Skip to main content

COX8C Antibody - BSA Free

Novus Biologicals, part of Bio-Techne | Catalog # NBP1-84400

Novus Biologicals, part of Bio-Techne
Catalog #
Availability
Size / Price
Qty
Loading...
NBP1-84400

Key Product Details

Species Reactivity

Human

Applications

Immunohistochemistry, Immunohistochemistry-Paraffin, Western Blot

Label

Unconjugated

Antibody Source

Polyclonal Rabbit IgG

Format

BSA Free

Concentration

Concentrations vary lot to lot. See vial label for concentration. If unlisted please contact technical services.

Product Specifications

Immunogen

This antibody was developed against Recombinant Protein corresponding to amino acids: MPLLRGRCPARRHYRRLALLGLQPAPRFAHSGPPRQRPLSAAE

Clonality

Polyclonal

Host

Rabbit

Isotype

IgG

Scientific Data Images for COX8C Antibody - BSA Free

Western Blot: COX8C Antibody [NBP1-84400]

Western Blot: COX8C Antibody [NBP1-84400]

Western Blot: COX8C Antibody [NBP1-84400] - Analysis in control (vector only transfected HEK293T lysate) and COX8C over-expression lysate (Co-expressed with a C-terminal myc-DDK tag (3.1 kDa) in mammalian HEK293T cells).
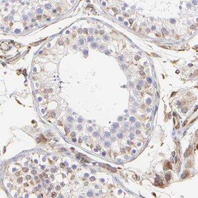
Immunohistochemistry-Paraffin: COX8C Antibody [NBP1-84400]

Immunohistochemistry-Paraffin: COX8C Antibody [NBP1-84400]

Immunohistochemistry-Paraffin: COX8C Antibody [NBP1-84400] - Staining testis shows moderate cytoplasmic positivity in cells in seminiferous ducts and Leydig cells.

Applications for COX8C Antibody - BSA Free

Application
Recommended Usage

Immunohistochemistry

1:20 - 1:50

Immunohistochemistry-Paraffin

1:20 - 1:50

Western Blot

0.04-0.4 ug/ml
Application Notes
For IHC-Paraffin, HIER pH 6 retrieval is recommended.

Formulation, Preparation, and Storage

Purification

Affinity purified

Formulation

PBS (pH 7.2) and 40% Glycerol

Format

BSA Free

Preservative

0.02% Sodium Azide

Concentration

Concentrations vary lot to lot. See vial label for concentration. If unlisted please contact technical services.

Shipping

The product is shipped with polar packs. Upon receipt, store it immediately at the temperature recommended below.

Stability & Storage

Store at 4C short term. Aliquot and store at -20C long term. Avoid freeze-thaw cycles.

Background: COX8C

This protein is one of the nuclear-coded polypeptide chains of cytochrome c oxidase, the terminal oxidase inmitochondrial electron transport

Alternate Names

COX VIII-3, COX8-3, cytochrome c oxidase polypeptide 8, Cytochrome c oxidase polypeptide 8 isoform 3, cytochrome c oxidase polypeptide VIII, Cytochrome c oxidase polypeptide VIII isoform 3, Cytochrome c oxidase subunit 8-3, cytochrome c oxidase subunit 8C, cytochrome c oxidase subunit 8C, mitochondrial, cytochrome c oxidase subunit VIII, MGC119774, MGC119775

Entrez Gene IDs

341947 (Human)

Gene Symbol

COX8C

UniProt

Additional COX8C Products

Product Documents for COX8C Antibody - BSA Free

Certificate of Analysis

To download a Certificate of Analysis, please enter a lot number in the search box below.

Product Specific Notices for COX8C Antibody - BSA Free

This product is for research use only and is not approved for use in humans or in clinical diagnosis. Primary Antibodies are guaranteed for 1 year from date of receipt.

Loading...
Loading...
Loading...
Loading...