CMSS1 Antibody - BSA Free
Novus Biologicals, part of Bio-Techne | Catalog # NBP1-81078
Key Product Details
Species Reactivity
Human
Applications
Immunohistochemistry, Immunohistochemistry-Paraffin, Western Blot, Immunocytochemistry/ Immunofluorescence
Label
Unconjugated
Antibody Source
Polyclonal Rabbit IgG
Format
BSA Free
Concentration
Concentrations vary lot to lot. See vial label for concentration. If unlisted please contact technical services.
Product Specifications
Immunogen
This antibody was developed against Recombinant Protein corresponding to amino acids: DEWWENQPTGAGSSPEASDGEGEGDTEVMQQETVPVPVPSEKTKQPKECFLIQPKERKENTTKTRKRRKKKITDVLAKSEPKP
Clonality
Polyclonal
Host
Rabbit
Isotype
IgG
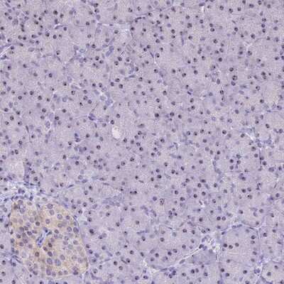
Scientific Data Images for CMSS1 Antibody - BSA Free
Immunocytochemistry/ Immunofluorescence: CMSS1 Antibody [NBP1-81078]
Immunocytochemistry/Immunofluorescence: CMSS1 Antibody [NBP1-81078] - Staining of human cell line U-2 OS shows localization to nucleus & nucleoli. Antibody staining is shown in green.Immunohistochemistry-Paraffin: CMSS1 Antibody [NBP1-81078]
Immunohistochemistry-Paraffin: CMSS1 Antibody [NBP1-81078] - Staining of human pancreas shows moderate nucleolar positivity in exocrine glandular cells.Western Blot: CMSS1 Antibody [NBP1-81078] -
Western Blot: CMSS1 Antibody [NBP1-81078] - Analysis in human cell line U-2 OS.Applications for CMSS1 Antibody - BSA Free
Application
Recommended Usage
Immunocytochemistry/ Immunofluorescence
0.25-2 ug/ml
Immunohistochemistry
1:200 - 1:500
Immunohistochemistry-Paraffin
1:200 - 1:500
Western Blot
0.04-0.4 ug/ml
Application Notes
IHC-Paraffin, HIER pH 6 retrieval is recommended. ICC/IF, Fixation Permeabilization: Use PFA/Triton X-100.
Formulation, Preparation, and Storage
Purification
Affinity purified
Formulation
PBS (pH 7.2) and 40% Glycerol
Format
BSA Free
Preservative
0.02% Sodium Azide
Concentration
Concentrations vary lot to lot. See vial label for concentration. If unlisted please contact technical services.
Shipping
The product is shipped with polar packs. Upon receipt, store it immediately at the temperature recommended below.
Stability & Storage
Store at 4C short term. Aliquot and store at -20C long term. Avoid freeze-thaw cycles.
Background: CMSS1
Alternate Names
C3orf26, chromosome 3 open reading frame 26, cms1 ribosomal small subunit homolog (yeast), hypothetical protein LOC84319, MGC4308
Entrez Gene IDs
84319 (Human)
Gene Symbol
CMSS1
Additional CMSS1 Products
Product Documents for CMSS1 Antibody - BSA Free
Product Specific Notices for CMSS1 Antibody - BSA Free
This product is for research use only and is not approved for use in humans or in clinical diagnosis. Primary Antibodies are guaranteed for 1 year from date of receipt.
Loading...
Loading...
Loading...
Loading...