Skip to main content

COASY Antibody - BSA Free

Novus Biologicals, part of Bio-Techne | Catalog # NBP1-84991

Novus Biologicals, part of Bio-Techne
Catalog #
Availability
Size / Price
Qty
Loading...
NBP1-84991

Key Product Details

Species Reactivity

Human

Applications

Immunocytochemistry/ Immunofluorescence, Immunohistochemistry, Immunohistochemistry-Paraffin, Western Blot

Label

Unconjugated

Antibody Source

Polyclonal Rabbit IgG

Format

BSA Free

Concentration

Concentrations vary lot to lot. See vial label for concentration. If unlisted please contact technical services.

Product Specifications

Immunogen

This antibody was developed against Recombinant Protein corresponding to amino acids: ENDLEELALYQIQLLKDLRHTENEEDKVSSSSFRQRMLGNLLRPPYERPELPTCLYVIGLTGISGSGKSSIAQRLKGLGAFVIDSDHLGHRAYAPGGPAYQPVVEAFGTDILHKDGIINRKV

Reactivity Notes

Immunogen displays the following percentage of sequence identity for non-tested species: Mouse (87%), Rat (84%)

Clonality

Polyclonal

Host

Rabbit

Isotype

IgG

Description

Novus Biologicals Rabbit COASY Antibody - BSA Free (NBP1-84991) is a polyclonal antibody validated for use in IHC, WB and ICC/IF. All Novus Biologicals antibodies are covered by our 100% guarantee.

Scientific Data Images for COASY Antibody - BSA Free

Western Blot: COASY Antibody [NBP1-84991]

Western Blot: COASY Antibody [NBP1-84991]

Western Blot: COASY Antibody [NBP1-84991] - Analysis in control (vector only transfected HEK293T lysate) and COASY over-expression lysate (Co-expressed with a C-terminal myc-DDK tag (3.1 kDa) in mammalian HEK293T cells).
Immunocytochemistry/ Immunofluorescence: COASY Antibody [NBP1-84991]

Immunocytochemistry/ Immunofluorescence: COASY Antibody [NBP1-84991]

Immunocytochemistry/Immunofluorescence: COASY Antibody [NBP1-84991] - Immunofluorescent staining of human cell line U-251 MG shows localization to nucleoplasm & cytosol.
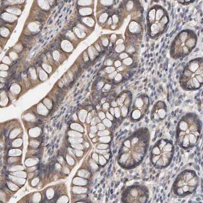
Immunohistochemistry-Paraffin: COASY Antibody [NBP1-84991]

Immunohistochemistry-Paraffin: COASY Antibody [NBP1-84991]

Immunohistochemistry-Paraffin: COASY Antibody [NBP1-84991] - Staining of human small intestine shows moderate cytoplasmic positivity in glandular cells.

Applications for COASY Antibody - BSA Free

Application
Recommended Usage

Immunocytochemistry/ Immunofluorescence

0.25-2 ug/ml

Immunohistochemistry

1:200 - 1:500

Immunohistochemistry-Paraffin

1:200-1:500

Western Blot

0.04-0.4 ug/ml
Application Notes
For IHC-Paraffin, HIER pH 6 retrieval is recommended. Immunocytochemistry/Immunofluorescence Fixation Permeabilization: Use PFA/Triton X-100.

Formulation, Preparation, and Storage

Purification

Immunogen affinity purified

Formulation

PBS (pH 7.2) and 40% Glycerol

Format

BSA Free

Preservative

0.02% Sodium Azide

Concentration

Concentrations vary lot to lot. See vial label for concentration. If unlisted please contact technical services.

Shipping

The product is shipped with polar packs. Upon receipt, store it immediately at the temperature recommended below.

Stability & Storage

Store at 4C short term. Aliquot and store at -20C long term. Avoid freeze-thaw cycles.

Background: COASY

Biosynthesis of coenzyme A (CoA) from pantothenic acid (vitamin B5) is an essential universal pathway in prokaryotes and eukaryotes. COASY is a bifunctional enzyme that catalyzes the 2 last steps in CoA synthesis. These activities are performed by 2 separate enzymes, phosphopantetheine adenylyltransferase (PPAT; EC 2.7.7.3) and dephospho-CoA kinase (DPCK; EC 2.7.1.24), in prokaryotes (Daugherty et al., 2002 [PubMed 11923312]).[supplied by OMIM]

Alternate Names

bifunctional phosphopantetheine adenylyl transferase/dephospho CoA kinase, CoA synthaseUKR1, CoASY, Coenzyme A synthase, DPCK, FLJ35179, NBPbifunctional coenzyme A synthase, nucleotide binding protein, phosphopantetheine adenylyltransferase / dephosphocoenzyme A kinase, POV-2, PPAT

Gene Symbol

COASY

Additional COASY Products

Product Documents for COASY Antibody - BSA Free

Certificate of Analysis

To download a Certificate of Analysis, please enter a lot number in the search box below.

Product Specific Notices for COASY Antibody - BSA Free

This product is for research use only and is not approved for use in humans or in clinical diagnosis. Primary Antibodies are guaranteed for 1 year from date of receipt.

Loading...
Loading...
Loading...
Loading...