallopian tube shows moderate membranous positivity in glandular cells.Applications for CSMD3 Antibody - BSA Free
Application
Recommended Usage
Immunohistochemistry
1:50 - 1:200
Immunohistochemistry-Paraffin
1:50 - 1:200
Application Notes
For IHC-Paraffin, HIER pH 6 retrieval is recommended.
Formulation, Preparation, and Storage
Purification
Affinity purified
Formulation
PBS (pH 7.2) and 40% Glycerol
Format
BSA Free
Preservative
0.02% Sodium Azide
Concentration
Concentrations vary lot to lot. See vial label for concentration. If unlisted please contact technical services.
Shipping
The product is shipped with polar packs. Upon receipt, store it immediately at the temperature recommended below.
Stability & Storage
Store at 4C short term. Aliquot and store at -20C long term. Avoid freeze-thaw cycles.
Background: CSMD3
Long Name
CUB And Sushi Multiple Domains 3
Alternate Names
CSMD-3, KIAA1894
Gene Symbol
CSMD3
Additional CSMD3 Products
Product Documents for CSMD3 Antibody - BSA Free
Product Specific Notices for CSMD3 Antibody - BSA Free
This product is for research use only and is not approved for use in humans or in clinical diagnosis. Primary Antibodies are guaranteed for 1 year from date of receipt.
Loading...
Loading...
Loading...
Loading...