COLQ Antibody - BSA Free
Novus Biologicals, part of Bio-Techne | Catalog # NBP2-14915
Key Product Details
Species Reactivity
Human
Applications
Immunohistochemistry, Immunohistochemistry-Paraffin, Western Blot
Label
Unconjugated
Antibody Source
Polyclonal Rabbit IgG
Format
BSA Free
Concentration
Concentrations vary lot to lot. See vial label for concentration. If unlisted please contact technical services.
Product Specifications
Immunogen
Recombinant protein encompassing a sequence within the center region of human COLQ. The exact sequence is proprietary.
Reactivity Notes
Mouse (87%), Rat (83%), Bovine (87%).
Clonality
Polyclonal
Host
Rabbit
Isotype
IgG
Theoretical MW
48 kDa.
Disclaimer note: The observed molecular weight of the protein may vary from the listed predicted molecular weight due to post translational modifications, post translation cleavages, relative charges, and other experimental factors.
Disclaimer note: The observed molecular weight of the protein may vary from the listed predicted molecular weight due to post translational modifications, post translation cleavages, relative charges, and other experimental factors.
Description
Novus Biologicals Rabbit COLQ Antibody - BSA Free (NBP2-14915) is a polyclonal antibody validated for use in IHC and WB. All Novus Biologicals antibodies are covered by our 100% guarantee.
Scientific Data Images for COLQ Antibody - BSA Free
Western Blot: COLQ Antibody [NBP2-14915]
Western Blot: COLQ Antibody [NBP2-14915] - Sample (30 ug of whole cell lysate) A: HepG2 10% SDS PAGE; antibody diluted at 1:1000.Immunohistochemistry-Paraffin: COLQ Antibody [NBP2-14915]
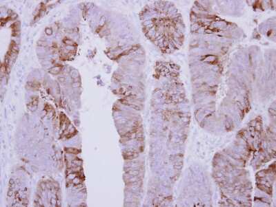
Immunohistochemistry-Paraffin: COLQ Antibody [NBP2-14915] - Paraffin-embedded Colon ca, using antibody at 1:500 dilution.Applications for COLQ Antibody - BSA Free
Application
Recommended Usage
Immunohistochemistry
1:100-1:1000
Immunohistochemistry-Paraffin
1:100-1:1000
Western Blot
1:500-1:3000
Formulation, Preparation, and Storage
Purification
Antigen Affinity-purified
Formulation
0.1M Tris, 0.1M Glycine, 20% Glycerol
Format
BSA Free
Preservative
0.01% Thimerosal
Concentration
Concentrations vary lot to lot. See vial label for concentration. If unlisted please contact technical services.
Shipping
The product is shipped with polar packs. Upon receipt, store it immediately at the temperature recommended below.
Stability & Storage
Aliquot and store at -20C or -80C. Avoid freeze-thaw cycles.
Background: COLQ
Alternate Names
acetylcholinesterase collagenic tail peptide, AChE Q subunit, collagenic tail of endplate acetylcholinesterase, collagen-like tail subunit (single strand of homotrimer) of asymmetricacetylcholinesterase, EADAcetylcholinesterase-associated collagen, FLJ55041, single strand of homotrimeric collagen-like tail subunit of asymmetricacetylcholinesterase
Gene Symbol
COLQ
UniProt
Additional COLQ Products
Product Documents for COLQ Antibody - BSA Free
Product Specific Notices for COLQ Antibody - BSA Free
This product is for research use only and is not approved for use in humans or in clinical diagnosis. Primary Antibodies are guaranteed for 1 year from date of receipt.
Loading...
Loading...
Loading...
Loading...
⚠ WARNING: This product can expose you to chemicals including mercury, which is known to the State of California to cause reproductive toxicity with developmental effects. For more information go to www.P65Warnings.ca.gov.