Skip to main content

COMMD1 Antibody (OTI2E2) - Azide and BSA Free

Novus Biologicals, part of Bio-Techne | Catalog # NBP2-72418

Novus Biologicals, part of Bio-Techne
Catalog #
Availability
Size / Price
Qty
Loading...
NBP2-72418

Key Product Details

Species Reactivity

Human, Mouse, Rat, Monkey

Applications

Immunohistochemistry, Immunohistochemistry-Paraffin, Western Blot, Flow Cytometry, CyTOF-ready

Label

Unconjugated

Antibody Source

Monoclonal Mouse IgG2A Clone # OTI2E2

Format

Azide and BSA Free

Concentration

LYOPH mg/ml

Product Specifications

Immunogen

Full length human recombinant protein of human COMMD1(NP_689729) produced in HEK293T cell.

Reactivity Notes

Please note that this antibody is reactive to Mouse and derived from the same host, Mouse. Mouse-On-Mouse blocking reagent may be needed for IHC and ICC experiments to reduce high background signal. You can find these reagents under catalog numbers PK-2200-NB and MP-2400-NB. Please contact Technical Support if you have any questions.

Clonality

Monoclonal

Host

Mouse

Isotype

IgG2A

Theoretical MW

21 kDa.
Disclaimer note: The observed molecular weight of the protein may vary from the listed predicted molecular weight due to post translational modifications, post translation cleavages, relative charges, and other experimental factors.

Description

Novus Biologicals Mouse COMMD1 Antibody (OTI2E2) - Azide and BSA Free (NBP2-46331) is a monoclonal antibody validated for use in IHC, WB and Flow. All Novus Biologicals antibodies are covered by our 100% guarantee.

Scientific Data Images for COMMD1 Antibody (OTI2E2) - Azide and BSA Free

Western Blot: COMMD1 Antibody (OTI2E2)Azide and BSA Free [NBP2-72418]

Western Blot: COMMD1 Antibody (OTI2E2)Azide and BSA Free [NBP2-72418]

Western Blot: COMMD1 Antibody (OTI2E2) - Azide and BSA Free [NBP2-72418] - Analysis of HEK293T cells were transfected with the pCMV6-ENTRY control (Left lane) or pCMV6-ENTRY COMMD1.
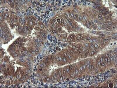
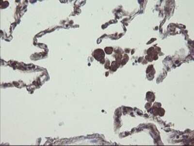
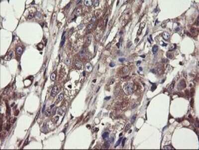
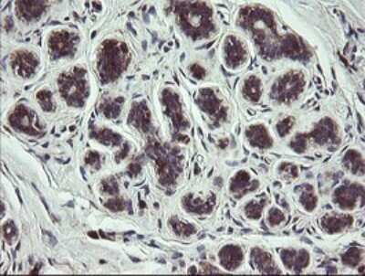
Immunohistochemistry: COMMD1 Antibody (OTI2E2) - Azide and BSA Free [NBP2-72418]

Immunohistochemistry: COMMD1 Antibody (OTI2E2) - Azide and BSA Free [NBP2-72418]

Immunohistochemistry: COMMD1 Antibody (OTI2E2) - Azide and BSA Free [NBP2-72418] - Analysis of Human prostate tissue.
Flow Cytometry: COMMD1 Antibody (OTI2E2) - Azide and BSA Free [NBP2-72418]

Flow Cytometry: COMMD1 Antibody (OTI2E2) - Azide and BSA Free [NBP2-72418]

Flow Cytometry: COMMD1 Antibody (OTI2E2) - Azide and BSA Free [NBP2-72418] - Analysis of HEK293T cells transfected with either overexpress plasmid(Red) or empty vector control plasmid(Blue) were immunostaining by COMMD1 antibody, and then analyzed by flow cytometry.

Applications for COMMD1 Antibody (OTI2E2) - Azide and BSA Free

Application
Recommended Usage

Flow Cytometry

1:100

Immunohistochemistry

1:150

Western Blot

1:2000

Formulation, Preparation, and Storage

Purification

Immunogen affinity purified

Reconstitution

we recommend adding 100uL distilled water to a final antibody concentration of about 1 mg/mL. To use this carrier-free antibody for conjugation experiment, we strongly recommend performing another round of desalting process.

Formulation

Lyophilized from PBS (pH 7.3) with 8% Trehalose

Format

Azide and BSA Free

Preservative

No Preservative

Concentration

LYOPH mg/ml

Shipping

The product is shipped with polar packs. Upon receipt, store it immediately at the temperature recommended below.

Stability & Storage

Store at -20C. Avoid freeze-thaw cycles.

Background: COMMD1

COMMD1 is a regulator of copper homeostasis, sodium uptake, and NF-kappa-B (see MIM 164011) signaling (de Bie et al.,2005 (PubMed 16267171)).(supplied by OMIM)

Long Name

Copper Metabolism [MURR1] Domain Containing 1

Alternate Names

MURR1

Gene Symbol

COMMD1

Additional COMMD1 Products

Product Documents for COMMD1 Antibody (OTI2E2) - Azide and BSA Free

Certificate of Analysis

To download a Certificate of Analysis, please enter a lot number in the search box below.

Product Specific Notices for COMMD1 Antibody (OTI2E2) - Azide and BSA Free

This product is for research use only and is not approved for use in humans or in clinical diagnosis. Primary Antibodies are guaranteed for 1 year from date of receipt.

Loading...
Loading...
Loading...
Loading...
Loading...
Loading...