Skip to main content

CNP/NPPC Antibody - BSA Free

Novus Biologicals, part of Bio-Techne | Catalog # NBP1-90623

Novus Biologicals, part of Bio-Techne
Catalog #
Availability
Size / Price
Qty
Loading...
NBP1-90623
NBP1-90623-25ul

Key Product Details

Species Reactivity

Validated:

Human

Predicted:

Mouse (92%), Rat (95%). Backed by our 100% Guarantee.

Applications

Immunohistochemistry, Immunohistochemistry-Paraffin

Label

Unconjugated

Antibody Source

Polyclonal Rabbit IgG

Format

BSA Free

Concentration

Concentrations vary lot to lot. See vial label for concentration. If unlisted please contact technical services.

Product Specifications

Immunogen

This antibody was developed against Recombinant Protein corresponding to amino acids: PKVPRTPPAEELAEPQAAGGGQKKGDKAPGGGGANLKGDRSRLLRDLRVDTKSRAAWARLLQEHPNARKYKGANKKGLSKGCFGLKLDRIGSMSGLGC

Clonality

Polyclonal

Host

Rabbit

Isotype

IgG

Scientific Data Images for CNP/NPPC Antibody - BSA Free

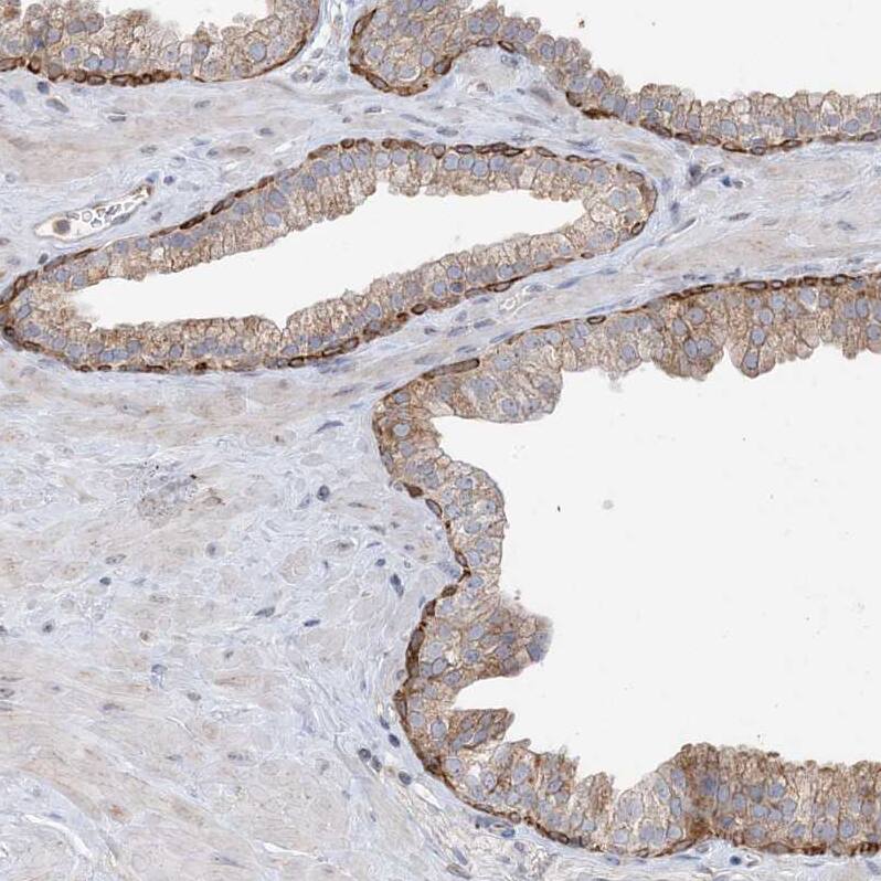
CNP/NPPC Antibody - BSA Free Immunohistochemistry: CNP/NPPC Antibody - BSA Free [NBP1-90623]

Immunohistochemistry: CNP/NPPC Antibody - BSA Free [NBP1-90623]

Staining of human prostate shows moderate to strong cytoplasmic positivity in basal cells.
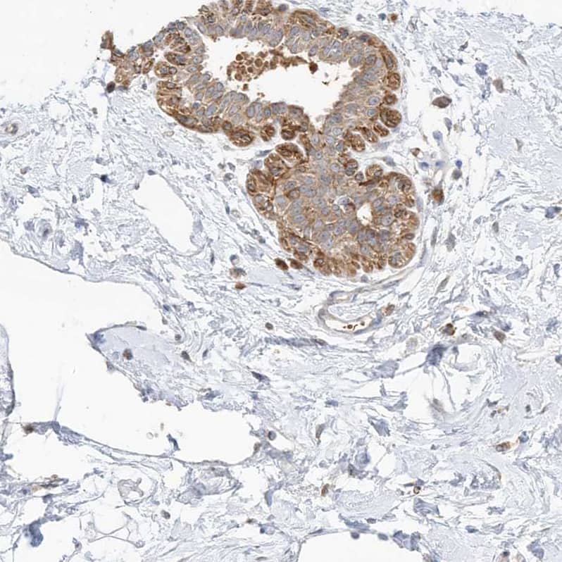
CNP/NPPC Antibody - BSA Free Immunohistochemistry: CNP/NPPC Antibody - BSA Free [NBP1-90623]

Immunohistochemistry: CNP/NPPC Antibody - BSA Free [NBP1-90623]

Staining of human breast shows moderate to strong cytoplasmic positivity in glandular cells.
CNP/NPPC Antibody - BSA Free Immunohistochemistry: CNP/NPPC Antibody - BSA Free [NBP1-90623]

Immunohistochemistry: CNP/NPPC Antibody - BSA Free [NBP1-90623]

Staining of human liver shows very weak cytoplasmic positivity in hepatocytes.

Applications for CNP/NPPC Antibody - BSA Free

Application
Recommended Usage

Immunohistochemistry

1:50 - 1:200

Immunohistochemistry-Paraffin

1:50 - 1:200
Application Notes
For IHC-Paraffin, HIER pH 6 retrieval is recommended.

Formulation, Preparation, and Storage

Purification

Affinity purified

Formulation

PBS (pH 7.2) and 40% Glycerol

Format

BSA Free

Preservative

0.02% Sodium Azide

Concentration

Concentrations vary lot to lot. See vial label for concentration. If unlisted please contact technical services.

Shipping

The product is shipped with polar packs. Upon receipt, store it immediately at the temperature recommended below.

Stability & Storage

Store at 4C short term. Aliquot and store at -20C long term. Avoid freeze-thaw cycles.

Background: CNP

CNP belongs to the natriuretic peptide hormone family which also includes ANP and BNP. CNP modulates cGMP-mediated proliferation and differentiation in a wide variety of tissues through interactions with its receptor, ANPRB. CNP promotes vasorelaxation and vascular remodeling. It is upregulated in damaged vascular endothelium.

Long Name

C-type Natriuretic Peptide

Alternate Names

NPPC

Gene Symbol

NPPC

Additional CNP Products

Product Documents for CNP/NPPC Antibody - BSA Free

Certificate of Analysis

To download a Certificate of Analysis, please enter a lot number in the search box below.

Product Specific Notices for CNP/NPPC Antibody - BSA Free

This product is for research use only and is not approved for use in humans or in clinical diagnosis. Primary Antibodies are guaranteed for 1 year from date of receipt.

Loading...
Loading...
Loading...
Loading...