Skip to main content

Creatine kinase MT 1A Antibody - BSA Free

Novus Biologicals, part of Bio-Techne | Catalog # NBP3-47596

Novus Biologicals, part of Bio-Techne
Catalog #
Availability
Size / Price
Qty
Loading...
NBP3-47596

Key Product Details

Species Reactivity

Human, Mouse, Rat

Applications

Immunohistochemistry, Western Blot, ELISA, Immunoprecipitation

Label

Unconjugated

Antibody Source

Polyclonal Rabbit IgG

Format

BSA Free

Concentration

Please see the vial label for concentration. If unlisted please contact technical services.

Product Specifications

Immunogen

creatine kinase, mitochondrial 1A. (Uniprot# P12532)

Clonality

Polyclonal

Host

Rabbit

Isotype

IgG

Theoretical MW

45 kDa.
Disclaimer note: The observed molecular weight of the protein may vary from the listed predicted molecular weight due to post translational modifications, post translation cleavages, relative charges, and other experimental factors.

Description

Novus Biologicals Rabbit Creatine kinase MT 1A Antibody - BSA Free (NBP3-47596) is a polyclonal antibody validated for use in IHC, WB, ELISA and IP. All Novus Biologicals antibodies are covered by our 100% guarantee.

Scientific Data Images for Creatine kinase MT 1A Antibody - BSA Free

Creatine kinase MT 1A Antibody - BSA Free

Immunoprecipitation: Creatine kinase MT 1A Antibody - BSA Free [NBP3-47596] -

Immunoprecipitation: Creatine kinase MT 1A Antibody - BSA Free [NBP3-47596] - IP Result of anti-Creatine kinase MT 1A (IP:, 4ug; Detection: 1:1000) with mouse heart tissue lysate 3200ug.
Creatine kinase MT 1A Antibody - BSA Free

Western Blot: Creatine kinase MT 1A Antibody - BSA Free [NBP3-47596] -

Western Blot: Creatine kinase MT 1A Antibody - BSA Free [NBP3-47596] - Rat heart tissue were subjected to SDS PAGE followed by western blot with (Creatine kinase MT 1A Antibody) at dilution of 1:1500
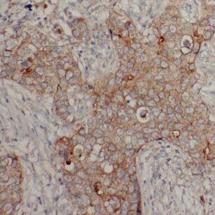
Creatine kinase MT 1A Antibody - BSA Free

Immunohistochemistry: Creatine kinase MT 1A Antibody - BSA Free [NBP3-47596] -

Immunohistochemistry: Creatine kinase MT 1A Antibody - BSA Free [NBP3-47596] - Immunohistochemistry of paraffin-embedded human breast cancer using (Creatine kinase MT 1A antibody) at dilution of 1:50

Applications for Creatine kinase MT 1A Antibody - BSA Free

Application
Recommended Usage

Immunohistochemistry

1:20-1:200

Immunoprecipitation

1:200-1:1000

Western Blot

1:500-1:2000

Formulation, Preparation, and Storage

Purification

Immunogen affinity purified

Formulation

PBS, 50% Glycerol, pH (7.3)

Format

BSA Free

Preservative

0.02% Sodium Azide

Concentration

Please see the vial label for concentration. If unlisted please contact technical services.

Shipping

The product is shipped with polar packs. Upon receipt, store it immediately at the temperature recommended below.

Stability & Storage

Store at -20C. Avoid freeze-thaw cycles.

Background: Creatine kinase MT 1A

Mitochondrial creatine (MtCK) kinase is responsible for the transfer of high energy phosphate from mitochondria to the cytosolic carrier, creatine. It belongs to the creatine kinase isoenzyme family. It exists as two isoenzymes, sarcomeric MtCK and ubiquitous MtCK, encoded by separate genes. Mitochondrial creatine kinase occurs in two different oligomeric forms: dimers and octamers, in contrast to the exclusively dimeric cytosolic creatine kinase isoenzymes. Many malignant cancers with poor prognosis have shown overexpression of ubiquitous mitochondrial creatine kinase; this may be related to high energy turnover and failure to eliminate cancer cells via apoptosis. Ubiquitous mitochondrial creatine kinase has 80% homology with the coding exons of sarcomeric mitochondrial creatine kinase. Two genes located near each other on chromosome 15 have been identified which encode identical mitochondrial creatine kinase proteins. [provided by RefSeq]

Alternate Names

Acidic-Type Mitochondrial Creatine Kinase, CKMT, CKMT1, CKMT1A, Creatine Kinase U-Type, Mitochondrial, Creatine Kinase, Mitochondrial 1 (Ubiquitous), Creatine Kinase, Mitochondrial 1A, EC 2.7.3.2, Mia-CK, Ubiquitous Mitochondrial Creatine Kinase, U-MtCK

Gene Symbol

CKMT1A

Additional Creatine kinase MT 1A Products

Product Documents for Creatine kinase MT 1A Antibody - BSA Free

Certificate of Analysis

To download a Certificate of Analysis, please enter a lot number in the search box below.

Product Specific Notices for Creatine kinase MT 1A Antibody - BSA Free

This product is for research use only and is not approved for use in humans or in clinical diagnosis. Primary Antibodies are guaranteed for 1 year from date of receipt.

Loading...
Loading...
Loading...
Loading...