Skip to main content

COX5A Antibody - BSA Free

Novus Biologicals, part of Bio-Techne | Catalog # NBP3-06072

Novus Biologicals, part of Bio-Techne
Discontinued Product
NBP3-06072 has been discontinued. View all COX5A products.

Key Product Details

Species Reactivity

Human

Applications

Immunohistochemistry, Immunohistochemistry-Paraffin, Western Blot, Immunoprecipitation

Label

Unconjugated

Antibody Source

Polyclonal Rabbit IgG

Format

BSA Free

Concentration

Please see the vial label for concentration. If unlisted please contact technical services.

Product Specifications

Immunogen

Produced in rabbits immunized with E. coli-derived Human COX5A fragment.

Clonality

Polyclonal

Host

Rabbit

Isotype

IgG

Description

This antibody can be stored at 2C-8C for one month without detectable loss of activity. Antibody products are stable for twelve months from date of receipt when stored at -20C to -80C. Avoid repeated freeze-thaw cycles.

Scientific Data Images for COX5A Antibody - BSA Free

Western Blot: COX5A Antibody [NBP3-06072]

Western Blot: COX5A Antibody [NBP3-06072]

Western Blot: COX5A Antibody [NBP3-06072] - Anti-COX5A rabbit polyclonal antibody at 1:500 dilution Lane A: HeLa Whole Cell Lysate Lane B: HepG2 Whole Cell Lysate Lane C: A431 Whole Cell Lysate Lysates/proteins at 30 ug per lane. Secondary Goat Anti-Rabbit IgG (H+L) HRP at 110000 dilution. Developed using the ECL technique. Performed under reducing conditions. Predicted band size:17 kDa Observed band size:15 kDa (We are unsure as to the identity of these extra bands.)
Immunoprecipitation: COX5A Antibody [NBP3-06072]

Immunoprecipitation: COX5A Antibody [NBP3-06072]

Immunoprecipitation: COX5A Antibody [NBP3-06072] - COX5A was immunoprecipitated using: Lane A:0.5 mg HeLa Whole Cell Lysate 4 uL anti-COX5A rabbit polyclonal antibody and 60 ug of Immunomagnetic beads Protein AG. Primary antibody: Anti-COX5A rabbit polyclonal antibody, at 1:100 dilution Secondary antibody: Goat Anti-Rabbit IgG (H+L) HRP at 110000 dilution Developed using the ECL technique. Performed under reducing conditions. Predicted band size: 17 kDa Observed band size :13 kDa
COX5A Antibody - BSA Free

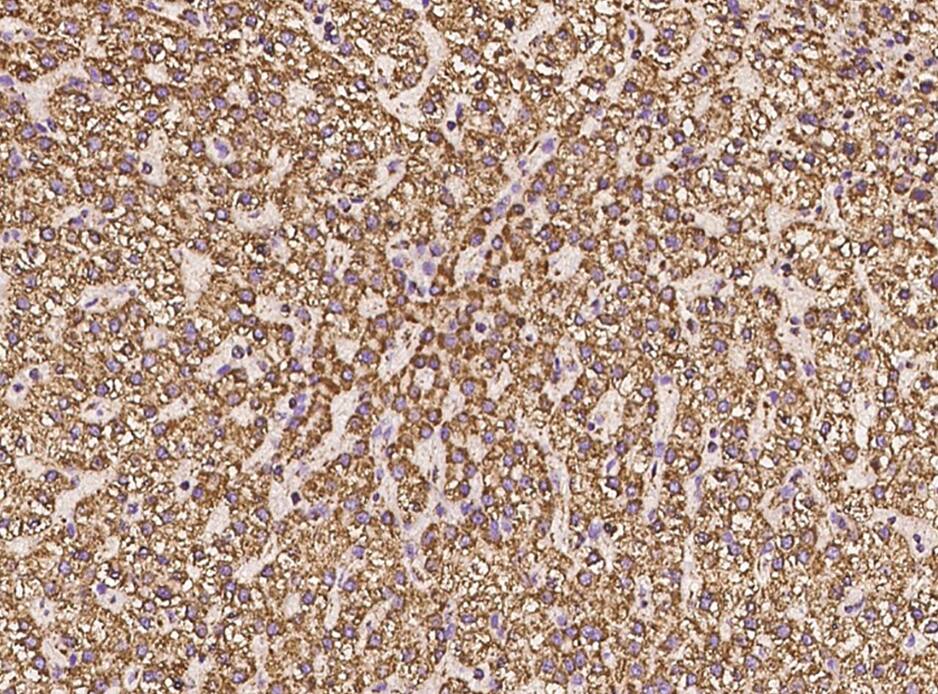
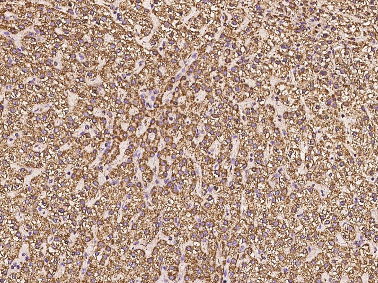
Immunohistochemistry-Paraffin: COX5A Antibody [NBP3-06072] -

Immunohistochemistry-Paraffin: COX5A Antibody [NBP3-06072] - Staining of human COX5A in human liver with rabbit polyclonal antibody at 1:100 dilution, formalin-fixed paraffin embedded sections.

Applications for COX5A Antibody - BSA Free

Application
Recommended Usage

Immunohistochemistry

1:50-1:200

Immunohistochemistry-Paraffin

1:50-1:200

Immunoprecipitation

1-5uL/mg of lysate

Western Blot

1:500-1:2000

Formulation, Preparation, and Storage

Purification

Antigen and protein A Affinity-purified

Formulation

PBS, pH7.0

Format

BSA Free

Preservative

0.03% Proclin 300

Concentration

Please see the vial label for concentration. If unlisted please contact technical services.

Shipping

The product is shipped with polar packs. Upon receipt, store it immediately at the temperature recommended below.

Stability & Storage

Store at 4C short term. Aliquot and store at -20C long term. Avoid freeze-thaw cycles.

Background: COX5A

Alternate Names

COX, COX-VA, Cytochrome c oxidase polypeptide Va, cytochrome c oxidase polypeptide, mitochondrial, cytochrome c oxidase subunit 5A, mitochondrial, cytochrome c oxidase subunit Va, mitochondrial cytochrome c oxidase subunit Va, VA

Gene Symbol

COX5A

Additional COX5A Products

Product Documents for COX5A Antibody - BSA Free

Certificate of Analysis

To download a Certificate of Analysis, please enter a lot number in the search box below.

Product Specific Notices for COX5A Antibody - BSA Free

This product is for research use only and is not approved for use in humans or in clinical diagnosis. Primary Antibodies are guaranteed for 1 year from date of receipt.

Loading...
Loading...
Loading...
Loading...