Skip to main content

Creatine Kinase BB Antibody (CKBB/8843R) - Azide and BSA Free

Novus Biologicals, part of Bio-Techne | Catalog # NBP3-49607

Recombinant Monoclonal Antibody
Novus Biologicals, part of Bio-Techne
Catalog #
Availability
Size / Price
Qty
Loading...
NBP3-49607

Key Product Details

Species Reactivity

Human

Applications

Immunohistochemistry, Western Blot

Label

Unconjugated

Antibody Source

Recombinant Monoclonal Rabbit IgG Kappa Clone # CKBB/8843R

Format

Azide and BSA Free

Concentration

Please see the vial label for concentration. If unlisted please contact technical services.

Product Specifications

Immunogen

Recombinant human full-length CKB protein (Uniprot: P12277)

Localization

Cytoplasm

Specificity

This antibody recognizes the CKBB isoenzyme and does not react with the B subunit in CKMB.

Clonality

Monoclonal

Host

Rabbit

Isotype

IgG Kappa

Theoretical MW

42 kDa.
Disclaimer note: The observed molecular weight of the protein may vary from the listed predicted molecular weight due to post translational modifications, post translation cleavages, relative charges, and other experimental factors.

Description

Prepared in 10mM PBS WITHOUT BSA & azide at 1.0mg/ml. Also available with 0.05% BSA & 0.05% azide.

Antibody with azide - store at 2 to 8 C. Antibody without azide - store at -20 to -80 C. Antibody is stable for 24 months. Non-hazardous.

Scientific Data Images for Creatine Kinase BB Antibody (CKBB/8843R) - Azide and BSA Free

Creatine Kinase BB Antibody (CKBB/8843R) - Azide and BSA Free

Western Blot: Creatine Kinase BB Antibody (CKBB/8843R) - Azide and BSA Free [NBP3-49607] -

Western blot analysis of Y79 cell lysate using Creatine Kinase BB Antibody (CKBB/8843R) - Azide and BSA Free.
Creatine Kinase BB Antibody (CKBB/8843R) - Azide and BSA Free

Western Blot: Creatine Kinase BB Antibody (CKBB/8843R) - Azide and BSA Free [NBP3-49607] -

Western Blot Analysis of HEK293T, Y79 cell lysate using Creatine Kinase BB Antibody (CKBB/8843R) - Azide and BSA Free.
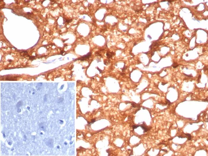
Creatine Kinase BB Antibody (CKBB/8843R) - Azide and BSA Free

Immunohistochemistry-Paraffin: Creatine Kinase BB Antibody (CKBB/8843R) - Azide and BSA Free [NBP3-49607] -

Formalin-fixed, paraffin-embedded human brain stained with Creatine Kinase BB Antibody (CKBB/8843R) - Azide and BSA Free. Inset: PBS instead of primary antibody; secondary only negative control.

Applications for Creatine Kinase BB Antibody (CKBB/8843R) - Azide and BSA Free

Application
Recommended Usage

Immunohistochemistry

Optimal dilutions of this antibody should be experimentally determined.

Western Blot

Optimal dilutions of this antibody should be experimentally determined.

Formulation, Preparation, and Storage

Purification

Protein A or G purified

Formulation

10 mM PBS

Format

Azide and BSA Free

Preservative

No Preservative

Concentration

Please see the vial label for concentration. If unlisted please contact technical services.

Shipping

The product is shipped with polar packs. Upon receipt, store it immediately at the temperature recommended below.

Stability & Storage

Store at -20 to -80C. Avoid freeze-thaw cycles.

Product Documents for Creatine Kinase BB Antibody (CKBB/8843R) - Azide and BSA Free

Certificate of Analysis

To download a Certificate of Analysis, please enter a lot number in the search box below.

Product Specific Notices for Creatine Kinase BB Antibody (CKBB/8843R) - Azide and BSA Free

This product is for research use only and is not approved for use in humans or in clinical diagnosis. Primary Antibodies are guaranteed for 1 year from date of receipt.

Loading...
Loading...
Loading...
Loading...