Skip to main content

COPS6 Antibody - BSA Free

Novus Biologicals, part of Bio-Techne | Catalog # NBP1-91805

Novus Biologicals, part of Bio-Techne
Catalog #
Availability
Size / Price
Qty
Loading...
NBP1-91805-25ul
NBP1-91805

Key Product Details

Species Reactivity

Validated:

Human

Cited:

Human

Predicted:

Mouse (100%), Rat (100%). Backed by our 100% Guarantee.

Applications

Immunohistochemistry, Immunohistochemistry-Paraffin, Immunocytochemistry/ Immunofluorescence

Label

Unconjugated

Antibody Source

Polyclonal Rabbit IgG

Format

BSA Free

Concentration

Concentrations vary lot to lot. See vial label for concentration. If unlisted please contact technical services.

Product Specifications

Immunogen

This antibody was developed against Recombinant Protein corresponding to amino acids: EVPFNHEILREAYALCHCLPVLSTDKFKTDFYDQCNDVGLMAYLGTITKTCNTMNQFVNKFNVLYDRQGIGRRM

Clonality

Polyclonal

Host

Rabbit

Isotype

IgG

Description

Novus Biologicals Rabbit COPS6 Antibody - BSA Free (NBP1-91805) is a polyclonal antibody validated for use in IHC and ICC/IF. Anti-COPS6 Antibody: Cited in 1 publication. All Novus Biologicals antibodies are covered by our 100% guarantee.

Scientific Data Images for COPS6 Antibody - BSA Free

Immunocytochemistry/ Immunofluorescence: COPS6 Antibody [NBP1-91805]

Immunocytochemistry/ Immunofluorescence: COPS6 Antibody [NBP1-91805]

Immunocytochemistry/Immunofluorescence: COPS6 Antibody [NBP1-91805] - Staining of human cell line U-251 MG shows localization to nucleoplasm. Antibody staining is shown in green.
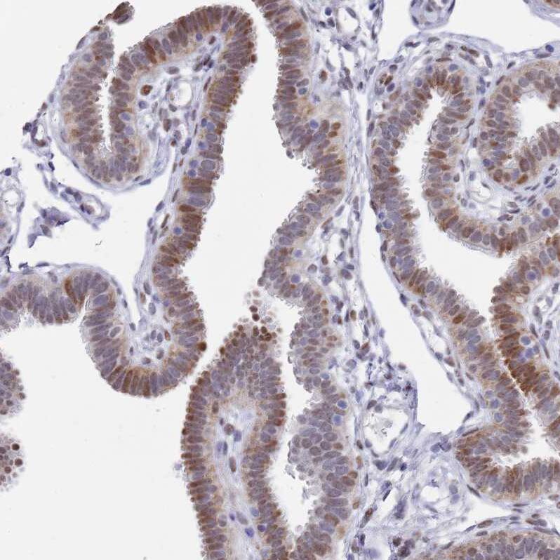
Immunohistochemistry-Paraffin: COPS6 Antibody [NBP1-91805]

Immunohistochemistry-Paraffin: COPS6 Antibody [NBP1-91805]

Immunohistochemistry-Paraffin: COPS6 Antibody [NBP1-91805] - Staining of human stomach, lower shows distinct nuclear positivity in glandular cells.
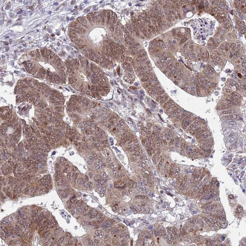
COPS6 Antibody - BSA Free Immunohistochemistry: COPS6 Antibody - BSA Free [NBP1-91805]

Immunohistochemistry: COPS6 Antibody - BSA Free [NBP1-91805]

Staining of human colorectal cancer shows moderate nuclear positivity in tumor cells.

Applications for COPS6 Antibody - BSA Free

Application
Recommended Usage

Immunocytochemistry/ Immunofluorescence

0.25-2 ug/ml

Immunohistochemistry

1:50 - 1:200

Immunohistochemistry-Paraffin

1:50 - 1:200
Application Notes
For IHC-Paraffin, HIER pH 6 retrieval is recommended. ICC/IF Fixation Permeabilization: Use PFA/Triton X-100.

Formulation, Preparation, and Storage

Purification

Affinity purified

Formulation

PBS (pH 7.2) and 40% Glycerol

Format

BSA Free

Preservative

0.02% Sodium Azide

Concentration

Concentrations vary lot to lot. See vial label for concentration. If unlisted please contact technical services.

Shipping

The product is shipped with polar packs. Upon receipt, store it immediately at the temperature recommended below.

Stability & Storage

Store at 4C short term. Aliquot and store at -20C long term. Avoid freeze-thaw cycles.

Background: COPS6

COPS6 is encoded by this gene is one of the eight subunits of COP9 signalosome, a highly conserved protein complex that functions as an important regulator in multiple signaling pathways. The structure and function of COP9 signalosome is similar to that of the 19S regulatory particle of 26S proteasome. COP9 signalosome has been shown to interact with SCF-type E3 ubiquitin ligases and act as a positive regulator of E3 ubiquitin ligases. This protein belongs to translation initiation factor 3 (eIF3) superfamily. It is involved in the regulation of cell cycle and likely to be a cellular cofactor for HIV-1 accessory gene product Vpr. [provided by RefSeq]

Alternate Names

BMP2B, BMP2B1, BMP4, COP9 constitutive photomorphogenic homolog subunit 6 (Arabidopsis), COP9 signalosome complex subunit 6, CSN6COP9 subunit 6 (MOV34 homolog, 34 kD), H_NH0506M12.12, hVIP, JAB1-containing signalosome subunit 6, MOFC11, MOV34 homolog, MOV34 homolog, 34 kD, MOV34-34KD, SGN6, Signalosome subunit 6, Vpr-interacting protein

Gene Symbol

COPS6

Additional COPS6 Products

Product Documents for COPS6 Antibody - BSA Free

Certificate of Analysis

To download a Certificate of Analysis, please enter a lot number in the search box below.

Product Specific Notices for COPS6 Antibody - BSA Free

This product is for research use only and is not approved for use in humans or in clinical diagnosis. Primary Antibodies are guaranteed for 1 year from date of receipt.

Loading...
Loading...
Loading...
Loading...