Skip to main content

Key Product Details

Species Reactivity

Validated:

Human, Mouse, Rat

Predicted:

Bovine (94%). Backed by our 100% Guarantee.

Applications

ELISA, Immunocytochemistry/ Immunofluorescence, Immunohistochemistry, Immunohistochemistry-Paraffin, Western Blot

Label

Unconjugated

Antibody Source

Polyclonal Rabbit IgG

Format

BSA Free

Concentration

1 mg/ml

Product Specifications

Immunogen

CORO7 antibody was raised against an 17 amino acid synthetic peptide near the carboxy terminus of human CORO7. The immunogen is located within the last 50 amino acids of CORO7. Amino Acid Squence: YLEEKSDQQKKEELLNAM

Specificity

Multiple isoforms of CORO7 are known to exist

Clonality

Polyclonal

Host

Rabbit

Isotype

IgG

Description

Novus Biologicals Rabbit CORO7 Antibody - BSA Free (NBP2-81790) is a polyclonal antibody validated for use in IHC, WB, ELISA and ICC/IF. All Novus Biologicals antibodies are covered by our 100% guarantee.

Scientific Data Images for CORO7 Antibody - BSA Free

Western Blot: CORO7 AntibodyBSA Free [NBP2-81790]

Western Blot: CORO7 AntibodyBSA Free [NBP2-81790]

Western Blot: CORO7 Antibody [NBP2-81790] - Analysis of CORO7 in rat lung tissue lysate with CORO7 antibody at (A) 1 and (B) 2 ug/ml.
CORO7 Antibody - BSA Free

Immunocytochemistry/ Immunofluorescence: CORO7 Antibody - BSA Free [NBP2-81790] -

Immunocytochemistry/ Immunofluorescence: CORO7 Antibody - BSA Free [NBP2-81790] - Immunofluorescence of Coronin 7 in rat lung tissue with Coronin 7 antibody at 20 u/mL.
CORO7 Antibody - BSA Free

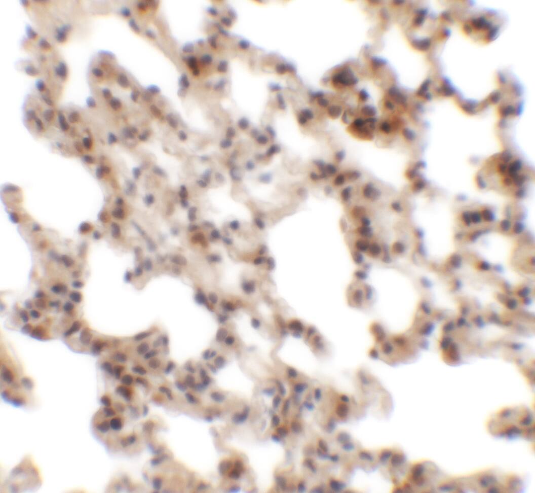
Immunohistochemistry: CORO7 Antibody - BSA Free [NBP2-81790] -

Immunohistochemistry: CORO7 Antibody - BSA Free [NBP2-81790] - Immunohistochemistry of Coronin 7 in rat lung tissue with Coronin 7 antibody at 2.5 ug/mL.

Applications for CORO7 Antibody - BSA Free

Application
Recommended Usage

Immunocytochemistry/ Immunofluorescence

20 ug/ml

Immunohistochemistry

2.5 ug/ml

Western Blot

1-2 ug/ml

Formulation, Preparation, and Storage

Purification

Peptide affinity purified

Formulation

PBS

Format

BSA Free

Preservative

0.02% Sodium Azide

Concentration

1 mg/ml

Shipping

The product is shipped with polar packs. Upon receipt, store it immediately at the temperature recommended below.

Stability & Storage

Store at 4C short term. Aliquot and store at -20C long term. Avoid freeze-thaw cycles.

Background: CORO7

Alternate Names

0610011B16Rik, coronin 7, coronin-7, CRN7, POD1

Gene Symbol

CORO7

Additional CORO7 Products

Product Documents for CORO7 Antibody - BSA Free

Certificate of Analysis

To download a Certificate of Analysis, please enter a lot number in the search box below.

Product Specific Notices for CORO7 Antibody - BSA Free

This product is for research use only and is not approved for use in humans or in clinical diagnosis. Primary Antibodies are guaranteed for 1 year from date of receipt.

Loading...
Loading...
Loading...
Loading...