Skip to main content

CSK Antibody (3A3) - Azide and BSA Free

Novus Biologicals, part of Bio-Techne | Catalog # H00001445-M01

Novus Biologicals, part of Bio-Techne
Catalog #
Availability
Size / Price
Qty
Loading...
H00001445-M01

Key Product Details

Species Reactivity

Human

Applications

Immunohistochemistry, Immunohistochemistry-Paraffin, Western Blot, ELISA, Immunoprecipitation, Knockdown Validated

Label

Unconjugated

Antibody Source

Monoclonal Mouse IgG1 kappa Clone # 3A3

Format

Azide and BSA Free

Concentration

Concentrations vary lot to lot. See vial label for concentration. If unlisted please contact technical services.

Product Specifications

Immunogen

CSK (NP_004374, 1 a.a. ~ 100 a.a) partial recombinant protein with GST tag. MW of the GST tag alone is 26 KDa. MSAIQAAWPSGTECIAKYNFHGTAEQDLPFCKGDVLTIVAVTKDPNWYKAKNKVGREGIIPANYVQKREGVKAGTKLSLMPWFHGKITREQAERLLYPPE

Specificity

CSK - c-src tyrosine kinase

Clonality

Monoclonal

Host

Mouse

Isotype

IgG1 kappa

Description

Quality control test: Antibody Reactive Against Recombinant Protein.

Scientific Data Images for CSK Antibody (3A3) - Azide and BSA Free

Western Blot: CSK Antibody (3A3) [H00001445-M01]

Western Blot: CSK Antibody (3A3) [H00001445-M01]

Western Blot: CSK Antibody (3A3) [H00001445-M01] - Analysis of CSK expression in transfected 293T cell line by CSK monoclonal antibody (M01), clone 3A3.Lane 1: CSK transfected lysate(50.7 KDa).Lane 2: Non-transfected lysate.
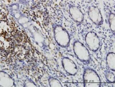
Immunohistochemistry-Paraffin: CSK Antibody (3A3) [H00001445-M01]

Immunohistochemistry-Paraffin: CSK Antibody (3A3) [H00001445-M01]

Immunohistochemistry-Paraffin: CSK Antibody (3A3) [H00001445-M01] - Analysis of monoclonal antibody to CSK on formalin-fixed paraffin-embedded human colon. Antibody concentration 1 ug/ml.
Western Blot: CSK Antibody (3A3) [H00001445-M01]

Western Blot: CSK Antibody (3A3) [H00001445-M01]

Western Blot: CSK Antibody (3A3) [H00001445-M01] - Analysis of CSK over-expressed 293 cell line, cotransfected with CSK Validated Chimera RNAi ( Cat # H00001445-R01V ) (Lane 2) or non-transfected control (Lane 1). Blot probed with CSK monoclonal antibody (M01) clone 3A3 (Cat # H00001445-M01 ). GAPDH ( 36.1 kDa ) used as specificity and loading control.

Applications for CSK Antibody (3A3) - Azide and BSA Free

Application
Recommended Usage

Western Blot

1:500
Application Notes
Antibody reactivity against cell lysate and recombinant protein for WB. It has also been used for IHC-P, RNAi Validation and ELISA.

Formulation, Preparation, and Storage

Purification

IgG purified

Formulation

In 1x PBS, pH 7.4

Format

Azide and BSA Free

Preservative

No Preservative

Concentration

Concentrations vary lot to lot. See vial label for concentration. If unlisted please contact technical services.

Shipping

The product is shipped with polar packs. Upon receipt, store it immediately at the temperature recommended below.

Stability & Storage

Aliquot and store at -20C or -80C. Avoid freeze-thaw cycles.

Background: CSK

Specifically phosphorylates 'Tyr-504' on LCK, which acts as a negative regulatory site. Can also act on theLYN and FYN kinases

Long Name

Tyrosine-protein kinase CSK

Alternate Names

C-Src kinase

Entrez Gene IDs

1445 (Human)

Gene Symbol

CSK

OMIM

124095 (Human)

Additional CSK Products

Product Documents for CSK Antibody (3A3) - Azide and BSA Free

Certificate of Analysis

To download a Certificate of Analysis, please enter a lot number in the search box below.

Product Specific Notices for CSK Antibody (3A3) - Azide and BSA Free

This product is produced by and distributed for Abnova, a company based in Taiwan.

This product is for research use only and is not approved for use in humans or in clinical diagnosis. Primary Antibodies are guaranteed for 1 year from date of receipt.

Loading...
Loading...
Loading...
Loading...