Skip to main content

COCO/DAND5 Antibody (OTI2H3)

Novus Biologicals, part of Bio-Techne | Catalog # NBP2-01223

Novus Biologicals, part of Bio-Techne
Catalog #
Availability
Size / Price
Qty
Loading...
NBP2-01223

Key Product Details

Species Reactivity

Human

Applications

Flow Cytometry, Immunohistochemistry, Immunohistochemistry-Paraffin, Western Blot

Label

Unconjugated

Antibody Source

Monoclonal Mouse IgG1 Clone # OTI2H3

Concentration

1.04 mg/ml

Product Specifications

Immunogen

Human recombinant protein fragment corresponding to amino acids 23-189 of human DAND5(NP_689867) produced in E.coli.

Clonality

Monoclonal

Host

Mouse

Isotype

IgG1

Theoretical MW

18 kDa.
Disclaimer note: The observed molecular weight of the protein may vary from the listed predicted molecular weight due to post translational modifications, post translation cleavages, relative charges, and other experimental factors.

Description

Novus Biologicals Mouse COCO/DAND5 Antibody (OTI2H3) (NBP2-01223) is a monoclonal antibody validated for use in IHC, WB and Flow. All Novus Biologicals antibodies are covered by our 100% guarantee.

Scientific Data Images for COCO/DAND5 Antibody (OTI2H3)

Western Blot: COCO/DAND5 Antibody (OTI2H3) [NBP2-01223]

Western Blot: COCO/DAND5 Antibody (OTI2H3) [NBP2-01223]

Western Blot: DAND5 Antibody (2H3) [NBP2-01223] - HEK293T cells were transfected with the pCMV6-ENTRY control (Left lane) or pCMV6-ENTRY DAND5 (Right lane) cDNA for 48 hrs and lysed. Equivalent amounts of cell lysates (5 ug per lane) were separated by SDS-PAGE and immunoblotted with anti-DAND5.
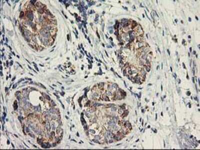
Immunohistochemistry-Paraffin: DAND5 Antibody (2H3) [NBP2-01223] Staining of paraffin-embedded Carcinoma of Human bladder tissue using anti-DAND5 mouse monoclonal antibody.
Flow Cytometry: COCO/DAND5 Antibody (OTI2H3) [NBP2-01223]

Flow Cytometry: COCO/DAND5 Antibody (OTI2H3) [NBP2-01223]

Flow Cytometry: DAND5 Antibody (2H3) [NBP2-01223] - HEK293T cells transfected with either overexpression plasmid (Red) or empty vector control plasmid (Blue) were immunostained by anti-DAND5 antibody, and then analyzed by flow cytometry.

Applications for COCO/DAND5 Antibody (OTI2H3)

Application
Recommended Usage

Flow Cytometry

1:100

Immunohistochemistry

1:150

Immunohistochemistry-Paraffin

1:150

Western Blot

1:500-2000

Formulation, Preparation, and Storage

Purification

Immunogen affinity purified

Formulation

PBS (pH 7.3), 1.0% BSA and 50% Glycerol

Preservative

0.02% Sodium Azide

Concentration

1.04 mg/ml

Shipping

The product is shipped with polar packs. Upon receipt, store it immediately at the temperature recommended below.

Stability & Storage

Store at -20C. Avoid freeze-thaw cycles.

Background: COCO

This gene encodes a member of the BMP (bone morphogenic protein) antagonist family. Like BMPs, BMP antagonists contain cystine knots and typically form homo- and heterodimers. The CAN (cerberus and dan) subfamily of BMP antagonists, to which this gene belongs, is characterized by a C-terminal cystine knot with an eight-membered ring. The antagonistic effect of the secreted protein encoded by this gene is likely due to its direct binding to BMP proteins. As an antagonist of BMP, this gene may play a role in regulating organogenesis, body patterning, and tissue differentiation. In mouse, this protein has been shown to bind Nodal and to inhibit the Nodal signaling pathway which patterns left/right body asymmetry.

Alternate Names

Cerberus 2, Cerberus like-2, CKTSF1B3, DAND5, Dante, GREM3

Entrez Gene IDs

199699 (Human)

Gene Symbol

DAND5

Additional COCO Products

Product Documents for COCO/DAND5 Antibody (OTI2H3)

Certificate of Analysis

To download a Certificate of Analysis, please enter a lot number in the search box below.

Product Specific Notices for COCO/DAND5 Antibody (OTI2H3)

This product is for research use only and is not approved for use in humans or in clinical diagnosis. Primary Antibodies are guaranteed for 1 year from date of receipt.

Loading...
Loading...
Loading...
Loading...
Loading...