CMTM1 Antibody - BSA Free
Novus Biologicals, part of Bio-Techne | Catalog # NBP1-84459
Key Product Details
Species Reactivity
Human
Applications
Immunohistochemistry, Immunohistochemistry-Paraffin, Immunocytochemistry/ Immunofluorescence
Label
Unconjugated
Antibody Source
Polyclonal Rabbit IgG
Format
BSA Free
Concentration
Concentrations vary lot to lot. See vial label for concentration. If unlisted please contact technical services.
Product Specifications
Immunogen
This antibody was developed against Recombinant Protein corresponding to amino acids: DPEHAKPESSEAPSGNLKQPETAAALASSGSVD
Clonality
Polyclonal
Host
Rabbit
Isotype
IgG
Scientific Data Images for CMTM1 Antibody - BSA Free
Immunocytochemistry/ Immunofluorescence: CMTM1 Antibody [NBP1-84459]
Immunocytochemistry/Immunofluorescence: CMTM1 Antibody [NBP1-84459] - Staining of human cell line U-251 MG shows localization to nucleoplasm.Immunohistochemistry-Paraffin: CMTM1 Antibody [NBP1-84459]
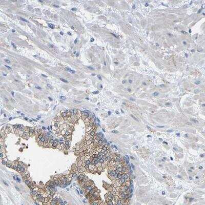
Immunohistochemistry-Paraffin: CMTM1 Antibody [NBP1-84459] - Staining of human prostate shows moderate membranous positivity in glandular cells.Applications for CMTM1 Antibody - BSA Free
Application
Recommended Usage
Immunocytochemistry/ Immunofluorescence
0.25-2 ug/ml
Immunohistochemistry
1:20 - 1:50
Immunohistochemistry-Paraffin
1:20 - 1:50
Application Notes
For IHC-Paraffin, HIER pH 6 retrieval is recommended. ICC/IF, Fixation Permeabilization: Use PFA/Triton X-100.
Formulation, Preparation, and Storage
Purification
Affinity purified
Formulation
PBS (pH 7.2) and 40% Glycerol
Format
BSA Free
Preservative
0.02% Sodium Azide
Concentration
Concentrations vary lot to lot. See vial label for concentration. If unlisted please contact technical services.
Shipping
The product is shipped with polar packs. Upon receipt, store it immediately at the temperature recommended below.
Stability & Storage
Store at 4C short term. Aliquot and store at -20C long term. Avoid freeze-thaw cycles.
Background: CMTM1
Alternate Names
chemokine-like factor super family 1, chemokine-like factor superfamily 1, Chemokine-like factor superfamily member 1, chemokine-like factor-like protein CKLFH1, CKLFH, CKLFH1, CKLFH1a, CKLF-like MARVEL transmembrane domain containing 1, CKLF-like MARVEL transmembrane domain-containing protein 1, CKLFSF1, MGC71870
Gene Symbol
CMTM1
Additional CMTM1 Products
Product Documents for CMTM1 Antibody - BSA Free
Product Specific Notices for CMTM1 Antibody - BSA Free
This product is for research use only and is not approved for use in humans or in clinical diagnosis. Primary Antibodies are guaranteed for 1 year from date of receipt.
Loading...
Loading...
Loading...
Loading...