Skip to main content

CMTM1 Antibody - BSA Free

Novus Biologicals, part of Bio-Techne | Catalog # NBP3-41396

Novus Biologicals, part of Bio-Techne
Catalog #
Availability
Size / Price
Qty
Loading...
NBP3-41396

Key Product Details

Species Reactivity

Human

Applications

Immunohistochemistry, Western Blot

Label

Unconjugated

Antibody Source

Polyclonal Rabbit

Format

BSA Free

Concentration

0.5 mg/ml

Product Specifications

Immunogen

Immunized with recombinant Human CMTM1 (Uniprot#: Q8IZ96; Met1-Ala286 (Uniprot#: Q8IZ96)

Clonality

Polyclonal

Host

Rabbit

Description

Novus Biologicals Rabbit CMTM1 Antibody - BSA Free (NBP3-41396) is a polyclonal antibody validated for use in IHC and WB. All Novus Biologicals antibodies are covered by our 100% guarantee.

Scientific Data Images for CMTM1 Antibody - BSA Free

CMTM1 Antibody

Western Blot: CMTM1 Antibody [NBP3-41396] -

Western Blot: CMTM1 Antibody [NBP3-41396] - Sample: Recombinant protein.
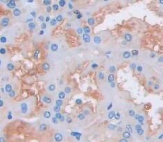
CMTM1 Antibody

Immunohistochemistry-Paraffin: CMTM1 Antibody [NBP3-41396] -

Immunohistochemistry-Paraffin: CMTM1 Antibody [NBP3-41396] - Used in DAB staining on fromalin fixed paraffin- embedded Kidney tissue

Applications for CMTM1 Antibody - BSA Free

Application
Recommended Usage

Immunohistochemistry

5-20ug/mL

Western Blot

0.2-2ug/mL

Formulation, Preparation, and Storage

Purification

Antigen and protein A Affinity-purified

Formulation

PBS, pH7.4, 50% glycerol

Format

BSA Free

Preservative

0.02% Sodium Azide

Concentration

0.5 mg/ml

Shipping

The product is shipped with polar packs. Upon receipt, store it immediately at the temperature recommended below.

Stability & Storage

Store at 4C short term. Aliquot and store at -20C long term. Avoid freeze-thaw cycles.

Background: CMTM1

CMTM1, also known as CKLF-like MARVEL transmembrane domain-containing protein 1, is a protein with 24 isoforms ranging from 28 amino acids and 2.9 kDa, all the way up to 286 amino acids and 31 kDa. With the canonical sequence being 169 amino acids and 18.5 kDa, and is involved in testis development as a member of the chemokine-like factor gene superfamily. Current research on this proteins involvement in hepatitis is being pursued.

Alternate Names

chemokine-like factor super family 1, chemokine-like factor superfamily 1, Chemokine-like factor superfamily member 1, chemokine-like factor-like protein CKLFH1, CKLFH, CKLFH1, CKLFH1a, CKLF-like MARVEL transmembrane domain containing 1, CKLF-like MARVEL transmembrane domain-containing protein 1, CKLFSF1, MGC71870

Gene Symbol

CMTM1

Additional CMTM1 Products

Product Documents for CMTM1 Antibody - BSA Free

Certificate of Analysis

To download a Certificate of Analysis, please enter a lot number in the search box below.

Product Specific Notices for CMTM1 Antibody - BSA Free

This product is for research use only and is not approved for use in humans or in clinical diagnosis. Primary Antibodies are guaranteed for 1 year from date of receipt.

Loading...
Loading...
Loading...
Loading...