Skip to main content

COQ4 Antibody - BSA Free

Novus Biologicals, part of Bio-Techne | Catalog # NBP1-91806

Novus Biologicals, part of Bio-Techne
Catalog #
Availability
Size / Price
Qty
Loading...
NBP1-91806
NBP1-91806-25ul

Key Product Details

Species Reactivity

Validated:

Human

Predicted:

Mouse (94%), Rat (92%). Backed by our 100% Guarantee.

Applications

Immunohistochemistry, Immunohistochemistry-Paraffin, Western Blot

Label

Unconjugated

Antibody Source

Polyclonal Rabbit IgG

Format

BSA Free

Concentration

Concentrations vary lot to lot. See vial label for concentration. If unlisted please contact technical services.

Product Specifications

Immunogen

This antibody was developed against Recombinant Protein corresponding to amino acids: ERPRISTSTLDLGKLQSLPEGSLGREYLRFLDVNRVSPDTRAPTRFVDDEELAYVIQRYREVHDMLHTLLGMPTNILGEIVVKW

Clonality

Polyclonal

Host

Rabbit

Isotype

IgG

Scientific Data Images for COQ4 Antibody - BSA Free

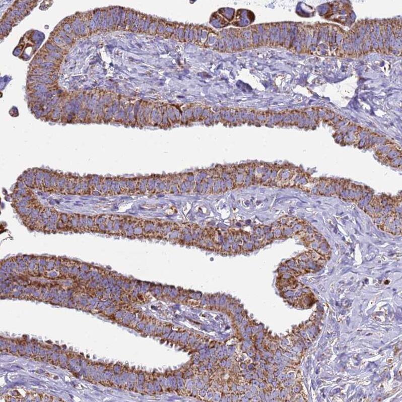
Immunohistochemistry-Paraffin: COQ4 Antibody [NBP1-91806]

Immunohistochemistry-Paraffin: COQ4 Antibody [NBP1-91806]

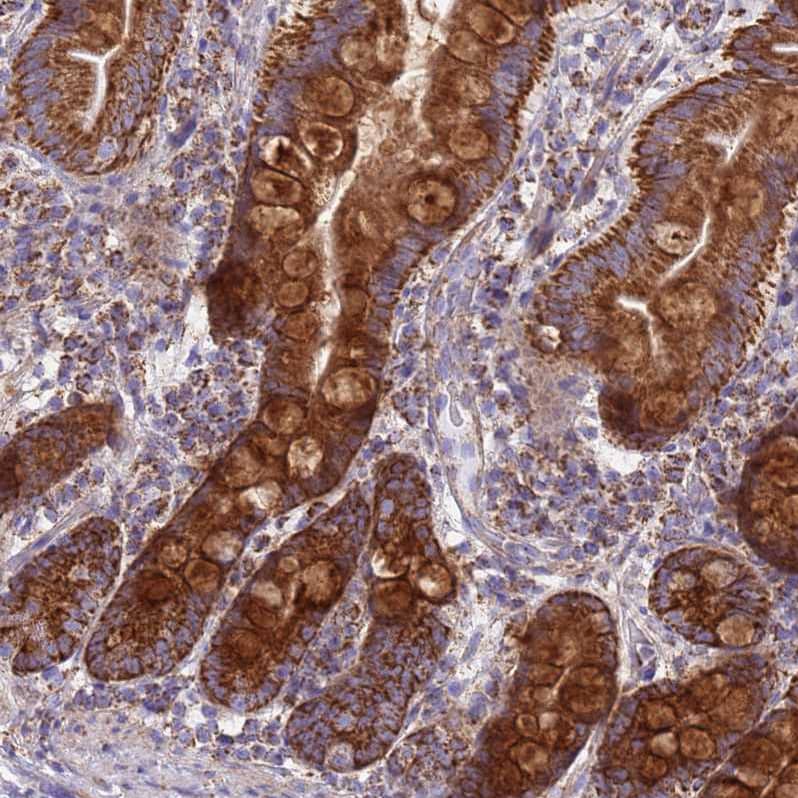
Immunohistochemistry-Paraffin: COQ4 Antibody [NBP1-91806] - Analysis in human duodenum and skeletal muscle tissues using NBP1-91806 antibody. Corresponding COQ4 RNA-seq data are presented for the same tissues.
Immunohistochemistry-Paraffin: COQ4 Antibody [NBP1-91806]

Immunohistochemistry-Paraffin: COQ4 Antibody [NBP1-91806]

Immunohistochemistry-Paraffin: COQ4 Antibody [NBP1-91806] - Staining of human pancreas shows strong cytoplasmic positivity in granular pattern in exocrine glandular cells.
COQ4 Antibody - BSA Free Immunohistochemistry: COQ4 Antibody - BSA Free [NBP1-91806]

Immunohistochemistry: COQ4 Antibody - BSA Free [NBP1-91806]

Staining of human skeletal muscle shows weak granular cytoplasmic positivity in myocytes as expected.

Applications for COQ4 Antibody - BSA Free

Application
Recommended Usage

Immunohistochemistry

1:1000 - 1:2500

Immunohistochemistry-Paraffin

1:1000 - 1:2500

Western Blot

0.04 - 0.4 ug/ml
Application Notes
For IHC-Paraffin, HIER pH 6 retrieval is recommended.

Formulation, Preparation, and Storage

Purification

Affinity purified

Formulation

PBS (pH 7.2) and 40% Glycerol

Format

BSA Free

Preservative

0.02% Sodium Azide

Concentration

Concentrations vary lot to lot. See vial label for concentration. If unlisted please contact technical services.

Shipping

The product is shipped with polar packs. Upon receipt, store it immediately at the temperature recommended below.

Stability & Storage

Store at 4C short term. Aliquot and store at -20C long term. Avoid freeze-thaw cycles.

Background: COQ4

Coenzyme Q (CoQ) is a small lipophilic molecule that transports electrons between mitochondrial respiratory chain complexes and functions as a cofactor for mitochondrial enzymes. COQ4 is an enzyme involved in CoQ biosynthesis (Casarin et al., 2008 (PubMed 18474229)).(supplied by OMIM)

Alternate Names

CGI-92, Coenzyme Q biosynthesis protein 4 homolog, coenzyme Q4 homolog (S. cerevisiae), coenzyme Q4 homolog (yeast), ubiquinone biosynthesis protein COQ4 homolog, mitochondrial

Gene Symbol

COQ4

Additional COQ4 Products

Product Documents for COQ4 Antibody - BSA Free

Certificate of Analysis

To download a Certificate of Analysis, please enter a lot number in the search box below.

Product Specific Notices for COQ4 Antibody - BSA Free

This product is for research use only and is not approved for use in humans or in clinical diagnosis. Primary Antibodies are guaranteed for 1 year from date of receipt.

Loading...
Loading...
Loading...
Loading...